验证数据展示
经过测试的应用
| Positive WB detected in | A431 cells, A375 cells, MCF-7 cells, MDA-MB-231 cells, SH-SY5Y cells, SK-N-SH cells |
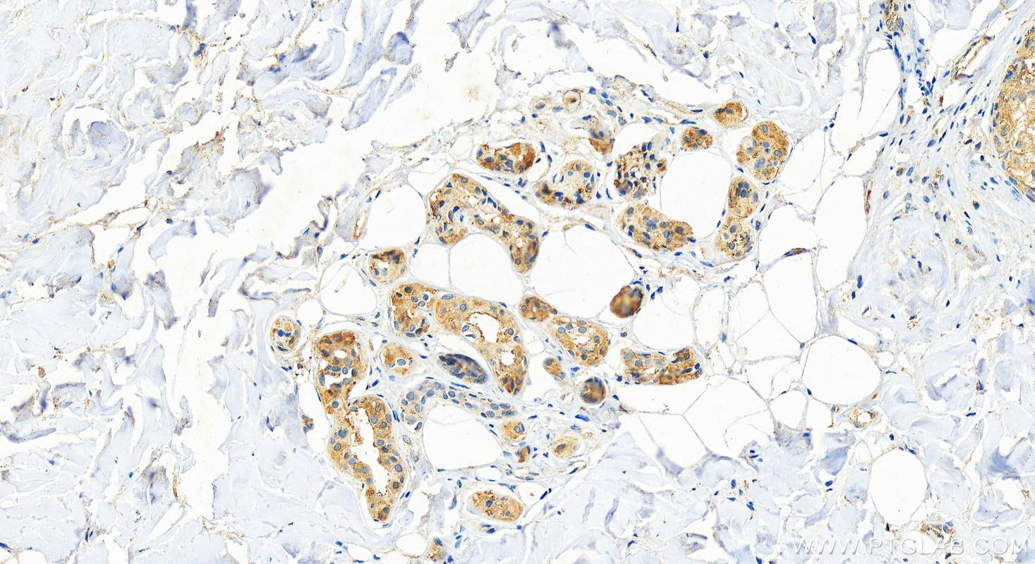
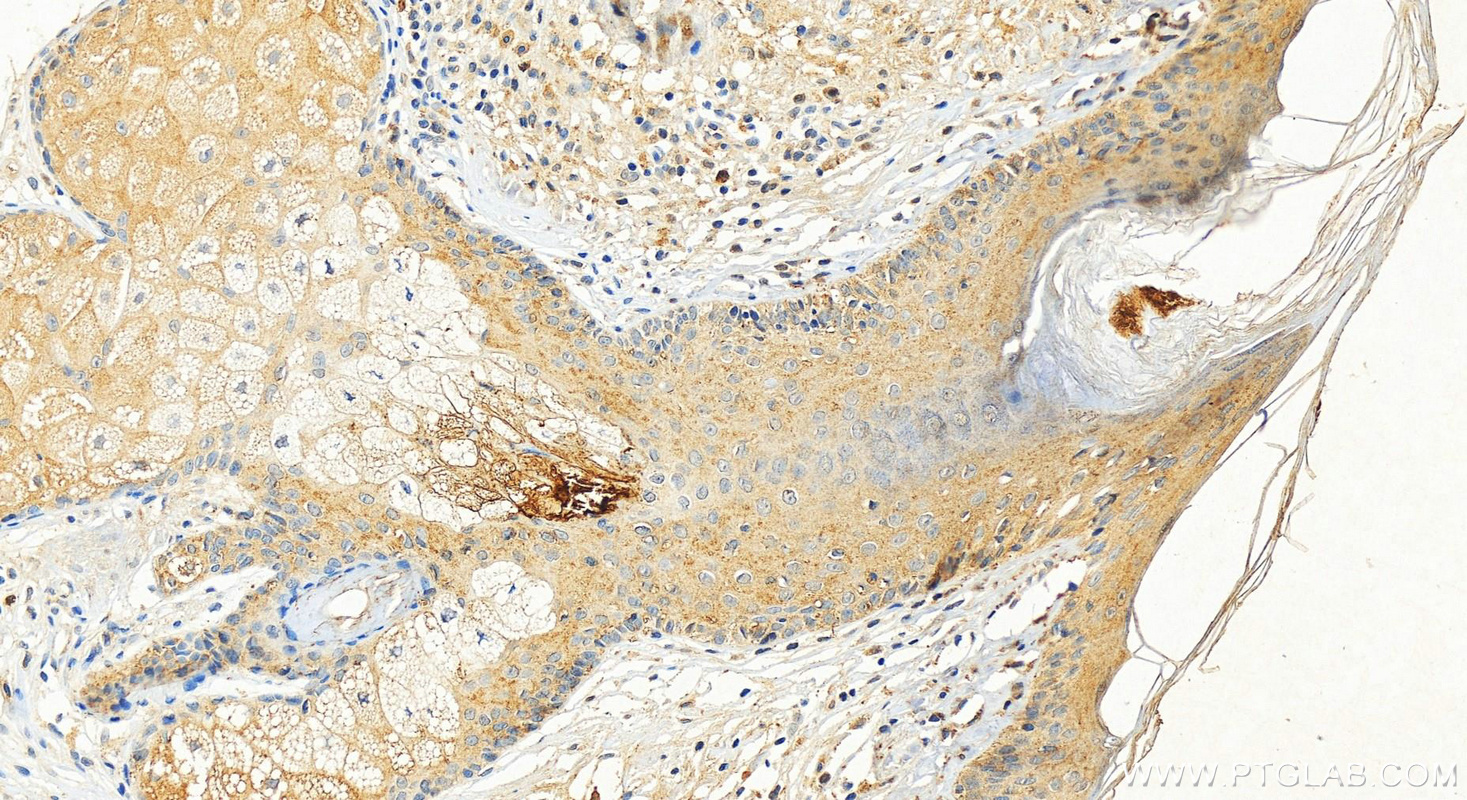
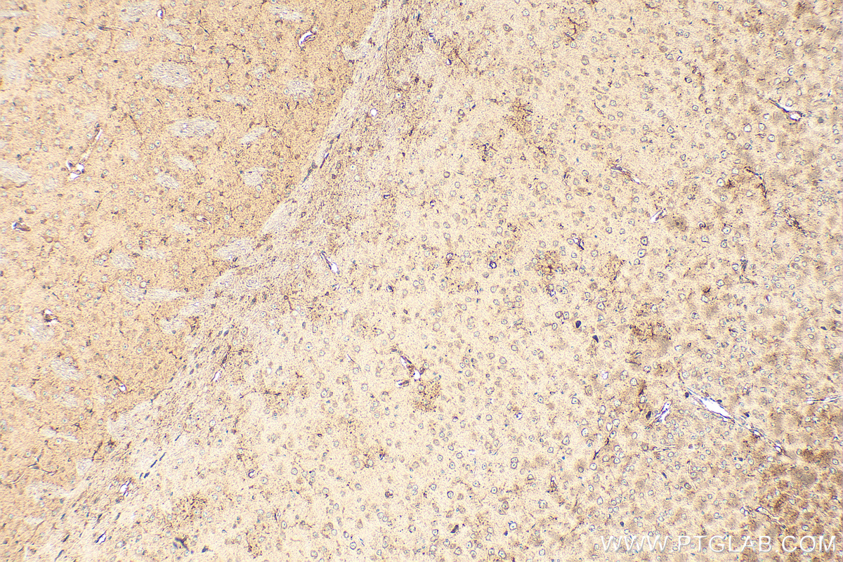
| Positive IHC detected in | human paracancerous of skin cancer, mouse brain tissue Note: suggested antigen retrieval with TE buffer pH 9.0; (*) Alternatively, antigen retrieval may be performed with citrate buffer pH 6.0 |
推荐稀释比
| 应用 | 推荐稀释比 |
|---|---|
| Western Blot (WB) | WB : 1:1000-1:8000 |
| Immunohistochemistry (IHC) | IHC : 1:300-1:1200 |
| It is recommended that this reagent should be titrated in each testing system to obtain optimal results. | |
| Sample-dependent, Check data in validation data gallery. | |
产品信息
24918-1-AP targets ST8SIA1 in WB, IHC, IF, ELISA applications and shows reactivity with human, mouse samples.
