验证数据展示
经过测试的应用
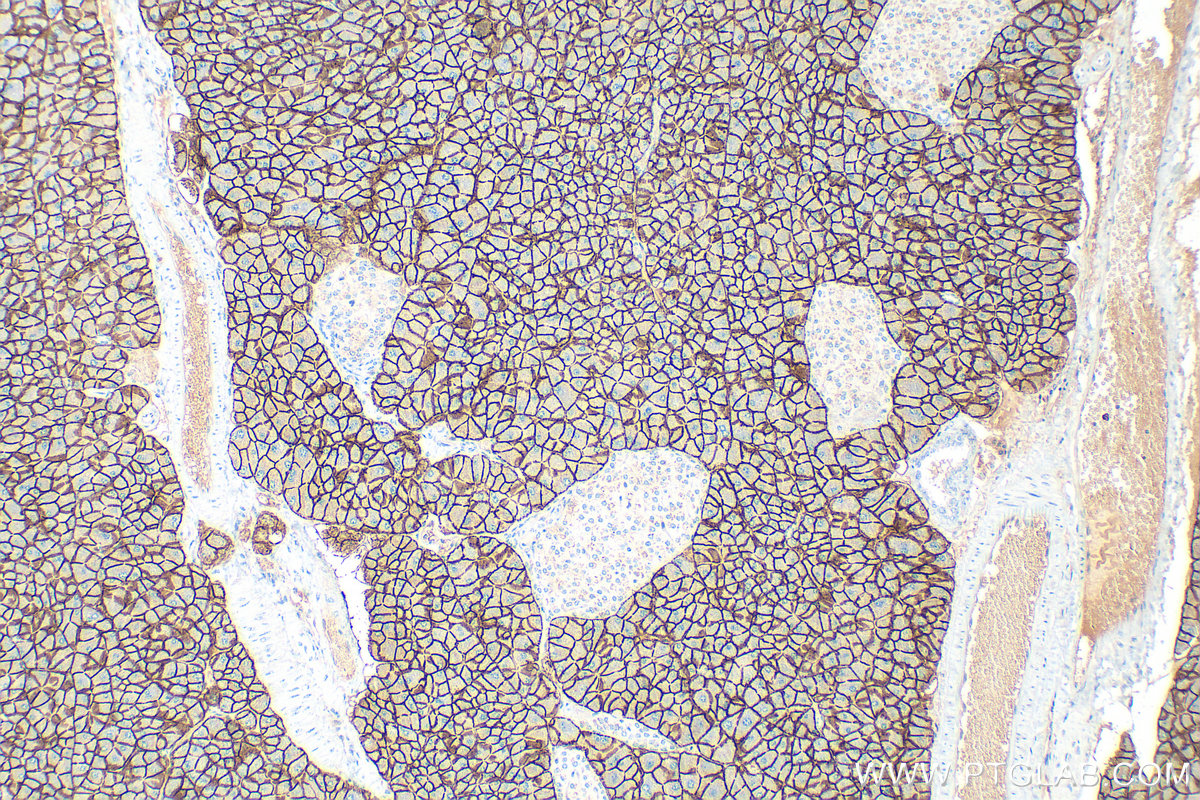
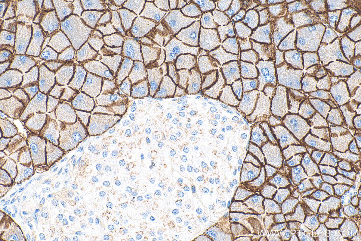
| Positive IHC detected in | mouse pancreas tissue Note: suggested antigen retrieval with TE buffer pH 9.0; (*) Alternatively, antigen retrieval may be performed with citrate buffer pH 6.0 |
推荐稀释比
| 应用 | 推荐稀释比 |
|---|---|
| Immunohistochemistry (IHC) | IHC : 1:50-1:500 |
| It is recommended that this reagent should be titrated in each testing system to obtain optimal results. | |
| Sample-dependent, Check data in validation data gallery. | |
发表文章中的应用
| KD/KO | See 1 publications below |
| WB | See 3 publications below |
产品信息
28102-1-AP targets SLC38A5 in WB, IHC, ELISA applications and shows reactivity with human, mouse, rat samples.
| 经测试应用 | IHC, ELISA Application Description |
| 文献引用应用 | WB |
| 经测试反应性 | human, mouse, rat |
| 文献引用反应性 | human |
| 免疫原 |
CatNo: Ag27881 Product name: Recombinant human SLC38A5 protein Source: e coli.-derived, PGEX-4T Tag: GST Domain: 1-48 aa of BC019246 Sequence: MELQDPKMNGALPSDAVGYRQEREGFLPSRGPAPGSKPVQFMDFEGKT 种属同源性预测 |
| 宿主/亚型 | Rabbit / IgG |
| 抗体类别 | Polyclonal |
| 产品类型 | Antibody |
| 全称 | solute carrier family 38, member 5 |
| 别名 | System N transporter 2, Sodium-coupled neutral amino acid transporter 5, SNAT5, SN2, PP7194 |
| 计算分子量 | 472 aa, 51 kDa |
| 观测分子量 | 45 kDa |
| GenBank蛋白编号 | BC019246 |
| 基因名称 | SLC38A5 |
| Gene ID (NCBI) | 92745 |
| RRID | AB_2881061 |
| 偶联类型 | Unconjugated |
| 形式 | Liquid |
| 纯化方式 | Antigen affinity purification |
| UNIPROT ID | Q8WUX1 |
| 储存缓冲液 | PBS with 0.02% sodium azide and 50% glycerol, pH 7.3. |
| 储存条件 | Store at -20°C. Stable for one year after shipment. Aliquoting is unnecessary for -20oC storage. |
实验方案
| Product Specific Protocols | |
|---|---|
| IHC protocol for SLC38A5 antibody 28102-1-AP | Download protocol |
| Standard Protocols | |
|---|---|
| Click here to view our Standard Protocols |
发表文章
| Species | Application | Title |
|---|---|---|
Front Cell Dev Biol Hypoxia-immune-related microenvironment prognostic signature for osteosarcoma | ||
NPJ Biofilms Microbiomes Gut-resident Phascolarctobacterium succinatutens decreases fat accumulation via MYC-driven epigenetic regulation of arginine biosynthesis | ||
Cell Death Dis Loss of cadherin 17 downregulates LGR5 expression, stem cell properties and drug resistance in metastatic colorectal cancer cells.
|



