验证数据展示
经过测试的应用
| Positive WB detected in | COLO 320 cells, HEK-293 cells |
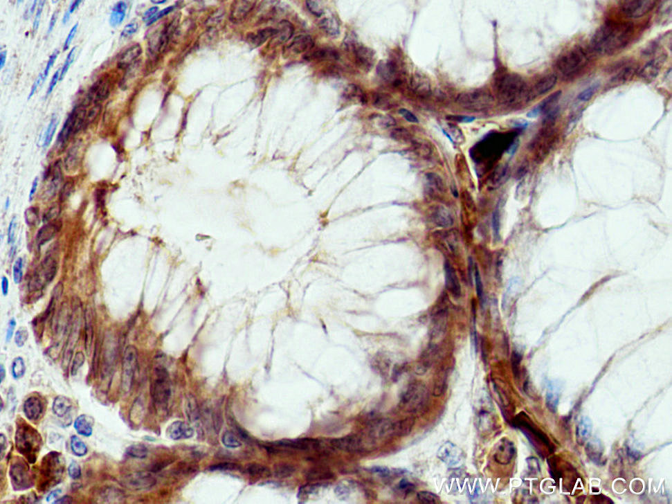
| Positive IHC detected in | human kidney tissue, human colon cancer tissue Note: suggested antigen retrieval with TE buffer pH 9.0; (*) Alternatively, antigen retrieval may be performed with citrate buffer pH 6.0 |
推荐稀释比
| 应用 | 推荐稀释比 |
|---|---|
| Western Blot (WB) | WB : 1:500-1:2000 |
| Immunohistochemistry (IHC) | IHC : 1:250-1:1000 |
| It is recommended that this reagent should be titrated in each testing system to obtain optimal results. | |
| Sample-dependent, Check data in validation data gallery. | |
产品信息
16552-1-AP targets SMPDL3B in WB, IHC, IF, ELISA applications and shows reactivity with human, mouse, rat samples.
| 经测试应用 | WB, IHC, ELISA Application Description |
| 文献引用应用 | WB, IHC, IF |
| 经测试反应性 | human, mouse, rat |
| 文献引用反应性 | human, mouse, rat, pig, monkey |
| 免疫原 |
CatNo: Ag9535 Product name: Recombinant human SMPDL3B protein Source: e coli.-derived, PGEX-4T Tag: GST Domain: 1-336 aa of BC014444 Sequence: MRLLAWLIFLANWGGARAEPGKFWHIADLHLDPDYKVSKDPFQVCPSAGSQPVPDAGPWGDYLCDSPWALINSSIYAMKEIEPEPDFILWTGDDTPHVPDEKLGEAAVLEIVERLTKLIREVFPDTKVYAALGNHDFHPKNQFPAGSNNIYNQIAELWKPWLSNESIALFKKGAFYCEKLPGPSGAGRIVVLNTNLYYTSNALTADMADPGQQFQWLEDVLTDASKAGDMVYIVGHVPPGFFEKTQNKAWFREGFNEKYLKVVRKHHRVIAGQFFGHHHTDSFRMLYDDAGVPISAMFITPGVTPWKTTLPGVVNGANNPAIRVFEYDRATLSLKV 种属同源性预测 |
| 宿主/亚型 | Rabbit / IgG |
| 抗体类别 | Polyclonal |
| 产品类型 | Antibody |
| 全称 | sphingomyelin phosphodiesterase, acid-like 3B |
| 别名 | Acid sphingomyelinase-like phosphodiesterase 3b, ASM like phosphodiesterase 3b, ASML3B, ASM-like phosphodiesterase 3b, ASMLPD |
| 计算分子量 | 373aa,42 kDa; 455aa,51 kDa |
| 观测分子量 | 42 kDa, 50-65 kDa |
| GenBank蛋白编号 | BC014444 |
| 基因名称 | SMPDL3B |
| Gene ID (NCBI) | 27293 |
| RRID | AB_2878276 |
| 偶联类型 | Unconjugated |
| 形式 | Liquid |
| 纯化方式 | Antigen affinity purification |
| UNIPROT ID | Q92485 |
| 储存缓冲液 | PBS with 0.02% sodium azide and 50% glycerol, pH 7.3. |
| 储存条件 | Store at -20°C. Stable for one year after shipment. Aliquoting is unnecessary for -20oC storage. |
背景介绍
SMPDL3B (sphingomyelin phosphodiesterase acid-like 3B) is lipid-modulating phosphodiesterase, which is active on the surface of macrophages and dendritic cells and strongly influences macrophage lipid composition and membrane fluidity. SMPDL3B acts as a negative regulator of Toll-like receptor signaling.It lacks activity with phosphocholine-containing lipids, but can cleave CDP-choline, and can release phosphate from ATP and ADP in vitro (PMID: 26095358). SMPDL3B can be detected 60-70 kDa by N-glycosylation modification (PMID: 26095358, PMID: 31217420).
实验方案
| Product Specific Protocols | |
|---|---|
| IHC protocol for SMPDL3B antibody 16552-1-AP | Download protocol |
| WB protocol for SMPDL3B antibody 16552-1-AP | Download protocol |
| Standard Protocols | |
|---|---|
| Click here to view our Standard Protocols |
发表文章
| Species | Application | Title |
|---|---|---|
Front Mol Biosci SMPDL3B Predicts Poor Prognosis and Contributes to Development of Acute Myeloid Leukemia
| ||
JHEP Rep Macrophage-derived thrombospondin 1 promotes obesity-associated non-alcoholic fatty liver disease. | ||
iScience Porcine reproductive and respiratory syndrome virus upregulates SMPDL3B to promote viral replication by modulating lipid metabolism
| ||
Turk J Med Sci SMPDL3B contributes to gastric adenocarcinoma cells progression by promoting the infiltration of M2 macrophages | ||
Immunity Membrane integrity changes upon viral infection activate sphingomyelinase SMPDL3B to restrict cGAS-STING signaling via cGAMP degradation |





