验证数据展示
经过测试的应用
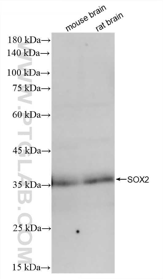
| Positive WB detected in | mouse brain tissue, U-251 cells, rat brain tissue, C6 cells |
推荐稀释比
| 应用 | 推荐稀释比 |
|---|---|
| Western Blot (WB) | WB : 1:5000-1:50000 |
| It is recommended that this reagent should be titrated in each testing system to obtain optimal results. | |
| Sample-dependent, Check data in validation data gallery. | |
产品信息
83059-6-RR targets SOX2 in WB, ELISA applications and shows reactivity with human, mouse, rat samples.
| 经测试应用 | WB, ELISA Application Description |
| 经测试反应性 | human, mouse, rat |
| 免疫原 |
CatNo: Ag0612 Product name: Recombinant human SOX2 protein Source: e coli.-derived, PGEX-4T Tag: GST Domain: 59-118 aa of BC013923 Sequence: MAQENPKMHNSEISKRLGAEWKLLSETEKRPFIDEAKRLRALHMKEHPDYKYRPRRKTKT 种属同源性预测 |
| 宿主/亚型 | Rabbit / IgG |
| 抗体类别 | Recombinant |
| 产品类型 | Antibody |
| 全称 | SRY (sex determining region Y)-box 2 |
| 别名 | ANOP3, MCOPS 3, MCOPS3, SOX 2, Transcription factor SOX 2 |
| 计算分子量 | 34 kDa |
| 观测分子量 | 34-43 kDa |
| GenBank蛋白编号 | BC013923 |
| 基因名称 | SOX2 |
| Gene ID (NCBI) | 6657 |
| 偶联类型 | Unconjugated |
| 形式 | Liquid |
| 纯化方式 | Protein A purification |
| UNIPROT ID | P48431 |
| 储存缓冲液 | PBS with 0.02% sodium azide and 50% glycerol, pH 7.3. |
| 储存条件 | Store at -20°C. Stable for one year after shipment. Aliquoting is unnecessary for -20oC storage. |
背景介绍
Sox2, also known as SRY (sex determining region Y)-box 2, is a transcription factor essential for maintaining self-renewal of undifferentiated ES cells and is one of the key transcription factors used to reprogram mouse and human fibroblasts to a pluripotent state. Sox2 expressed in undifferentiated pluripotent stem cells and germ cells during development. A rare undiferentiated cell population that is intermingled with the Bergmann glia of the adult murine cerebellar cortex, expresses the stem cell markers Sox2 and Nestin, and lacks markers of glial or neuronal diferentiation.
实验方案
| Product Specific Protocols | |
|---|---|
| WB protocol for SOX2 antibody 83059-6-RR | Download protocol |
| Standard Protocols | |
|---|---|
| Click here to view our Standard Protocols |

