验证数据展示
经过测试的应用
| Positive WB detected in | HeLa cells, K-562 cells, MCF-7 cells |
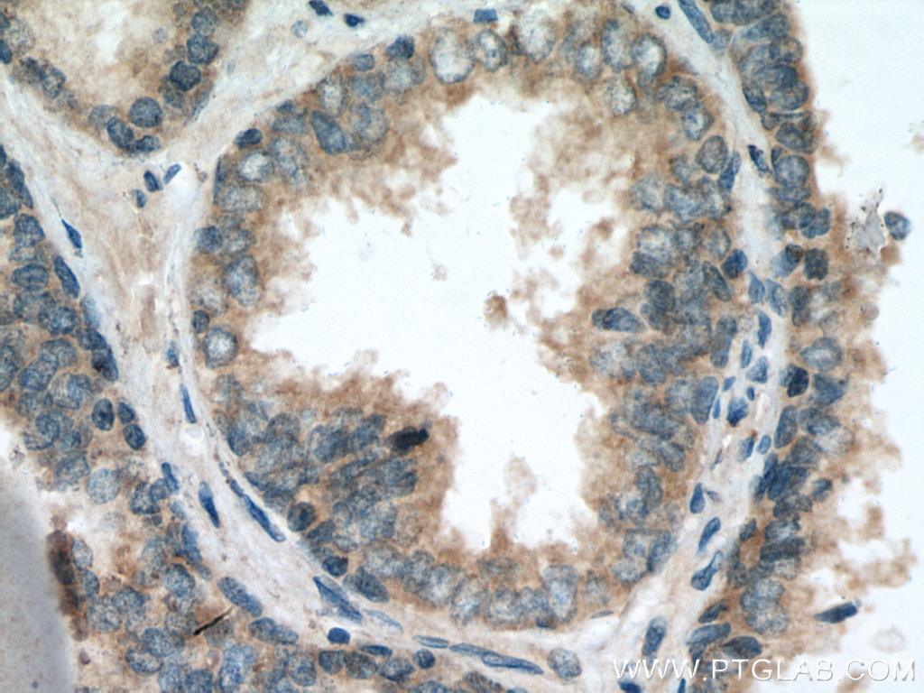
| Positive IHC detected in | human prostate cancer tissue Note: suggested antigen retrieval with TE buffer pH 9.0; (*) Alternatively, antigen retrieval may be performed with citrate buffer pH 6.0 |
推荐稀释比
| 应用 | 推荐稀释比 |
|---|---|
| Western Blot (WB) | WB : 1:500-1:2000 |
| Immunohistochemistry (IHC) | IHC : 1:200-1:800 |
| It is recommended that this reagent should be titrated in each testing system to obtain optimal results. | |
| Sample-dependent, Check data in validation data gallery. | |
发表文章中的应用
| KD/KO | See 1 publications below |
| WB | See 1 publications below |
| IHC | See 1 publications below |
产品信息
13080-1-AP targets SLC25A32 in WB, IHC, ELISA applications and shows reactivity with human samples.
| 经测试应用 | WB, IHC, ELISA Application Description |
| 文献引用应用 | WB, IHC |
| 经测试反应性 | human |
| 文献引用反应性 | human |
| 免疫原 |
CatNo: Ag3722 Product name: Recombinant human SLC25A32 protein Source: e coli.-derived, PGEX-4T Tag: GST Domain: 1-315 aa of BC021893 Sequence: MTGQGQSASGSSAWSTVFRHVRYENLIAGVSGGVLSNLALHPLDLVKIRFAVSDGLELRPKYNGILHCLTTIWKLDGLRGLYQGVTPNIWGAGLSWGLYFFFYNAIKSYKTEGRAERLEATEYLVSAAEAGAMTLCITNPLWVTKTRLMLQYDAVVNSPHRQYKGMFDTLVKIYKYEGVRGLYKGFVPGLFGTSHGALQFMAYELLKLKYNQHINRLPEAQLSTVEYISVAALSKIFAVAATYPYQVVRARLQDQHMFYSGVIDVITKTWRKEGVGGFYKGIAPNLIRVTPACCITFVVYENVSHFLLDLREKRK 种属同源性预测 |
| 宿主/亚型 | Rabbit / IgG |
| 抗体类别 | Polyclonal |
| 产品类型 | Antibody |
| 全称 | solute carrier family 25, member 32 |
| 别名 | MFT, MFTC, SLC25A32 |
| 计算分子量 | 315 aa, 35 kDa |
| 观测分子量 | 35-40 kDa |
| GenBank蛋白编号 | BC021893 |
| 基因名称 | SLC25A32 |
| Gene ID (NCBI) | 81034 |
| RRID | AB_2877913 |
| 偶联类型 | Unconjugated |
| 形式 | Liquid |
| 纯化方式 | Antigen affinity purification |
| UNIPROT ID | Q9H2D1 |
| 储存缓冲液 | PBS with 0.02% sodium azide and 50% glycerol, pH 7.3. |
| 储存条件 | Store at -20°C. Stable for one year after shipment. Aliquoting is unnecessary for -20oC storage. |
背景介绍
Solute carrier family 25 member 32 (SLC25A32) can transfer tetrahydrofolate (THF) from cellular cytoplasm to the mitochondria as a mitochondrial folate transporter (MFT). It has been reported that SLC25A32 can also transport FAD across the mitochondrial inner membrane. Chronic alcohol exposure affects mitochondrial folate uptake and may affect the transcription of the SLC25A32. And functional SLC25A32 defect is associated with the cranial neural tube defects(PMID: 21956163; 29666258)
实验方案
| Product Specific Protocols | |
|---|---|
| IHC protocol for SLC25A32 antibody 13080-1-AP | Download protocol |
| WB protocol for SLC25A32 antibody 13080-1-AP | Download protocol |
| Standard Protocols | |
|---|---|
| Click here to view our Standard Protocols |