| 经测试应用 | WB, IHC, ELISA Application Description |
| 文献引用应用 | WB, IHC, IF |
| 经测试反应性 | human, mouse |
| 文献引用反应性 | human, mouse, rat |
| 免疫原 |
CatNo: Ag20429 Product name: Recombinant human ST8SIA1 protein Source: e coli.-derived, PGEX-4T Tag: GST Domain: 39-136 aa of BC126162 Sequence: VLCWLYIFPVYRLPNEKEIVQGVLQQGTAWRRNQTAARAFRKQMEDCCDPAHLFAMTKMNSPMGKSMWYDGEFLYSFTIDNSTYSLFPQATPFQLPLK 种属同源性预测 |
| 宿主/亚型 | Rabbit / IgG |
| 抗体类别 | Polyclonal |
| 产品类型 | Antibody |
| 全称 | ST8 alpha-N-acetyl-neuraminide alpha-2,8-sialyltransferase 1 |
| 别名 | Alpha-2,8-sialyltransferase 8A, Alpha-N-acetylneuraminide alpha-2,8-sialyltransferase, EC:2.4.3.8, Sialyltransferase St8Sia I, SIAT8 |
| 计算分子量 | 356 aa, 41 kDa |
| 观测分子量 | 43 kDa |
| GenBank蛋白编号 | BC126162 |
| 基因名称 | ST8SIA1 |
| Gene ID (NCBI) | 6489 |
| RRID | AB_2879796 |
| 偶联类型 | Unconjugated |
| 形式 | Liquid |
| 纯化方式 | Antigen affinity purification |
| UNIPROT ID | Q92185 |
| 储存缓冲液 | PBS with 0.02% sodium azide and 50% glycerol, pH 7.3. |
| 储存条件 | Store at -20°C. Stable for one year after shipment. Aliquoting is unnecessary for -20oC storage. |
背景介绍
ST8SIA1 is a member of the ST family involved in the production of gangliosides. ST8SIA1 is strongly expressed in melanoma cell lines, adult and fetal brain, and to a lesser extent in adult and fetal lung. The abnormal expression of ST8SIA1 has been demonstrated to influence the metastasis of triple-negative breast cancer. (PMID: 34429775)
实验方案
| Product Specific Protocols | |
|---|---|
| IHC protocol for ST8SIA1 antibody 24918-1-AP | Download protocol |
| WB protocol for ST8SIA1 antibody 24918-1-AP | Download protocol |
| Standard Protocols | |
|---|---|
| Click here to view our Standard Protocols |
发表文章
| Species | Application | Title |
|---|---|---|
Mol Oncol Upregulation of cell surface GD3 ganglioside phenotype is associated with human melanoma brain metastasis. | ||
Front Pharmacol Identifying an Immune-Related Gene ST8SIA1 as a Novel Target in Patients With Clear-Cell Renal Cell Carcinoma. | ||
Oncol Lett ST8SIA1 inhibits the proliferation, migration and invasion of bladder cancer cells by blocking the JAK/STAT signaling pathway. | ||
bioRxiv Role of GD2 and its biosynthetic enzyme GD3 synthase in prostate cancer tumorigenesis
| ||
Sci Rep GD2 and its biosynthetic enzyme GD3 synthase promote tumorigenesis in prostate cancer by regulating cancer stem cell behavior | ||
Ann Med Overexpression of ST8Sia1 inhibits tumor progression by TGF-β1 signaling in rectal adenocarcinoma and promotes the tumoricidal effects of CD8+ T cells by granzyme B and perforin |





