验证数据展示
经过测试的应用
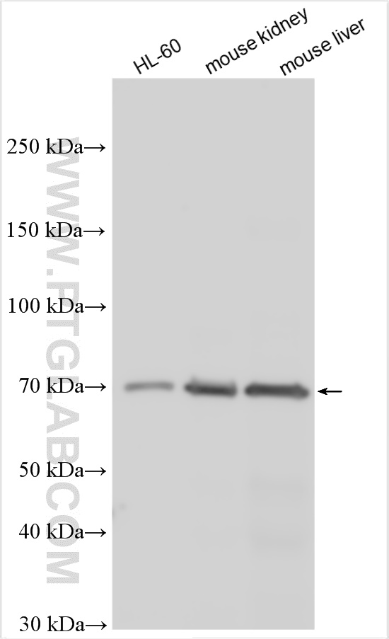
| Positive WB detected in | HL-60 cells, mouse kidney tissue, mouse liver tissue |
| Positive IHC detected in | human pancreas cancer tissue Note: suggested antigen retrieval with TE buffer pH 9.0; (*) Alternatively, antigen retrieval may be performed with citrate buffer pH 6.0 |
| Positive IF/ICC detected in | HepG2 cells |
推荐稀释比
| 应用 | 推荐稀释比 |
|---|---|
| Western Blot (WB) | WB : 1:500-1:1000 |
| Immunohistochemistry (IHC) | IHC : 1:400-1:1600 |
| Immunofluorescence (IF)/ICC | IF/ICC : 1:200-1:800 |
| It is recommended that this reagent should be titrated in each testing system to obtain optimal results. | |
| Sample-dependent, Check data in validation data gallery. | |
产品信息
18182-1-AP targets SLC28A3 in WB, IHC, IF/ICC, ELISA applications and shows reactivity with human, mouse samples.
| 经测试应用 | WB, IHC, IF/ICC, ELISA Application Description |
| 经测试反应性 | human, mouse |
| 免疫原 |
CatNo: Ag12887 Product name: Recombinant human SLC28A3 protein Source: e coli.-derived, PGEX-4T Tag: GST Domain: 1-186 aa of BC093821 Sequence: MELRSTAAPRAEGYSNVGFQNEENFLENENTSGNNSIRSRAVQSREHTNTKQDEEQVTVEQDSPRNREHMEDDDEEMQQKGCLERRYDTVCGFCRKHKTTLRHIIWGILLAGYLVMVISACVLNFHRALPLFVITVAAIFFVVWDHLMAKYEHRIDEMLSPGRRLLNSHWFWLKWVIWSSLVLAVI 种属同源性预测 |
| 宿主/亚型 | Rabbit / IgG |
| 抗体类别 | Polyclonal |
| 产品类型 | Antibody |
| 全称 | solute carrier family 28 (sodium-coupled nucleoside transporter), member 3 |
| 别名 | hCNT3, Concentrative Na(+)-nucleoside cotransporter 3, CNT3, CNT 3 |
| 计算分子量 | 691 aa, 77 kDa |
| 观测分子量 | 70-75 kDa |
| GenBank蛋白编号 | BC093821 |
| 基因名称 | SLC28A3 |
| Gene ID (NCBI) | 64078 |
| RRID | AB_3085558 |
| 偶联类型 | Unconjugated |
| 形式 | Liquid |
| 纯化方式 | Antigen affinity purification |
| UNIPROT ID | Q9HAS3 |
| 储存缓冲液 | PBS with 0.02% sodium azide and 50% glycerol, pH 7.3. |
| 储存条件 | Store at -20°C. Stable for one year after shipment. Aliquoting is unnecessary for -20oC storage. |
背景介绍
SLC28A3 (Solute carrier family 28 member 3), also named CNT3, has sodium-dependent, pyrimidine- and purine-selective (PMID: 11032837, PMID: 15861042, PMID: 16446384, PMID: 17140564, PMID: 21998139). It is involved in the homeostasis of endogenous nucleosides (PMID: 11032837, PMID: 15861042). SLC28A3 is able to transports uridine, gemcitabine, 3'-azido-3'-deoxythymidine (AZT), ribavirin and 3-deazauridine (PMID: 21795683, PMID: 11032837, PMID: 17140564). SLC28A3, the human concentrative nucleoside transporter, plays a role in mediating the cellular entry of a broad array of physiological nucleosides and synthetic anticancer nucleoside analog drugs (PMID: 15738947). Variants in SLC28A3 and UGT1A6 act as genetic markers predictive of anthracycline-induced cardiotoxicity (PMID: 23441093).
实验方案
| Product Specific Protocols | |
|---|---|
| IF protocol for SLC28A3 antibody 18182-1-AP | Download protocol |
| IHC protocol for SLC28A3 antibody 18182-1-AP | Download protocol |
| WB protocol for SLC28A3 antibody 18182-1-AP | Download protocol |
| Standard Protocols | |
|---|---|
| Click here to view our Standard Protocols |



