验证数据展示
经过测试的应用
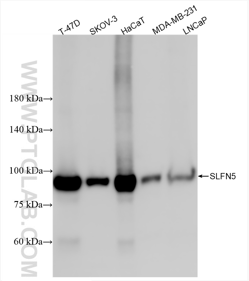
| Positive WB detected in | T-47D cells, SKOV-3 cells, HaCaT cells, MDA-MB-231 cells, LNCaP cells |
推荐稀释比
| 应用 | 推荐稀释比 |
|---|---|
| Western Blot (WB) | WB : 1:5000-1:50000 |
| It is recommended that this reagent should be titrated in each testing system to obtain optimal results. | |
| Sample-dependent, Check data in validation data gallery. | |
产品信息
86424-2-RR targets SLFN5 in WB, ELISA applications and shows reactivity with human samples.
| 经测试应用 | WB, ELISA Application Description |
| 经测试反应性 | human |
| 免疫原 |
CatNo: Ag9959 Product name: Recombinant human SLFN5 protein Source: e coli.-derived, PGEX-4T Tag: GST Domain: 1-338 aa of BC021238 Sequence: MSLRIDVDTNFPECVVDAGKVTLGTQQRQEMDPRLREKQNEIILRAVCALLNSGGGIIKAEIENKGYNYERHGVGLDVPPIFRSHLDKMQKENHFLIFVKSWNTEAGVPLATLCSNLYHRERTSTDVMDSQEALAFLKCRTQTPTNINVSNSLGPQAAQGSVQYEGNINVSAAALFDRKRLQYLEKLNLPESTHVEFVMFSTDVSHCVKDRLPKCVSAFANTEGGYVFFGVHDETCQVIGCEKEKIDLTSLRASIDGCIKKLPVHHFCTQRPEIKYVLNFLEVHDKGALRGYVCAIKVEKFCCAVFAKVPSSWQVKDNRVRQLPTREWTAWMMEADPG 种属同源性预测 |
| 宿主/亚型 | Rabbit / IgG |
| 抗体类别 | Recombinant |
| 产品类型 | Antibody |
| 全称 | schlafen family member 5 |
| 别名 | Schlafen family member 5 |
| 计算分子量 | 338 aa, 38 kDa |
| 观测分子量 | 90-100 kDa |
| GenBank蛋白编号 | BC021238 |
| 基因名称 | SLFN5 |
| Gene ID (NCBI) | 162394 |
| 偶联类型 | Unconjugated |
| 形式 | Liquid |
| 纯化方式 | Protein A purification |
| UNIPROT ID | Q08AF3 |
| 储存缓冲液 | PBS with 0.02% sodium azide and 50% glycerol, pH 7.3. |
| 储存条件 | Store at -20°C. Stable for one year after shipment. Aliquoting is unnecessary for -20oC storage. |
背景介绍
Schlafen family member 5 (SLFN5) is a member of the Schlafen family of proteins, a group of type 1 IFN-inducible proteins. In addition to an AAA (ATPase) domain and a specific SLFN box, the SLFN5 gene contains a helicase domain as well as a nuclear localization sequence, which suggests a role for this protein in transcription-related processes. A growing number of findings suggest that human Schlafen family member 5(SLFN5) plays a key role in malignancy.
实验方案
| Product Specific Protocols | |
|---|---|
| WB protocol for SLFN5 antibody 86424-2-RR | Download protocol |
| Standard Protocols | |
|---|---|
| Click here to view our Standard Protocols |

