验证数据展示
经过测试的应用
| Positive WB detected in | RAW 264.7 cells, RAW264.7 cells |
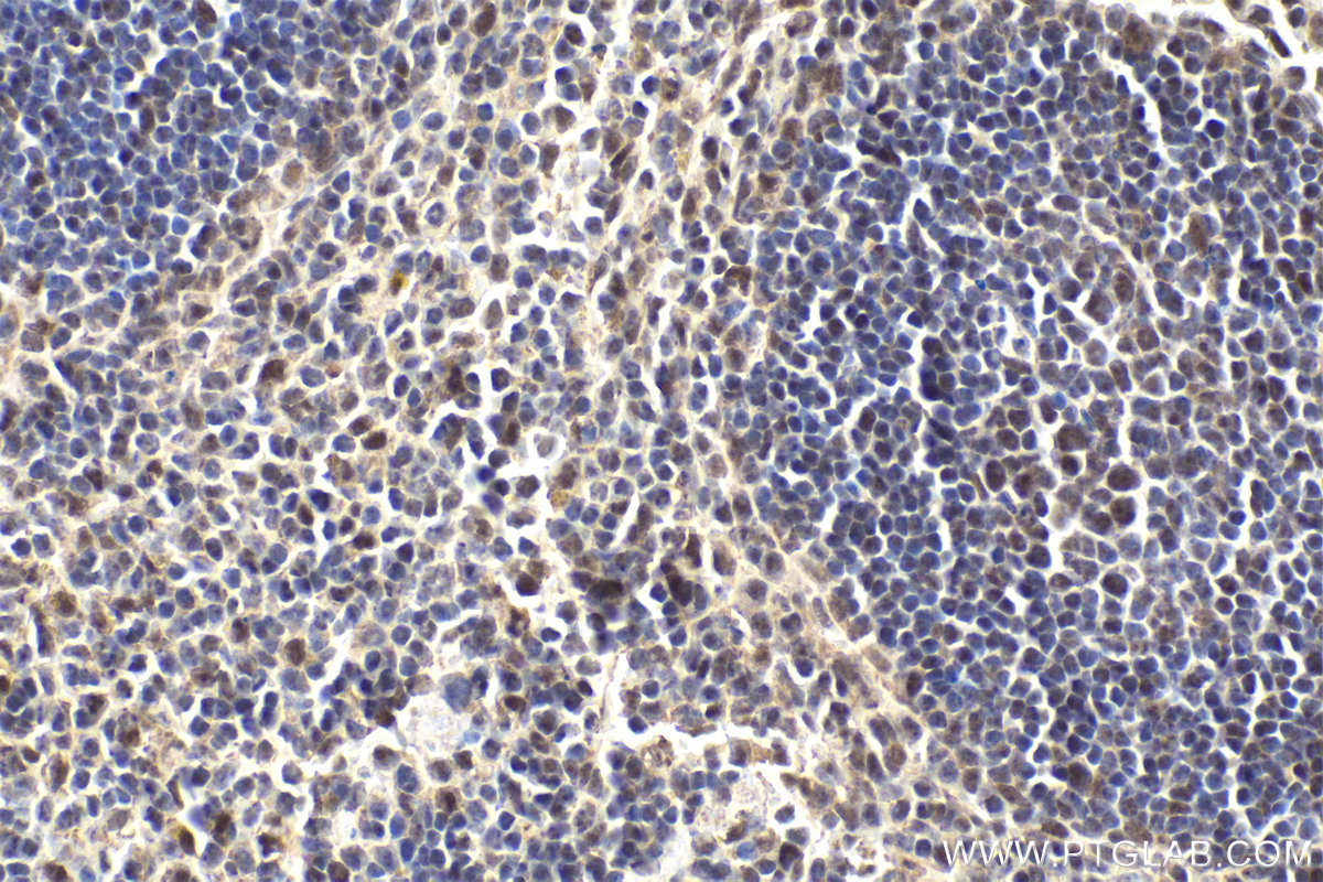
| Positive IHC detected in | mouse spleen tissue, human cervical cancer tissue, rat spleen tissue Note: suggested antigen retrieval with TE buffer pH 9.0; (*) Alternatively, antigen retrieval may be performed with citrate buffer pH 6.0 |
推荐稀释比
| 应用 | 推荐稀释比 |
|---|---|
| Western Blot (WB) | WB : 1:500-1:1000 |
| Immunohistochemistry (IHC) | IHC : 1:500-1:2000 |
| It is recommended that this reagent should be titrated in each testing system to obtain optimal results. | |
| Sample-dependent, Check data in validation data gallery. | |
产品信息
11156-1-AP targets SMARCD2 in WB, IHC, ELISA applications and shows reactivity with human, mouse, rat samples.
| 经测试应用 | WB, IHC, ELISA Application Description |
| 经测试反应性 | human, mouse, rat |
| 免疫原 |
CatNo: Ag1630 Product name: Recombinant human SMARCD2 protein Source: e coli.-derived, PGEX-4T Tag: GST Domain: 1-78 aa of BC018953 Sequence: RDFMLSFSTDPQDFIQEWLRSQRRDLKIITDVIGNPEEERRAAFYHQPWAQEAVGRHIFAKVQQRRQELEQVLGIRLT 种属同源性预测 |
| 宿主/亚型 | Rabbit / IgG |
| 抗体类别 | Polyclonal |
| 产品类型 | Antibody |
| 全称 | SWI/SNF related, matrix associated, actin dependent regulator of chromatin, subfamily d, member 2 |
| 别名 | SWI/SNF-related matrix-associated actin-dependent regulator of chromatin subfamily D member 2, SMARCD 2, CRACD2, BRG1-associated factor 60B, 60 kDa BRG-1/Brm-associated factor subunit B |
| 计算分子量 | 52 kDa |
| 观测分子量 | 52 kDa |
| GenBank蛋白编号 | BC018953 |
| 基因名称 | SMARCD2 |
| Gene ID (NCBI) | 6603 |
| RRID | AB_2192145 |
| 偶联类型 | Unconjugated |
| 形式 | Liquid |
| 纯化方式 | Antigen affinity purification |
| UNIPROT ID | Q92925 |
| 储存缓冲液 | PBS with 0.02% sodium azide and 50% glycerol, pH 7.3. |
| 储存条件 | Store at -20°C. Stable for one year after shipment. Aliquoting is unnecessary for -20oC storage. |
背景介绍
The SWI/SNF chromatin remodelling complexes are important regulators of transcription; they consist of large multisubunit assemblies containing either Brm or Brg1 as the catalytic ATPase subunit and a variable subset of approximately 10 Brg/Brm-associated factors (BAF) [PMID:20148946]. SMARCD2 is one of BAF60 proteins, which are found in most complexes, is thought to bridge interactions between transcription factors and SWI/SNF complexes. [PMID:9427560]
实验方案
| Product Specific Protocols | |
|---|---|
| IHC protocol for SMARCD2 antibody 11156-1-AP | Download protocol |
| WB protocol for SMARCD2 antibody 11156-1-AP | Download protocol |
| Standard Protocols | |
|---|---|
| Click here to view our Standard Protocols |






