验证数据展示
经过测试的应用
| Positive WB detected in | human testis tissue, mouse testis tissue, rat testis tissue |
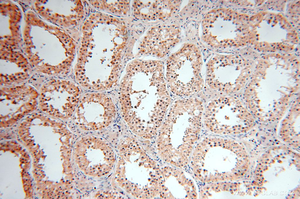
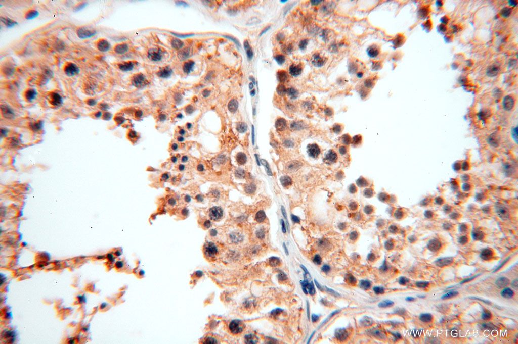
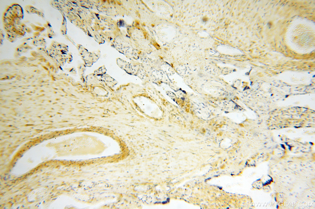
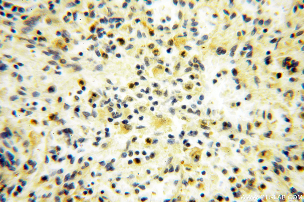
| Positive IHC detected in | human testis tissue, human liver tissue, human lung tissue, human ovary tissue, human placenta tissue, human skin tissue, human spleen tissue Note: suggested antigen retrieval with TE buffer pH 9.0; (*) Alternatively, antigen retrieval may be performed with citrate buffer pH 6.0 |
| Positive IF-P detected in | mouse testis tissue |
推荐稀释比
| 应用 | 推荐稀释比 |
|---|---|
| Western Blot (WB) | WB : 1:500-1:2000 |
| Immunohistochemistry (IHC) | IHC : 1:20-1:200 |
| Immunofluorescence (IF)-P | IF-P : 1:50-1:500 |
| It is recommended that this reagent should be titrated in each testing system to obtain optimal results. | |
| Sample-dependent, Check data in validation data gallery. | |
发表文章中的应用
| WB | See 2 publications below |
| IF | See 2 publications below |
产品信息
16656-1-AP targets SPATA19 in WB, IHC, IF-P, ELISA applications and shows reactivity with human, mouse, rat samples.
| 经测试应用 | WB, IHC, IF-P, ELISA Application Description |
| 文献引用应用 | WB, IF |
| 经测试反应性 | human, mouse, rat |
| 文献引用反应性 | mouse |
| 免疫原 |
CatNo: Ag10108 Product name: Recombinant human SPATA19 protein Source: e coli.-derived, PGEX-4T Tag: GST Domain: 1-167 aa of BC058039 Sequence: MIITTWIVYILARKGVGLPFLPITSSDIDVVESEAVSVLHHWLKKTEEEASRGIKEKLSINHPSQGVREKMSTDSPPTHGQDIHVTRDVVKHHLSKSDLLANQSQEVLEERTRIQFIRWSHTRIFQVPSEMTEDIMRDRIEQVRRSISRLTDVSAQDFSMRPSSSDC 种属同源性预测 |
| 宿主/亚型 | Rabbit / IgG |
| 抗体类别 | Polyclonal |
| 产品类型 | Antibody |
| 全称 | spermatogenesis associated 19 |
| 别名 | Spermatogenesis-associated protein 19, mitochondrial, spermatogenesis associated 19, Spergen-1, SPERGEN1, Spergen 1 |
| 计算分子量 | 167 aa, 19 kDa |
| 观测分子量 | 19 kDa |
| GenBank蛋白编号 | BC058039 |
| 基因名称 | SPATA19 |
| Gene ID (NCBI) | 219938 |
| RRID | AB_1851668 |
| 偶联类型 | Unconjugated |
| 形式 | Liquid |
| 纯化方式 | Antigen affinity purification |
| UNIPROT ID | Q7Z5L4 |
| 储存缓冲液 | PBS with 0.02% sodium azide and 50% glycerol, pH 7.3. |
| 储存条件 | Store at -20°C. Stable for one year after shipment. Aliquoting is unnecessary for -20oC storage. |
实验方案
| Product Specific Protocols | |
|---|---|
| IF protocol for SPATA19 antibody 16656-1-AP | Download protocol |
| IHC protocol for SPATA19 antibody 16656-1-AP | Download protocol |
| WB protocol for SPATA19 antibody 16656-1-AP | Download protocol |
| Standard Protocols | |
|---|---|
| Click here to view our Standard Protocols |
发表文章
| Species | Application | Title |
|---|---|---|
Development MFN2 interacts with nuage-associated proteins and is essential for male germ cell development by controlling mRNA fate during spermatogenesis | ||
Development MFN2 interacts with nuage-associated proteins and is essential for male germ cell development by controlling mRNA fate during spermatogenesis. |



















