验证数据展示
经过测试的应用
| Positive WB detected in | mouse testis tissue, rat testis tissue |
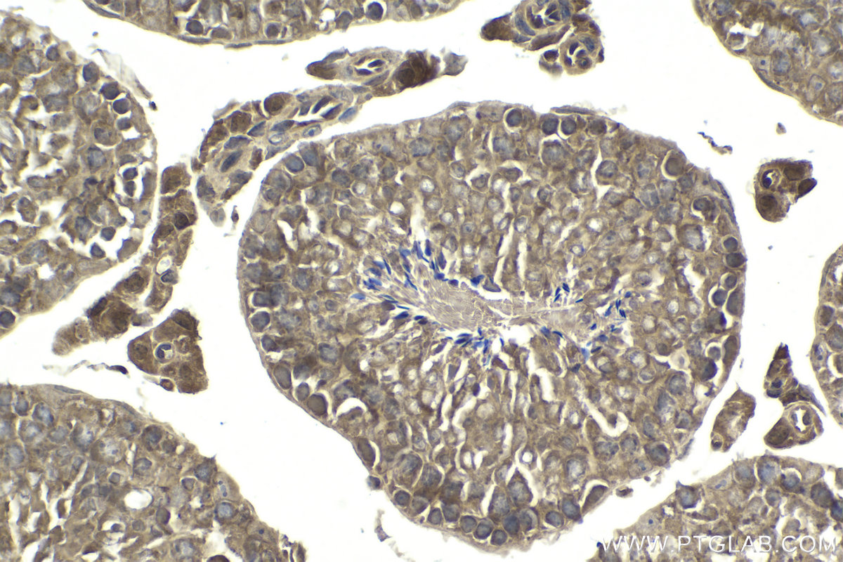
| Positive IHC detected in | human lung cancer tissue, human malignant melanoma tissue, mouse testis tissue, rat kidney tissue, rat testis tissue Note: suggested antigen retrieval with TE buffer pH 9.0; (*) Alternatively, antigen retrieval may be performed with citrate buffer pH 6.0 |
推荐稀释比
| 应用 | 推荐稀释比 |
|---|---|
| Western Blot (WB) | WB : 1:500-1:2000 |
| Immunohistochemistry (IHC) | IHC : 1:250-1:1000 |
| It is recommended that this reagent should be titrated in each testing system to obtain optimal results. | |
| Sample-dependent, Check data in validation data gallery. | |
产品信息
18038-1-AP targets SMURF2 in WB, IHC, IP, ELISA applications and shows reactivity with human, mouse, rat samples.
| 经测试应用 | WB, IHC, ELISA Application Description |
| 文献引用应用 | WB, IP |
| 经测试反应性 | human, mouse, rat |
| 文献引用反应性 | human, mouse, rat |
| 免疫原 |
CatNo: Ag12666 Product name: Recombinant human SMURF2 protein Source: e coli.-derived, T-HIS Tag: 6*His Domain: 390-748 aa of BC093876 Sequence: AGHCRIEVSREEIFEESYRQVMKMRPKDLWKRLMIKFRGEEGLDYGGVAREWLYLLSHEMLNPYYGLFQYSRDDIYTLQINPDSAVNPEHLSYFHFVGRIMGMAVFHGHYIDGGFTLPFYKQLLGKSITLDDMELVDPDLHNSLVWILENDITGVLDHTFCVEHNAYGEIIQHELKPNGKSIPVNEENKKEYVRLYVNWRFLRGIEAQFLALQKGFNEVIPQHLLKTFDEKELELIICGLGKIDVNDWKVNTRLKHCTPDSNIVKWFWKAVEFFDEERRARLLQFVTGSSRVPLQGFKALQGAAGPRLFTIHQIDACTNNLPKAHTCFNRIDIPPYESYEKLYEKLLTAIEETCGFAVE 种属同源性预测 |
| 宿主/亚型 | Rabbit / IgG |
| 抗体类别 | Polyclonal |
| 产品类型 | Antibody |
| 全称 | SMAD specific E3 ubiquitin protein ligase 2 |
| 别名 | hSMURF2, SMURF2 |
| 计算分子量 | 748 aa, 86 kDa |
| 观测分子量 | 86-100 kDa |
| GenBank蛋白编号 | BC093876 |
| 基因名称 | SMURF2 |
| Gene ID (NCBI) | 64750 |
| RRID | AB_3085549 |
| 偶联类型 | Unconjugated |
| 形式 | Liquid |
| 纯化方式 | Antigen affinity purification |
| UNIPROT ID | Q9HAU4 |
| 储存缓冲液 | PBS with 0.02% sodium azide and 50% glycerol, pH 7.3. |
| 储存条件 | Store at -20°C. Stable for one year after shipment. Aliquoting is unnecessary for -20oC storage. |
背景介绍
SMURF2 is a HECT domain E3 ubiquitin ligase involved in degradation of SMADs,TGF-beta receptor,and other substrates.It also functions in regulation of neuronal and planar cell polarity, induction of senescence, and tumor suppression(PMID:22231558).SMURF2 associates constitutively with SMAD7 and it is nuclear, but binding to SMAD7 induces export and recruitment to activated TGFBR, where it causes degradation of receptors and of SMAD7 via proteasomal and lysosomal pathways(PMIF:11163210). SMURF2 can be detected 100 kDa by poly-sumoylated (PMID:26679521).
实验方案
| Product Specific Protocols | |
|---|---|
| IHC protocol for SMURF2 antibody 18038-1-AP | Download protocol |
| IP protocol for SMURF2 antibody 18038-1-AP | Download protocol |
| WB protocol for SMURF2 antibody 18038-1-AP | Download protocol |
| Standard Protocols | |
|---|---|
| Click here to view our Standard Protocols |
发表文章
| Species | Application | Title |
|---|---|---|
Mol Cell SMURF2 predisposes cancer cell toward ferroptosis in GPX4-independent manners by promoting GSTP1 degradation
| ||
Mol Med Acid ceramidase targeting pyruvate kinase affected trypsinogen activation in acute pancreatitis | ||
Korean Circ J UPF1 Alleviates Myocardial Ischemia-Reperfusion Injury by Regulating SMURF2-Mediated Ubiquitination Degradation of FOXA2 | ||
Cancer Lett UBE2C promotes pancreatic tumorigenesis by KRAS stabilization via APC/CCDH1-mediated WDR76 degradation | ||
Front Immunol FOXA2/miR-148a-3p/SMURF2 signaling feed-forward loop alleviates spinal cord ischemia-reperfusion injury-induced neuropathic pain by modulating microglia polarization in rats
| ||
Acta Pharmacol Sin SMURF2 inhibition attenuates cardiac hypertrophy through blocking ubiquitination degradation of AXIN1
|








