验证数据展示
产品信息
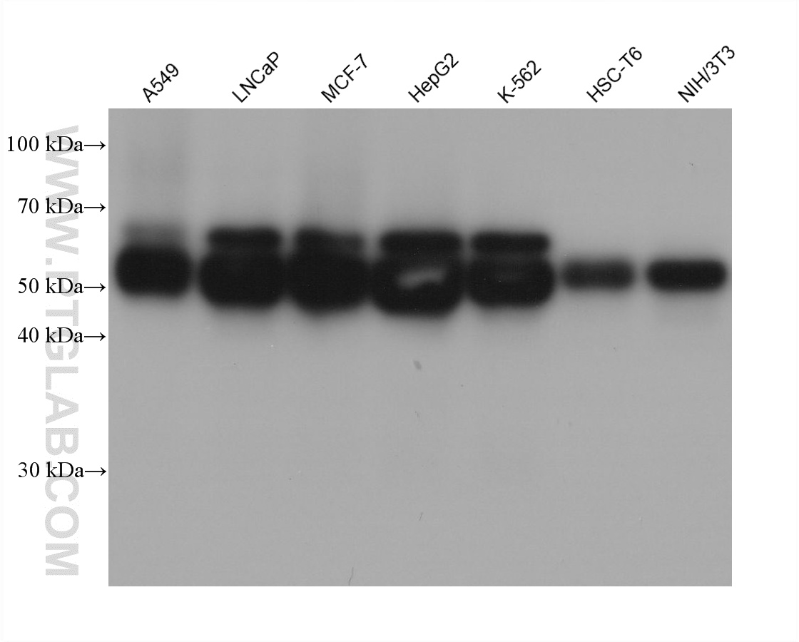
61024-1-PBS targets STAU1 in WB, Indirect ELISA applications and shows reactivity with human, mouse, rat, rabbit samples.
| 经测试应用 | WB, Indirect ELISA Application Description |
| 经测试反应性 | human, mouse, rat, rabbit |
| 免疫原 |
CatNo: Ag5573 Product name: Recombinant human STAU1 protein Source: e coli.-derived, PET28a Tag: 6*His Domain: 227-577 aa of BC050432 Sequence: GEGEGKSKKISKKNAAIAVLEELKKLPPLPAVERVKPRIKKKTKPIVKPQTSPEYGQGINPISRLAQIQQAKKEKEPEYTLLTERGLPRRREFVMQVKVGNHTAEGTGTNKKVAKRNAAENMLEILGFKVPQAQPTKPALKSEEKTPIKKPGDGRKVTFFEPGSGDENGTSNKEDEFRMPYLSHQQLPAGILPMVPEVAQAVGVSQGHHTKDFTRAAPNPAKATVTAMIARELLYGGTSPTAETILKNNISSGHVPHGPLTRPSEQLDYLSRVQGFQVEYKDFPKNNKNEFVSLINCSSQPPLISHGIGKDVESCHDMAALNILKLLSELDQQSTEMPRTGNGPMSVCGRC 种属同源性预测 |
| 宿主/亚型 | Mouse / IgG1 |
| 抗体类别 | Monoclonal |
| 产品类型 | Antibody |
| 全称 | staufen, RNA binding protein, homolog 1 (Drosophila) |
| 别名 | Double-stranded RNA-binding protein Staufen homolog 1, STAU |
| 计算分子量 | 63 kDa |
| 观测分子量 | 55-65 kDa |
| GenBank蛋白编号 | BC050432 |
| 基因名称 | STAU1 |
| Gene ID (NCBI) | 6780 |
| 偶联类型 | Unconjugated |
| 形式 | Liquid |
| 纯化方式 | Protein G purification |
| UNIPROT ID | O95793 |
| 储存缓冲液 | PBS only, pH 7.3. |
| 储存条件 | Store at -80°C. The product is shipped with ice packs. Upon receipt, store it immediately at -80°C |
背景介绍
Staufen1 (STAU1)-mediated mRNA decay (SMD) degrades translationally active mRNAs that bind the double-stranded (ds)RNA binding protein STAU1 within their 3'-untranslated regions (3'UTRs) [PMID:21307942]. STAU1 can binds to stem structures and protect Dvl2 mRNA from degradation by associating with the secondary structure in the U1 region which is located at 5′ position of second U stretch in the U2 region [PMID:17510634]. It has a role in specific positioning of mRNAs at given sites in the cell by cross-linking cytoskeletal and RNA components, and in stimulating their translation at the site.

