验证数据展示
经过测试的应用
| Positive WB detected in | rat testis tissue, JAR cells, mouse testis tissue | 
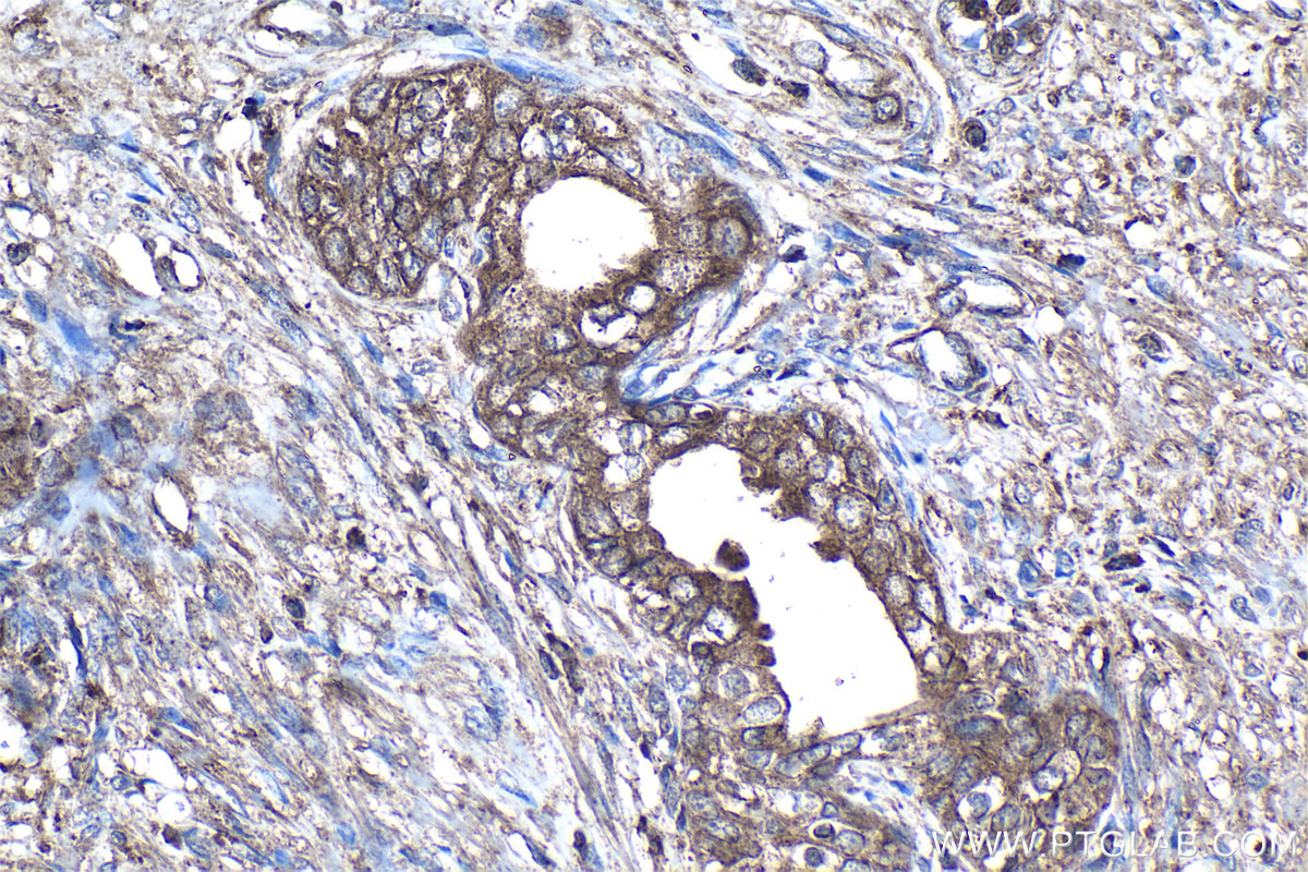
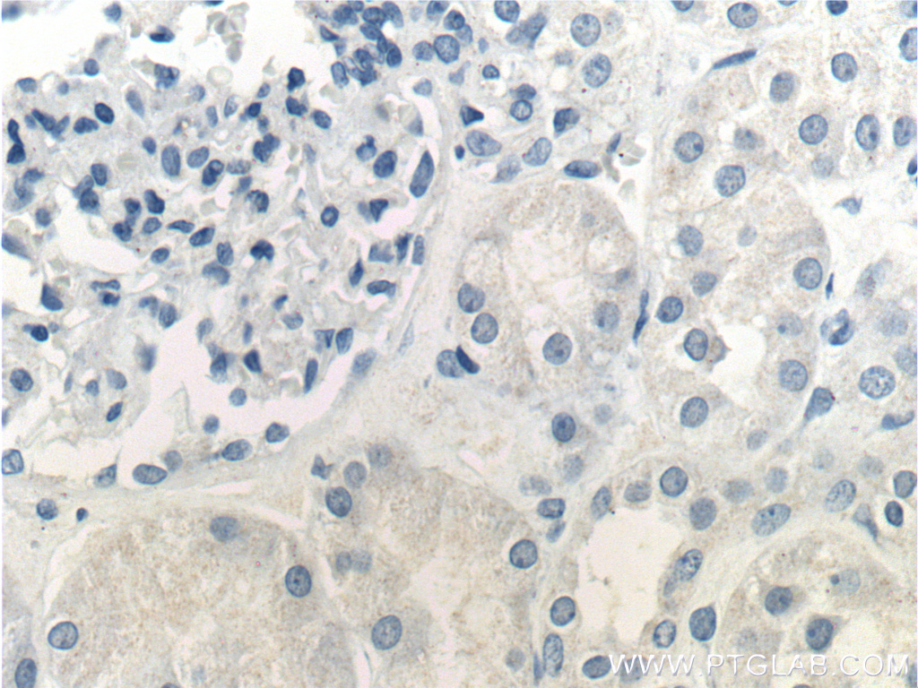
| Positive IHC detected in | human prostate cancer tissue Note: suggested antigen retrieval with TE buffer pH 9.0; (*) Alternatively, antigen retrieval may be performed with citrate buffer pH 6.0 | 
| Positive IF-P detected in | human prostate cancer tissue | 
推荐稀释比
| 应用 | 推荐稀释比 | 
|---|---|
| Western Blot (WB) | WB : 1:1000-1:10000 | 
| Immunohistochemistry (IHC) | IHC : 1:500-1:2000 | 
| Immunofluorescence (IF)-P | IF-P : 1:200-1:800 | 
| It is recommended that this reagent should be titrated in each testing system to obtain optimal results. | |
| Sample-dependent, Check data in validation data gallery. | |
产品信息
60343-1-Ig targets Prostein in WB, IHC, IF-P, ELISA applications and shows reactivity with human, mouse, rat samples.
| 经测试应用 | WB, IHC, IF-P, ELISA Application Description | 
| 经测试反应性 | human, mouse, rat | 
| 免疫原 | CatNo: Ag5463 Product name: Recombinant human SLC45A3 protein Source: e coli.-derived, PGEX-4T Tag: GST Domain: 405-553 aa of BC050416 Sequence: REKQVFLPKYRGDTGGASSEDSLMTSFLPGPKPGAPFPNGHVGAGGSGLLPPPPALCGASACDVSVRVVVGEPTEARVVPGRGICLDLAILDSAFLLSQVAPSLFMGSIVQLSQSVTAYMVSAAGLGLVAIYFATQVVFDKSDLAKYSA种属同源性预测 | 
