验证数据展示
经过测试的应用
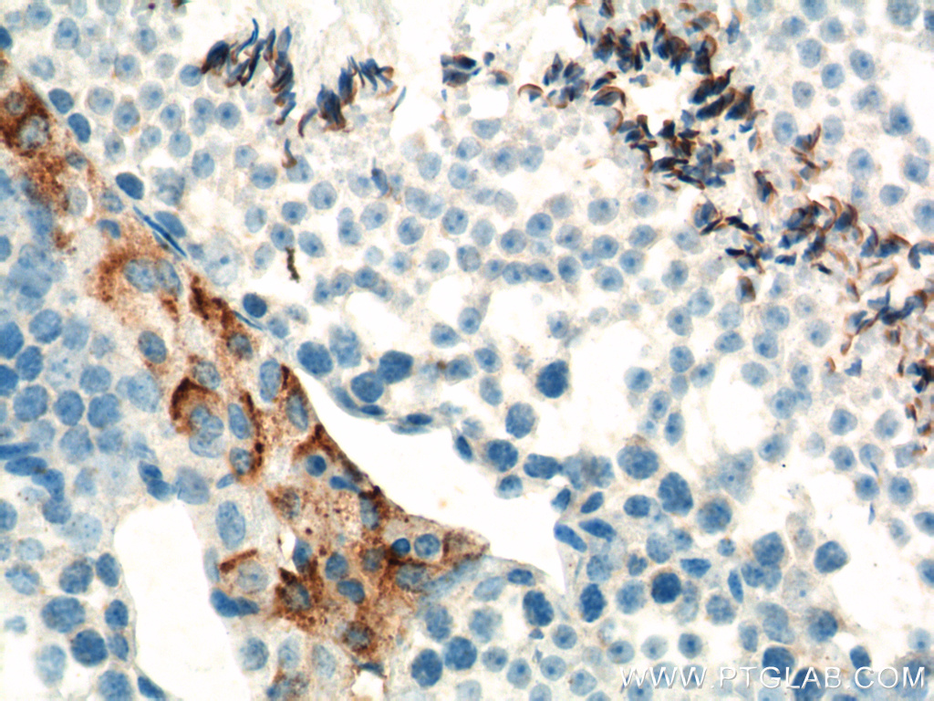
| Positive IHC detected in | mouse spleen tissue, mouse testis tissue, human skin tissue, human spleen tissue Note: suggested antigen retrieval with TE buffer pH 9.0; (*) Alternatively, antigen retrieval may be performed with citrate buffer pH 6.0 |
| Positive IF/ICC detected in | HepG2 cells |
推荐稀释比
| 应用 | 推荐稀释比 |
|---|---|
| Immunohistochemistry (IHC) | IHC : 1:50-1:500 |
| Immunofluorescence (IF)/ICC | IF/ICC : 1:200-1:800 |
| It is recommended that this reagent should be titrated in each testing system to obtain optimal results. | |
| Sample-dependent, Check data in validation data gallery. | |
产品信息
16342-1-AP targets SLC35A1 in WB, IHC, IF/ICC, ELISA applications and shows reactivity with human, mouse, rat samples.
| 经测试应用 | IHC, IF/ICC, ELISA Application Description |
| 文献引用应用 | WB, IHC, IF |
| 经测试反应性 | human, mouse, rat |
| 文献引用反应性 | human |
| 免疫原 |
CatNo: Ag9524 Product name: Recombinant human SLC35A1 protein Source: e coli.-derived, PGEX-4T Tag: GST Domain: 1-129 aa of BC017807 Sequence: MAAPRDNVTLLFKLYCLAVMTLMAAVYTIALRYTRTSDKELYFSTTAVCITEVIKLLLSVGILAKETGSLGRFKASLRENVLGSPKELLKLSVPSLVYAVQNNMAFLALSNLDAAVYQVTYQLKIPCTA 种属同源性预测 |
| 宿主/亚型 | Rabbit / IgG |
| 抗体类别 | Polyclonal |
| 产品类型 | Antibody |
| 全称 | solute carrier family 35 (CMP-sialic acid transporter), member A1 |
| 别名 | CMP SA Tr, CMP Sia Tr, CMP sialic acid transporter, CMP-SA-Tr, CMP-sialic acid transporter |
| 计算分子量 | 337 aa, 37 kDa |
| 观测分子量 | 30-33 kDa |
| GenBank蛋白编号 | BC017807 |
| 基因名称 | SLC35A1 |
| Gene ID (NCBI) | 10559 |
| RRID | AB_2190077 |
| 偶联类型 | Unconjugated |
| 形式 | Liquid |
| 纯化方式 | Antigen affinity purification |
| UNIPROT ID | P78382 |
| 储存缓冲液 | PBS with 0.02% sodium azide and 50% glycerol, pH 7.3. |
| 储存条件 | Store at -20°C. Stable for one year after shipment. Aliquoting is unnecessary for -20oC storage. |
背景介绍
Solute carrier family 35 member A1 (SLC35A1) , also named as CMP-sialic acid transporter (CST) , is responsible for transferring CMP-sialic acid from the cytosol through Golgi membranes, thus playing a vital role in the terminal sialylation of glycan structures. Slc35a1 deficiency causes thrombocytopenia due to impaired megakaryocytopoiesis and excessive platelet clearance in the liver. In addition, SCL35A1 acts independently from sialic acid in functional α-DG O-mannosylation(PMID: 25552652).
实验方案
| Product Specific Protocols | |
|---|---|
| IF protocol for SLC35A1 antibody 16342-1-AP | Download protocol |
| IHC protocol for SLC35A1 antibody 16342-1-AP | Download protocol |
| Standard Protocols | |
|---|---|
| Click here to view our Standard Protocols |
发表文章
| Species | Application | Title |
|---|---|---|
J Exp Med Single-cell transcriptome analysis reveals differential nutrient absorption functions in human intestine. | ||
Cells Knockout of the CMP-Sialic Acid Transporter SLC35A1 in Human Cell Lines Increases Transduction Efficiency of Adeno-Associated Virus 9: Implications for Gene Therapy Potency Assays.
| ||
Cell Rep A genome-wide CRISPR screen identifies UFMylation and TRAMP-like complexes as host factors required for hepatitis A virus infection.
| ||
Hum Mutat A Novel Missense Variant in Ultrarare SLC35A1-CDG Alters Cellular Glycosylation, Lipid, and Energy Metabolism Without Affecting CDG Serum Markers.
|








