IHCeasy® STK11 Ready-To-Use IHC Kit
STK11 Ready-to-use reagent kit for IHC.
Reactivity
Human, Mouse, Rat
Sample Type
FFPE tissue
Cat no : KHC0278
Synonyms
LKB1, PJS, serine/threonine kinase 11, STK11, STK11/ LKB1
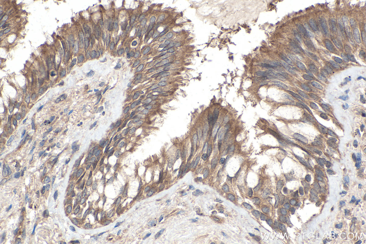
Validation Data Gallery
Product Information
KHC0278 is a ready-to-use IHC kit for staining of STK11. The kit provides all reagents, from antigen retrieval to cover slip mounting, that require little to no diluting or handling prior to use. Simply apply the reagents to your sample slide according to the protocol and you're steps away from obtaining high-quality IHC data.
| Product name | IHCeasy STK11 Ready-To-Use IHC Kit |
| Sample type | FFPE tissue |
| Assay type | Immunohistochemistry |
| Primary antibody type | Rabbit Polyclonal |
| Secondary antibody type | Polymer-HRP-Goat anti-Rabbit |
| Reactivity | Human, Mouse, Rat |
Kit components
| Component | Size | Concentration |
|---|---|---|
| Antigen Retrieval Buffer | 100 mL | 50× |
| Washing Buffer | 100 mL ×2 | 20× |
| Blocking Buffer | 5 mL | RTU |
| Primary Antibody | 5 mL | RTU |
| Secondary Antibody | 5 mL | RTU |
| Chromogen Component A | 0.2 mL | RTU |
| Chromogen Component B | 4 mL | RTU |
| Signal Enhancer | 5 mL | RTU |
| Counter Staining Reagent | 5 mL | RTU |
| Mounting Media | 5 mL | RTU |
| Datasheet | 1 Copy | |
| Manual | 1 Copy |
Background Information
STK11(serine/threonine-protein kinase 11) is also named as LKB1, PJS, and belongs to the protein kinase superfamily. It controls the activity of AMP-activated protein kinase (AMPK) family members, thereby playing a role in various processes such as cell metabolism, cell polarity, apoptosis and DNA damage response. The tumour suppressor protein LKB1 is a serine/threonine kinase that has been causally linked to Peutz-Jeghers syndrome (PJS). Defects in STK11 are a cause of Peutz-Jeghers syndrome (PJS) and defects in STK11 have been associated with testicular germ cell tumor (TGCT) and some sporadic cancers, especially lung cancers.
Properties
| Storage Instructions | All the reagents are stored at 2-8°C. The kit is stable for 6 months from the date of receipt. |
| Synonyms | LKB1, PJS, serine/threonine kinase 11, STK11, STK11/ LKB1 |







