验证数据展示
经过测试的应用
| Positive WB detected in | A549 cells, Calu-1 cells, NIH/3T3 cells, human placenta tissue |
| Positive IP detected in | NIH/3T3 cells, human placenta tissue |
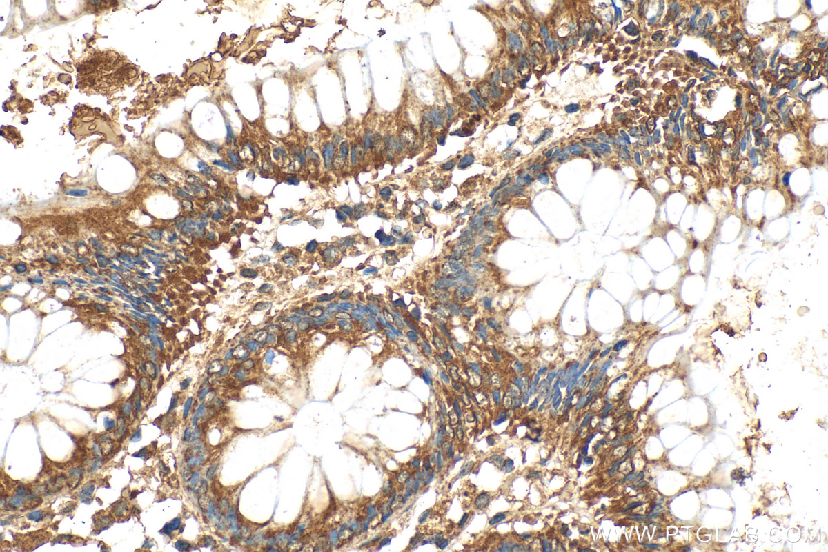
| Positive IHC detected in | human colon tissue, mouse colon tissue Note: suggested antigen retrieval with TE buffer pH 9.0; (*) Alternatively, antigen retrieval may be performed with citrate buffer pH 6.0 |
推荐稀释比
| 应用 | 推荐稀释比 |
|---|---|
| Western Blot (WB) | WB : 1:500-1:3000 |
| Immunoprecipitation (IP) | IP : 0.5-4.0 ug for 1.0-3.0 mg of total protein lysate |
| Immunohistochemistry (IHC) | IHC : 1:50-1:500 |
| It is recommended that this reagent should be titrated in each testing system to obtain optimal results. | |
| Sample-dependent, Check data in validation data gallery. | |
产品信息
27343-1-AP targets SOCS6 in WB, IHC, IP, ELISA applications and shows reactivity with human, mouse samples.
| 经测试应用 | WB, IHC, IP, ELISA Application Description |
| 经测试反应性 | human, mouse |
| 免疫原 |
CatNo: Ag25594 Product name: Recombinant human SOCS6 protein Source: e coli.-derived, PET28a Tag: 6*His Domain: 132-385 aa of BC020082 Sequence: YSPAPWPLRPTNSEETCIKMEVRVKALVHSSSPSPALNGVRKDFHDLQSETTCQEQANSLKSSASHNGDLHLHLDEHVPVVIGLMPQDYIQYTVPLDEGMYPLEGSRSYCLDSSSPMEVSAVPPQVGGRAFPEDESQVDQDLVVAPEIFVDQSVNGLLIGTTGVMLQSPRAGHDDVPPLSPLLPPMQNNQIQRNFSGLTGTEAHVAESMRCHLNFDPNSAPGVARVYDSVQSSGPMVVTSLTEELKKLAKQGWY 种属同源性预测 |
| 宿主/亚型 | Rabbit / IgG |
| 抗体类别 | Polyclonal |
| 产品类型 | Antibody |
| 全称 | suppressor of cytokine signaling 6 |
| 别名 | CIS 4, CIS4, CIS-4, Cytokine-inducible SH2 protein 4, HSPC060 |
| 计算分子量 | 60 kDa |
| 观测分子量 | 60-75 kDa |
| GenBank蛋白编号 | BC020082 |
| 基因名称 | SOCS6 |
| Gene ID (NCBI) | 9306 |
| RRID | AB_3669595 |
| 偶联类型 | Unconjugated |
| 形式 | Liquid |
| 纯化方式 | Antigen affinity purification |
| UNIPROT ID | O14544 |
| 储存缓冲液 | PBS with 0.02% sodium azide and 50% glycerol, pH 7.3. |
| 储存条件 | Store at -20°C. Stable for one year after shipment. Aliquoting is unnecessary for -20oC storage. |
背景介绍
SOCS6 (Suppressor of cytokine signaling 6) is also named as CIS4 and SOCS4. SOCS6 is one of eight members of the SOCS family of proteins. SOCS6 is involved in negative regulation of receptor signaling by increasing degradation mediated by ubiquitination of receptors or substrate proteins and induces apoptosis by targeting mitochondrial proteins (PMID: 25172101). SOCS6 is widely expressed in many tissues and is found to be downregulated in many cancers including colorectal cancer, gastric cancer, lung cancer, ovarian cancer, stomach cancer, thyroid cancer, hepatocellular carcinoma, and pancreatic cancer (PMID: 25172101). In addition to its molecular weight of 60 kDa, SOCS6 has a 70 kDa isoform (PMID: 34169835, PMID: 22125600).
实验方案
| Product Specific Protocols | |
|---|---|
| IHC protocol for SOCS6 antibody 27343-1-AP | Download protocol |
| IP protocol for SOCS6 antibody 27343-1-AP | Download protocol |
| WB protocol for SOCS6 antibody 27343-1-AP | Download protocol |
| Standard Protocols | |
|---|---|
| Click here to view our Standard Protocols |






