验证数据展示
经过测试的应用
| Positive WB detected in | A431 cells, MCF-7 cells, HEK-293T cells |
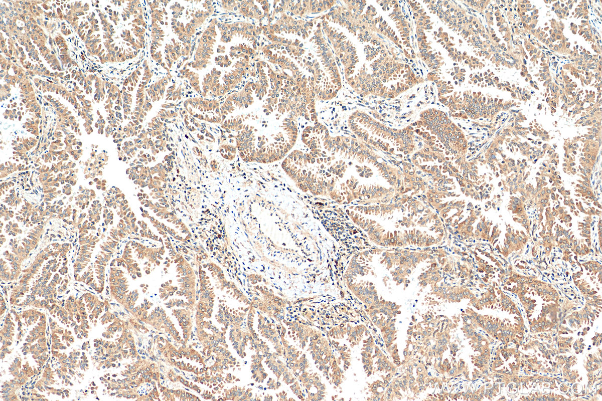
| Positive IHC detected in | human lung cancer tissue, human breast cancer tissue, mouse testis tissue, human lymphoma tissue Note: suggested antigen retrieval with TE buffer pH 9.0; (*) Alternatively, antigen retrieval may be performed with citrate buffer pH 6.0 |
推荐稀释比
| 应用 | 推荐稀释比 |
|---|---|
| Western Blot (WB) | WB : 1:2000-1:10000 |
| Immunohistochemistry (IHC) | IHC : 1:300-1:1200 |
| It is recommended that this reagent should be titrated in each testing system to obtain optimal results. | |
| Sample-dependent, Check data in validation data gallery. | |
发表文章中的应用
| WB | See 1 publications below |
产品信息
29323-1-AP targets STK11/LKB1 in WB, IHC, ELISA applications and shows reactivity with Human, Mouse samples.
| 经测试应用 | WB, IHC, ELISA Application Description |
| 文献引用应用 | WB |
| 经测试反应性 | Human, Mouse |
| 文献引用反应性 | mouse |
| 免疫原 |
CatNo: Ag30903 Product name: Recombinant human STK11 protein Source: e coli.-derived, PGEX-4T Tag: GST Domain: 281-428 aa of BC007981 Sequence: PLSDLLKGMLEYEPAKRFSIRQIRQHSWFRKKHPPAEAPVPIPPSPDTKDRWRSMTVVPYLEDLHGADEDEDLFDIEDDIIYTQDFTVPGQVPEEEASHNGQRRGLPKAVCMNGTEAAQLSTKSRAEGRAPNPARKACSASSKIRRLS 种属同源性预测 |
| 宿主/亚型 | Rabbit / IgG |
| 抗体类别 | Polyclonal |
| 产品类型 | Antibody |
| 全称 | serine/threonine kinase 11 |
| 别名 | LKB1, PJS, serine/threonine kinase 11, STK11 |
| 计算分子量 | 49 kDa |
| 观测分子量 | 50-55 kDa |
| GenBank蛋白编号 | BC007981 |
| 基因名称 | LKB1 |
| Gene ID (NCBI) | 6794 |
| RRID | AB_2923591 |
| 偶联类型 | Unconjugated |
| 形式 | Liquid |
| 纯化方式 | Antigen affinity purification |
| UNIPROT ID | Q15831 |
| 储存缓冲液 | PBS with 0.02% sodium azide and 50% glycerol, pH 7.3. |
| 储存条件 | Store at -20°C. Stable for one year after shipment. Aliquoting is unnecessary for -20oC storage. |
背景介绍
STK11(serine/threonine-protein kinase 11) is also named as LKB1, PJS, and belongs to the protein kinase superfamily. It controls the activity of AMP-activated protein kinase (AMPK) family members, thereby playing a role in various processes such as cell metabolism, cell polarity, apoptosis and DNA damage response. The tumour suppressor protein LKB1 is a serine/threonine kinase that has been causally linked to Peutz-Jeghers syndrome (PJS). Defects in STK11 are a cause of Peutz-Jeghers syndrome (PJS) and defects in STK11 have been associated with testicular germ cell tumor (TGCT) and some sporadic cancers, especially lung cancers. STK11 has 2 isoforms with MW of 49 kDa and 45 kDa, and can be detected as 50-54 kDa after posttranslational modification.
实验方案
| Product Specific Protocols | |
|---|---|
| IHC protocol for STK11/LKB1 antibody 29323-1-AP | Download protocol |
| WB protocol for STK11/LKB1 antibody 29323-1-AP | Download protocol |
| Standard Protocols | |
|---|---|
| Click here to view our Standard Protocols |










