验证数据展示
经过测试的应用
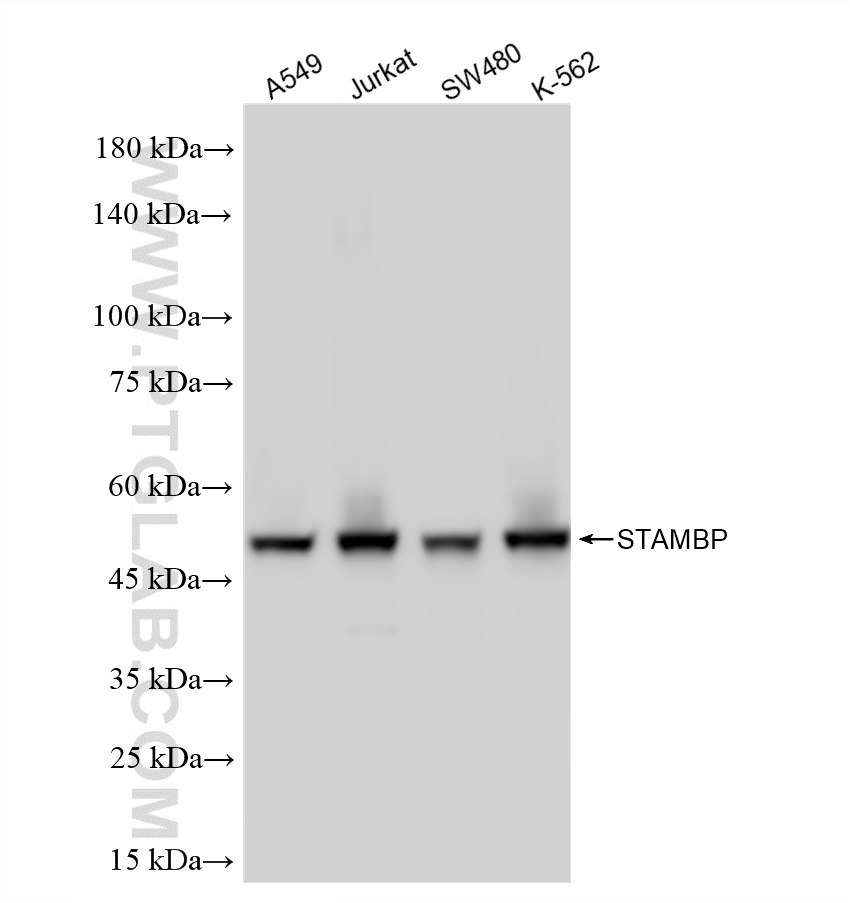
| Positive WB detected in | A549 cells, NIH/3T3 cells, rat brain tissue, Jurkat cells, SW480 cells, K-562 cells, mouse brain tissue |
| Positive IF/ICC detected in | K-562 cells |
推荐稀释比
| 应用 | 推荐稀释比 |
|---|---|
| Western Blot (WB) | WB : 1:5000-1:50000 |
| Immunofluorescence (IF)/ICC | IF/ICC : 1:50-1:500 |
| It is recommended that this reagent should be titrated in each testing system to obtain optimal results. | |
| Sample-dependent, Check data in validation data gallery. | |
产品信息
86601-3-RR targets STAMBP in WB, IF/ICC, ELISA applications and shows reactivity with human, mouse, rat samples.
| 经测试应用 | WB, IF/ICC, ELISA Application Description |
| 经测试反应性 | human, mouse, rat |
| 免疫原 |
CatNo: Ag1895 Product name: Recombinant human STAMBP protein Source: e coli.-derived, PKG Tag: GST Domain: 124-424 aa of BC007682 Sequence: EKKKEAEELARNMAIQQELEKEKQRVAQQKQQQLEQEQFHAFEEMIRNQELEKERLKIVQEFGKVDPGLGGPLVPDLEKPSLDVFPTLTVSSIQPSDCHTTVRPAKPPVVDRSLKPGALSNSESIPTIDGLRHVVVPGRLCPQFLQLASANTARGVETCGILCGKLMRNEFTITHVLIPKQSAGSDYCNTENEEELFLIQDQQGLITLGWIHTHPTQTAFLSSVDLHTHCSYQMMLPESVAIVCSPKFQETGFFKLTDHGLEEISSCRQKGFHPHSKDPPLFCSCSHVTVVDRAVTITDLR 种属同源性预测 |
| 宿主/亚型 | Rabbit / IgG |
| 抗体类别 | Recombinant |
| 产品类型 | Antibody |
| 全称 | STAM binding protein |
| 别名 | AMSH, EC:3.4.19.-, Endosome-associated ubiquitin isopeptidase, STAM binding protein, STAM-binding protein |
| 计算分子量 | 48 kDa |
| 观测分子量 | 48 kDa |
| GenBank蛋白编号 | BC007682 |
| 基因名称 | STAMBP |
| Gene ID (NCBI) | 10617 |
| 偶联类型 | Unconjugated |
| 形式 | Liquid |
| 纯化方式 | Protein A purification |
| UNIPROT ID | O95630 |
| 储存缓冲液 | PBS with 0.02% sodium azide and 50% glycerol, pH 7.3. |
| 储存条件 | Store at -20°C. Stable for one year after shipment. Aliquoting is unnecessary for -20oC storage. |
背景介绍
STAM-binding protein (STAMBP) is also named AMSH. STAMBP, a member of the Jab1/MPN metalloenzyme family of deubiquitinating enzymes (DUBs), specifically cleaves K63-linked polyubiquitination chains from substrates (PMID: 15314065, PMID: 26601948). STAMBP is implicated in the endosome-lysosome pathway and shuttles ubiquitinated substrate proteins to lysosomes for degradation (PMID: 10383417, PMID: 24151880). STAMBP regulates protein degradation by binding to the ESCRT-0 protein STAM and the charged multivesicular body proteins of the ESCRT-III complex (PMID: 20159979). STAMBP is implicated in the inflammatory response by promoting the deubiquitination and stabilization of NALP7 and increasing the activity of inflammasomes (PMID: 28492230). STAMBP expression was increased in the cytoplasm of tumor cells from LUAD patients. STAMBP overexpression promoted cell migration and invasion, whereas STAMBP knockdown attenuated these processes in LUAD cells after epidermal growth factor treatment (PMID: 3410245).
实验方案
| Product Specific Protocols | |
|---|---|
| IF protocol for STAMBP antibody 86601-3-RR | Download protocol |
| WB protocol for STAMBP antibody 86601-3-RR | Download protocol |
| Standard Protocols | |
|---|---|
| Click here to view our Standard Protocols |




