验证数据展示
经过测试的应用
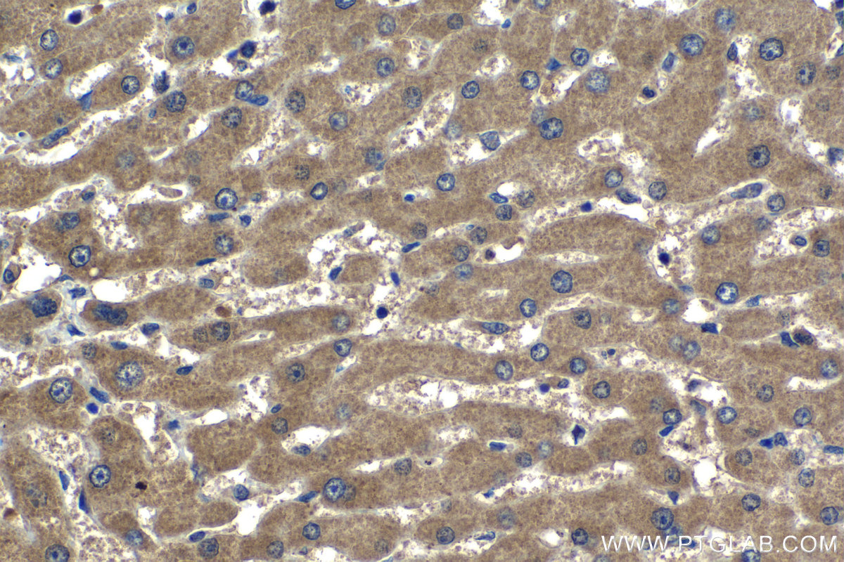
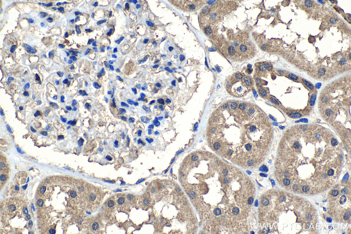
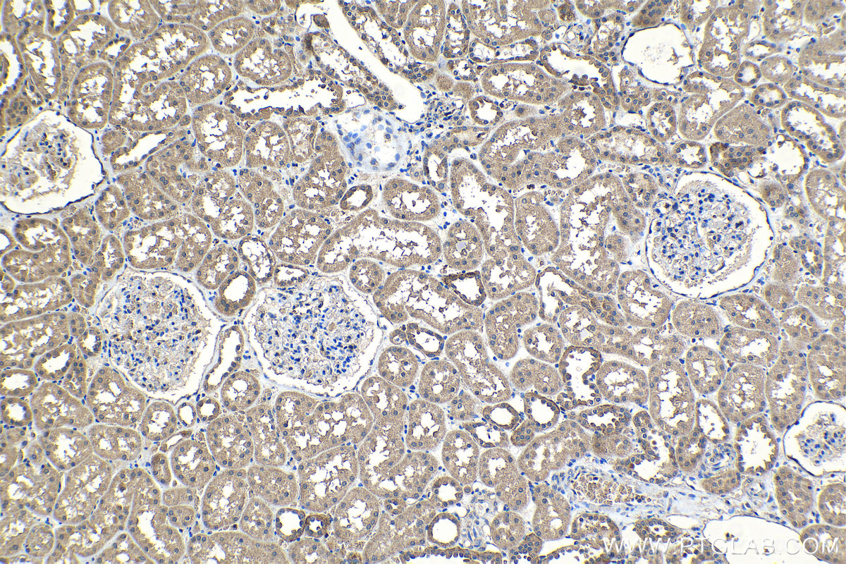
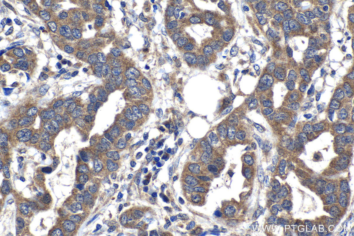
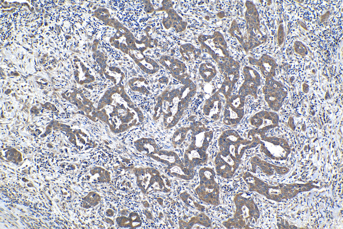
| Positive IHC detected in | human liver tissue, human kidney tissue, human lung cancer tissue Note: suggested antigen retrieval with TE buffer pH 9.0; (*) Alternatively, antigen retrieval may be performed with citrate buffer pH 6.0 |
推荐稀释比
| 应用 | 推荐稀释比 |
|---|---|
| Immunohistochemistry (IHC) | IHC : 1:250-1:1000 |
| It is recommended that this reagent should be titrated in each testing system to obtain optimal results. | |
| Sample-dependent, Check data in validation data gallery. | |
产品信息
22471-1-AP targets SPDYC in IHC, ELISA applications and shows reactivity with human samples.
| 经测试应用 | IHC, ELISA Application Description |
| 经测试反应性 | human |
| 免疫原 |
CatNo: Ag18126 Product name: Recombinant human SPDYC protein Source: e coli.-derived, PGEX-4T Tag: GST Domain: 1-293 aa of BC137244 Sequence: MLWAIPELGSPCPISISYEMSDSQDPTTSPVVTTQVELGGCSRQGGGNGFLRFRQHQEVQAFLSLLEDSFVQEFLSKDPCFQISDKYLLAMVLVYFQRAHLKLSEYTHSSLFLALYLANDMEEDLEGPKCEIFPWALGKDWCLRVGKFLHQRDKLWARMGFRAVVSRQCCEEVMAKEPFHWAWTRDRRPHHGGVQRVCPQVPVRLPRGPGLSPPHCSPCGLPQHCSSHLLKPVSSKCPSLTSECHRPPSQNYLSRVKNAWGGDFLIVLPPQMQLEPGTYSLRIFPKPPARPGH 种属同源性预测 |
| 宿主/亚型 | Rabbit / IgG |
| 抗体类别 | Polyclonal |
| 产品类型 | Antibody |
| 全称 | speedy homolog C (Xenopus laevis) |
| 别名 | hSpy/Ringo C, RINGO C, Ringo2, SPDYC, Speedy protein C |
| 计算分子量 | 293 aa, 33 kDa |
| 观测分子量 | 33-40 kDa |
| GenBank蛋白编号 | BC137244 |
| 基因名称 | SPDYC |
| Gene ID (NCBI) | 387778 |
| RRID | AB_3085699 |
| 偶联类型 | Unconjugated |
| 形式 | Liquid |
| 纯化方式 | Antigen Affinity purified |
| UNIPROT ID | Q5MJ68 |
| 储存缓冲液 | PBS with 0.02% sodium azide and 50% glycerol, pH 7.3. |
| 储存条件 | Store at -20°C. Stable for one year after shipment. Aliquoting is unnecessary for -20oC storage. |
背景介绍
SPDYC(Speedy protein C), also known as RINGOC and Ringo2, promotes progression through the cell cycle via binding and activation of CDK1 and CDK2. Downregulation of SPDYC inhibits cell growth, reduces the fraction of cells in G1, and increases the S and G2 populations(PMID: 18802405). SPDYC is involved in the spindle-assembly checkpoint and required for recruitment of MAD2L1, BUBR1 and BUB1 to kinetochores(Uniprot).
实验方案
| Product Specific Protocols | |
|---|---|
| IHC protocol for SPDYC antibody 22471-1-AP | Download protocol |
| Standard Protocols | |
|---|---|
| Click here to view our Standard Protocols |





