验证数据展示
经过测试的应用
| Positive WB detected in | human plasma, mouse kidney tissue |
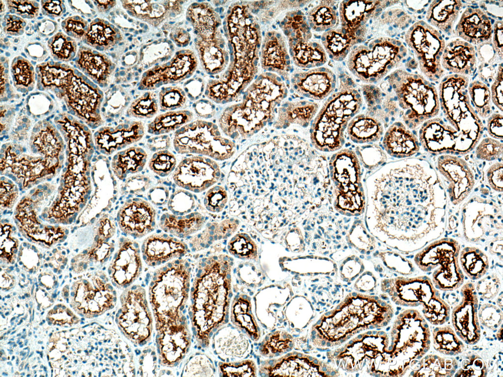
| Positive IHC detected in | human kidney tissue Note: suggested antigen retrieval with TE buffer pH 9.0; (*) Alternatively, antigen retrieval may be performed with citrate buffer pH 6.0 |
推荐稀释比
| 应用 | 推荐稀释比 |
|---|---|
| Western Blot (WB) | WB : 1:1000-1:4000 |
| Immunohistochemistry (IHC) | IHC : 1:200-1:800 |
| It is recommended that this reagent should be titrated in each testing system to obtain optimal results. | |
| Sample-dependent, Check data in validation data gallery. | |
发表文章中的应用
| KD/KO | See 1 publications below |
| WB | See 5 publications below |
| IHC | See 1 publications below |
产品信息
24584-1-AP targets SLCO4C1 in WB, IHC, ELISA applications and shows reactivity with human, mouse samples.
| 经测试应用 | WB, IHC, ELISA Application Description |
| 文献引用应用 | WB, IHC |
| 经测试反应性 | human, mouse |
| 文献引用反应性 | human, mouse, rat |
| 免疫原 |
CatNo: Ag20177 Product name: Recombinant human SLCO4C1 protein Source: e coli.-derived, PGEX-4T Tag: GST Domain: 1-105 aa of BC152989 Sequence: MKSAKGIENLAFVPSSPDILRRLSASPSQIEVSALSSDPQRENSQPQELQKPQEPQKSPEPSLPSAPPNVSEEKLRSLSLSEFEEGSYGWRNFHPQCLQRCNTPG 种属同源性预测 |
| 宿主/亚型 | Rabbit / IgG |
| 抗体类别 | Polyclonal |
| 产品类型 | Antibody |
| 全称 | solute carrier organic anion transporter family, member 4C1 |
| 别名 | OATP H, OATP M1, OATP4C1, OATPX, Organic anion transporter M1, PRO2176, SLC21A20, SLCO4C1 |
| 计算分子量 | 724 aa, 79 kDa |
| 观测分子量 | 60-85 kDa |
| GenBank蛋白编号 | BC152989 |
| 基因名称 | SLCO4C1 |
| Gene ID (NCBI) | 353189 |
| RRID | AB_2879622 |
| 偶联类型 | Unconjugated |
| 形式 | Liquid |
| 纯化方式 | Antigen affinity purification |
| UNIPROT ID | Q6ZQN7 |
| 储存缓冲液 | PBS with 0.02% sodium azide and 50% glycerol, pH 7.3. |
| 储存条件 | Store at -20°C. Stable for one year after shipment. Aliquoting is unnecessary for -20oC storage. |
背景介绍
SLCO4C1 is the only OATP ( organic anion transporting polypeptide) expressed at the human kidney's basolateral side of proximal tubular cells and mediates the excretion of uremic toxins (PMID: 21656517).
实验方案
| Product Specific Protocols | |
|---|---|
| IHC protocol for SLCO4C1 antibody 24584-1-AP | Download protocol |
| WB protocol for SLCO4C1 antibody 24584-1-AP | Download protocol |
| Standard Protocols | |
|---|---|
| Click here to view our Standard Protocols |
发表文章
| Species | Application | Title |
|---|---|---|
Oncol Rep Knockdown of SLCO4C1 inhibits cell proliferation and metastasis in endometrial cancer through inactivating the PI3K/Akt signaling pathway.
| ||
World J Gastrointest Pathophysiol Evaluating the regulation of transporter proteins and P-glycoprotein in rats with cholestasis and its implication for digoxin clearance. | ||
Front Cell Dev Biol Identification and verification of a prognostic signature based on a miRNA-mRNA interaction pattern in colon adenocarcinoma | ||
Aging (Albany NY) Identification and validation of SLCO4C1 as a biological marker in hepatocellular carcinoma based on anoikis classification features |


