验证数据展示
经过测试的应用
| Positive WB detected in | HeLa cells, A549 cells, A375 cells, human brain tissue, Y79 cells, Jurkat cells, SH-SY5Y cells |
| Positive IP detected in | HeLa cells |
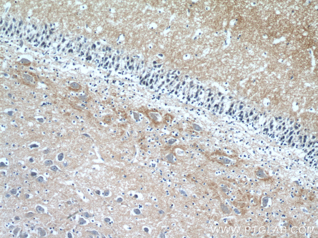
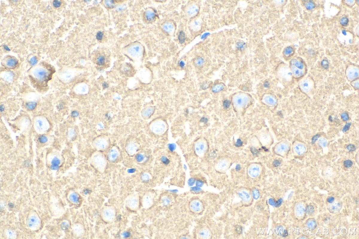
| Positive IHC detected in | human brain tissue, mouse brain tissue Note: suggested antigen retrieval with TE buffer pH 9.0; (*) Alternatively, antigen retrieval may be performed with citrate buffer pH 6.0 |
| Positive IF/ICC detected in | A375 cells |
推荐稀释比
| 应用 | 推荐稀释比 |
|---|---|
| Western Blot (WB) | WB : 1:1000-1:6000 |
| Immunoprecipitation (IP) | IP : 0.5-4.0 ug for 1.0-3.0 mg of total protein lysate |
| Immunohistochemistry (IHC) | IHC : 1:50-1:500 |
| Immunofluorescence (IF)/ICC | IF/ICC : 1:10-1:100 |
| It is recommended that this reagent should be titrated in each testing system to obtain optimal results. | |
| Sample-dependent, Check data in validation data gallery. | |
产品信息
11459-1-AP targets STXBP1 in WB, IHC, IF/ICC, IP, ELISA applications and shows reactivity with human, mouse, rat samples.
| 经测试应用 | WB, IHC, IF/ICC, IP, ELISA Application Description |
| 文献引用应用 | WB, IHC, IF |
| 经测试反应性 | human, mouse, rat |
| 文献引用反应性 | human, mouse, rat |
| 免疫原 |
CatNo: Ag1978 Product name: Recombinant human STXBP1 protein Source: e coli.-derived, PGEX-4T Tag: GST Domain: 245-594 aa of BC015749 Sequence: HELTFQAMSYDLLPIENDVYKYETSGIGEARVKEVLLDEDDDLWIALRHKHIAEVSQEVTRSLKDFSSSKRMNTGEKTTMRDLSQMLKKMPQYQKELSKYSTHLHLAEDCMKHYQGTVDKLCRVEQDLAMGTDAEGEKIKDPMRAIVPILLDANVSTYDKIRIILLYIFLKNGITEENLNKLIQHAQIPPEDSEIITNMAHLGVPIVTDSTLRRRSKPERKERISEQTYQLSRWTPIIKDIMEDTIEDKLDTKHYPYISTRSSASFSTTAVSARYGHWHKNKAPGEYRSGPRLIIFILGGVSLNEMRCAYEVTQANGKWEVLIGSTHILTPQKLLDTLKKLNKTDEEISS 种属同源性预测 |
| 宿主/亚型 | Rabbit / IgG |
| 抗体类别 | Polyclonal |
| 产品类型 | Antibody |
| 全称 | syntaxin binding protein 1 |
| 别名 | EIEE4, FLJ37475, MUNC18 1, Munc18-1, N Sec1 |
| 计算分子量 | 594 aa, 68 kDa |
| 观测分子量 | 65-68 kDa |
| GenBank蛋白编号 | BC015749 |
| 基因名称 | STXBP1 |
| Gene ID (NCBI) | 6812 |
| RRID | AB_2196690 |
| 偶联类型 | Unconjugated |
| 形式 | Liquid |
| 纯化方式 | Antigen affinity purification |
| UNIPROT ID | P61764 |
| 储存缓冲液 | PBS with 0.02% sodium azide and 50% glycerol, pH 7.3. |
| 储存条件 | Store at -20°C. Stable for one year after shipment. Aliquoting is unnecessary for -20oC storage. |
实验方案
| Product Specific Protocols | |
|---|---|
| IF protocol for STXBP1 antibody 11459-1-AP | Download protocol |
| IHC protocol for STXBP1 antibody 11459-1-AP | Download protocol |
| IP protocol for STXBP1 antibody 11459-1-AP | Download protocol |
| WB protocol for STXBP1 antibody 11459-1-AP | Download protocol |
| Standard Protocols | |
|---|---|
| Click here to view our Standard Protocols |
发表文章
| Species | Application | Title |
|---|---|---|
EMBO J Munc13 activates the Munc18-1/syntaxin-1 complex and enables Munc18-1 to prime SNARE assembly. | ||
Proc Natl Acad Sci U S A Accumulation of non-outer segment proteins in the outer segment underlies photoreceptor degeneration in Bardet-Biedl syndrome. | ||
J Biol Chem The myosin-tail homology domain of centrosomal protein 290 is essential for protein confinement between the inner and outer segments in photoreceptors. | ||
Neuroscience SNAP25/syntaxin4/VAMP2/Munc18-1 Complexes in Spinal Dorsal Horn Contributed to Inflammatory Pain. | ||
PLoS One Differential requirement of NPHP1 for compartmentalized protein localization during photoreceptor outer segment development and maintenance. | ||
Cell Rep Neuron-specific protein network mapping of autism risk genes identifies shared biological mechanisms and disease-relevant pathologies |












