验证数据展示
经过测试的应用
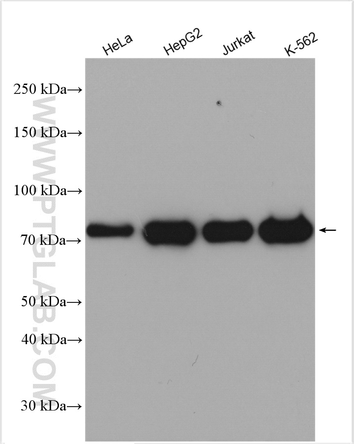
| Positive WB detected in | HeLa cells, HepG2 cells, Jurkat cells, K-562 cells |
| Positive IP detected in | HeLa cells |
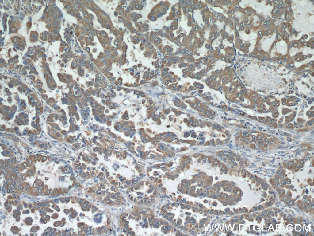
| Positive IHC detected in | mouse lung tissue, human lung cancer tissue Note: suggested antigen retrieval with TE buffer pH 9.0; (*) Alternatively, antigen retrieval may be performed with citrate buffer pH 6.0 |
| Positive IF/ICC detected in | HEK-293 cells |
| Positive FC (Intra) detected in | HepG2 cells |
推荐稀释比
| 应用 | 推荐稀释比 |
|---|---|
| Western Blot (WB) | WB : 1:1000-1:5000 |
| Immunoprecipitation (IP) | IP : 0.5-4.0 ug for 1.0-3.0 mg of total protein lysate |
| Immunohistochemistry (IHC) | IHC : 1:200-1:800 |
| Immunofluorescence (IF)/ICC | IF/ICC : 1:200-1:800 |
| Flow Cytometry (FC) (INTRA) | FC (INTRA) : 0.40 ug per 10^6 cells in a 100 µl suspension |
| It is recommended that this reagent should be titrated in each testing system to obtain optimal results. | |
| Sample-dependent, Check data in validation data gallery. | |
产品信息
11565-1-AP targets STIM1 in WB, IHC, IF/ICC, FC (Intra), IP, CoIP, ELISA applications and shows reactivity with human, mouse samples.
| 经测试应用 | WB, IHC, IF/ICC, FC (Intra), IP, ELISA Application Description |
| 文献引用应用 | WB, IHC, IF, IP, CoIP |
| 经测试反应性 | human, mouse |
| 文献引用反应性 | human, mouse, rat |
| 免疫原 |
CatNo: Ag2140 Product name: Recombinant human STIM1 protein Source: e coli.-derived, PGEX-4T Tag: GST Domain: 2-350 aa of BC021300 Sequence: DVCVRLALWLLWGLLLHQGQSLSHSHSEKATGTSSGANSEESTAAEFCRIDKPLCHSEDEKLSFEAVRNIHKLMDDDANGDVDVEESDEFLREDLNYHDPTVKHSTFHGEDKLISVEDLWKAWKSSEVYNWTVDEVVQWLITYVELPQYEETFRKLQLSGHAMPRLAVTNTTMTGTVLKMTDRSHRQKLQLKALDTVLFGPPLLTRHNHLKDFMLVVSIVIGVGGCWFAYIQNRYSKEHMKKMMKDLEGLHRAEQSLHDLQERLHKAQEEHRTVEVEKVHLEKKLRDEINLAKQEAQRLKELREGTENERSRQKYAEEELEQVREALRKAEKELESHSSWYAPEALQKW 种属同源性预测 |
| 宿主/亚型 | Rabbit / IgG |
| 抗体类别 | Polyclonal |
| 产品类型 | Antibody |
| 全称 | stromal interaction molecule 1 |
| 别名 | GOK, IMD10, STIM 1, stim-1, STRMK |
| 计算分子量 | 685 aa, 77 kDa |
| 观测分子量 | 77-90 kDa |
| GenBank蛋白编号 | BC021300 |
| 基因名称 | STIM1 |
| Gene ID (NCBI) | 6786 |
| RRID | AB_2302808 |
| 偶联类型 | Unconjugated |
| 形式 | Liquid |
| 纯化方式 | Antigen affinity purification |
| UNIPROT ID | Q13586 |
| 储存缓冲液 | PBS with 0.02% sodium azide and 50% glycerol, pH 7.3. |
| 储存条件 | Store at -20°C. Stable for one year after shipment. Aliquoting is unnecessary for -20oC storage. |
背景介绍
STIM1, also named as GOK, is an ER Ca2+ sensor. Upon Ca2+ store depletion, STIM1 clusters at ER-plasma membrane junctions where it interacts with and gates Ca2+-permeable Orai1 ion channels. STIM1 is implicated in tumor growth suppression and stromal-haematopoietic cell interactions. Defacts in STIM1 gene can cause immune dysfunction with impaired T-cell activation. STIM1 can inhibit L-type voltage-gated Ca(2+) channels in neurons. Temperature is an important regulator of STIM1 function.The MW of STIM1 is about 80-90 kDa which may be due to the phosphorylation or glycosylation forms. Catalog#11565-1-AP is rabbit polyclonal antibody raised against the N-terminal of human STIM1.
实验方案
| Product Specific Protocols | |
|---|---|
| FC protocol for STIM1 antibody 11565-1-AP | Download protocol |
| IF protocol for STIM1 antibody 11565-1-AP | Download protocol |
| IHC protocol for STIM1 antibody 11565-1-AP | Download protocol |
| IP protocol for STIM1 antibody 11565-1-AP | Download protocol |
| WB protocol for STIM1 antibody 11565-1-AP | Download protocol |
| Standard Protocols | |
|---|---|
| Click here to view our Standard Protocols |
发表文章
| Species | Application | Title |
|---|---|---|
Cell Res Cholesterylation of Smoothened is a calcium-accelerated autoreaction involving an intramolecular ester intermediate.
| ||
J Immunother Cancer PD1 blockade enhances K+ channel activity, Ca2+ signaling, and migratory ability in cytotoxic T lymphocytes of patients with head and neck cancer. | ||
Proc Natl Acad Sci U S A STIM1-Ca2+ signaling modulates automaticity of the mouse sinoatrial node. | ||
Cell Mol Life Sci STIM2 regulates NMDA receptor endocytosis that is induced by short-term NMDA receptor overactivation in cortical neurons
| ||
Mol Metab Disruption of STIM1-mediated Ca2+ sensing and energy metabolism in adult skeletal muscle compromises exercise tolerance, proteostasis and lean mass. | ||
Int J Mol Sci Expression and Localization of Thrombospondins, Plastin 3, and STIM1 in Different Cartilage Compartments of the Osteoarthritic Varus Knee. |







