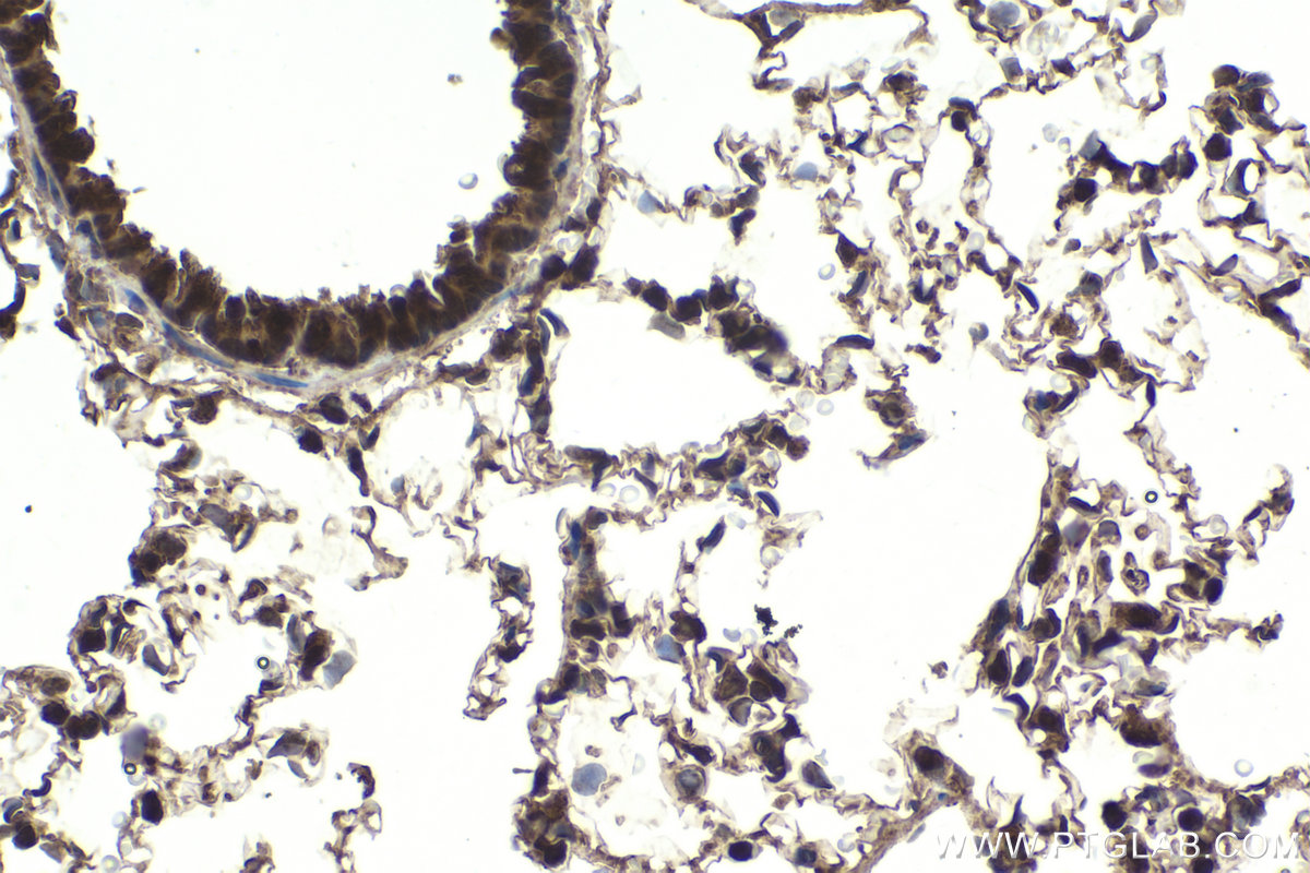
IHCeasy® SMURF2 Ready-To-Use IHC Kit
SMURF2 Ready-to-use reagent kit for IHC.
Reactivity
Human, Mouse, Rat
Sample Type
FFPE tissue
Cat no : KHC1941
Synonyms
hSMURF2, SMURF2
Validation Data Gallery
Product Information
KHC1941 is a ready-to-use IHC kit for staining of SMURF2. The kit provides all reagents, from antigen retrieval to cover slip mounting, that require little to no diluting or handling prior to use. Simply apply the reagents to your sample slide according to the protocol and you're steps away from obtaining high-quality IHC data.
| Product name | IHCeasy SMURF2 Ready-To-Use IHC Kit |
| Sample type | FFPE tissue |
| Assay type | Immunohistochemistry |
| Primary antibody type | Rabbit Polyclonal |
| Secondary antibody type | Polymer-HRP-Goat anti-Rabbit |
| Reactivity | Human, Mouse, Rat |
Kit components
| Component | Size | Concentration |
|---|---|---|
| Antigen Retrieval Buffer | 100 mL | 50× |
| Washing Buffer | 100 mL ×2 | 20× |
| Blocking Buffer | 5 mL | RTU |
| Primary Antibody | 5 mL | RTU |
| Secondary Antibody | 5 mL | RTU |
| Chromogen Component A | 0.2 mL | RTU |
| Chromogen Component B | 4 mL | RTU |
| Signal Enhancer | 5 mL | RTU |
| Counter Staining Reagent | 5 mL | RTU |
| Mounting Media | 5 mL | RTU |
| Datasheet | 1 Copy | |
| Manual | 1 Copy |
Background Information
SMURF2 is a HECT domain E3 ubiquitin ligase involved in degradation of SMADs,TGF-beta receptor,and other substrates. It also functions in regulation of neuronal and planar cell polarity, induction of senescence, and tumor suppression. SMURF2 associates constitutively with SMAD7 and it is nuclear, but binding to SMAD7 induces export and recruitment to activated TGFBR, where it causes degradation of receptors and of SMAD7 via proteasomal and lysosomal pathways.
Properties
| Storage Instructions | All the reagents are stored at 2-8°C. The kit is stable for 6 months from the date of receipt. |
| Synonyms | hSMURF2, SMURF2 |