| 宿主/亚型 | Mouse / IgG2b | 
| 抗体类别 | Monoclonal | 
| 产品类型 | Antibody | 
| 全称 | solute carrier family 45, member 3 | 
| 别名 | SLC45A3, 5E12E2, PCANAP6, Prostate cancer-associated protein 6, PRST | 
| 计算分子量 | 59 kDa | 
| 观测分子量 | 55-59 kDa | 
| GenBank蛋白编号 | BC050416 | 
| 基因名称 | Prostein | 
| Gene ID (NCBI) | 85414 | 
| RRID | AB_2881452 | 
| 偶联类型 | Unconjugated | 
| 形式 | Liquid | 
| 纯化方式 | Protein A purification | 
| UNIPROT ID | Q96JT2 | 
| 储存缓冲液 | PBS with 0.02% sodium azide and 50% glycerol, pH 7.3. | 
| 储存条件 | Store at -20°C. Stable for one year after shipment. Aliquoting is unnecessary for -20oC storage. | 
背景介绍
Prostein is a prostate tissue-specific protein whose expression is highly restricted to normal and cancerous prostate tissues. Anti-prostein is useful for the identification of prostate adenocarcinomas and is a good marker to identify prostatic origin in metastatic cancer.
实验方案
| Product Specific Protocols | |
|---|---|
| IF protocol for Prostein antibody 60343-1-Ig | Download protocol | 
| IHC protocol for Prostein antibody 60343-1-Ig | Download protocol | 
| WB protocol for Prostein antibody 60343-1-Ig | Download protocol | 
| Standard Protocols | |
|---|---|
| Click here to view our Standard Protocols | 







