验证数据展示
经过测试的应用
| Positive WB detected in | unboiled mouse brain tissue |
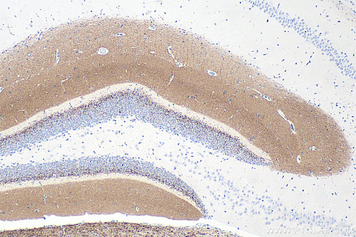
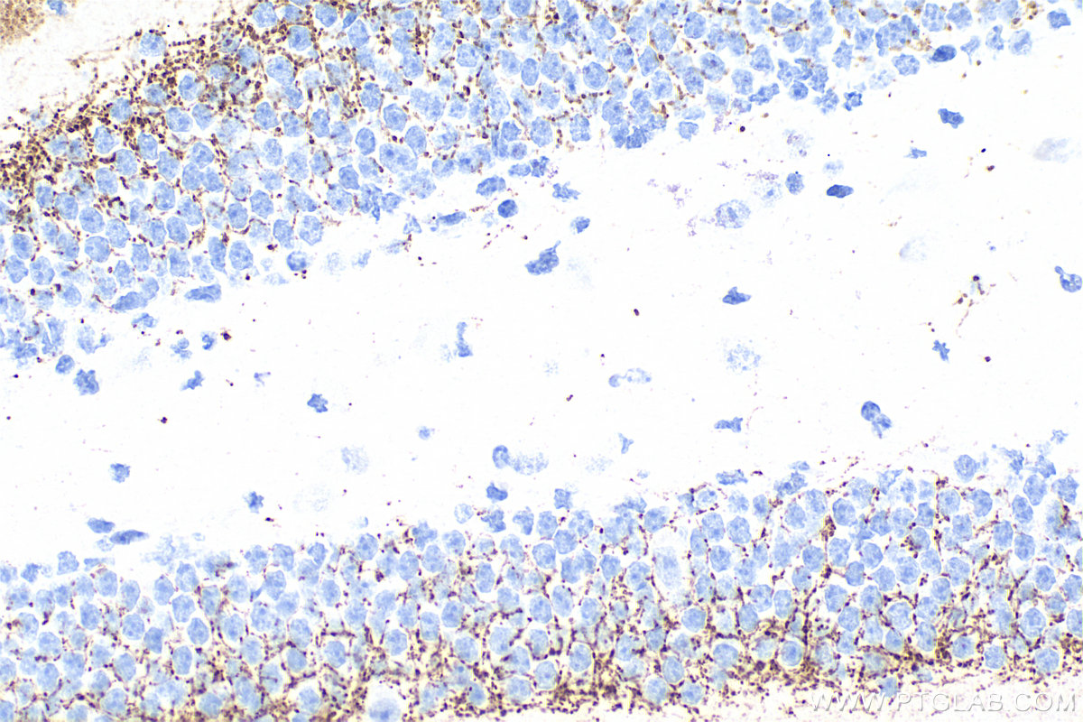
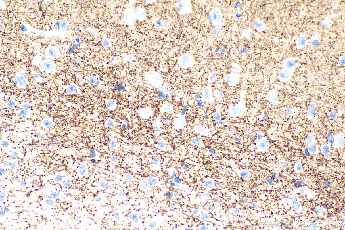
| Positive IHC detected in | mouse brain tissue Note: suggested antigen retrieval with TE buffer pH 9.0; (*) Alternatively, antigen retrieval may be performed with citrate buffer pH 6.0 |
| Positive IF-Fro detected in | mouse brain tissue |
推荐稀释比
| 应用 | 推荐稀释比 |
|---|---|
| Western Blot (WB) | WB : 1:5000-1:50000 |
| Immunohistochemistry (IHC) | IHC : 1:1000-1:4000 |
| Immunofluorescence (IF)-FRO | IF-FRO : 1:200-1:800 |
| It is recommended that this reagent should be titrated in each testing system to obtain optimal results. | |
| Sample-dependent, Check data in validation data gallery. | |
产品信息
84083-2-RR targets VGLUT2 in WB, IHC, IF-Fro, ELISA applications and shows reactivity with human, mouse samples.
| 经测试应用 | WB, IHC, IF-Fro, ELISA Application Description |
| 经测试反应性 | human, mouse |
| 免疫原 |
CatNo: Ag29565 Product name: Recombinant human SLC17A6 protein Source: e coli.-derived, PGEX-4T Tag: GST Domain: 499-582 aa of NM_020346 Sequence: SGEKQPWADPEETSEEKCGFIHEDELDEETGDITQNYINYGTTKSYGATTQANGGWPSGWEKKEEFVQGEVQDSHSYKDRVDYS 种属同源性预测 |
| 宿主/亚型 | Rabbit / IgG |
| 抗体类别 | Recombinant |
| 产品类型 | Antibody |
| 全称 | solute carrier family 17 (sodium-dependent inorganic phosphate cotransporter), member 6 |
| 别名 | SLC17A6, 241255B5, Differentiation-associated BNPI, Differentiation-associated Na(+)-dependent inorganic phosphate cotransporter, DNPI |
| 计算分子量 | 64 kDa |
| 观测分子量 | 60 kDa |
| GenBank蛋白编号 | NM_020346 |
| 基因名称 | VGLUT2 |
| Gene ID (NCBI) | 57084 |
| RRID | AB_3671651 |
| 偶联类型 | Unconjugated |
| 形式 | Liquid |
| 纯化方式 | Protein A purification |
| UNIPROT ID | Q9P2U8 |
| 储存缓冲液 | PBS with 0.02% sodium azide and 50% glycerol, pH 7.3. |
| 储存条件 | Store at -20°C. Stable for one year after shipment. Aliquoting is unnecessary for -20oC storage. |
背景介绍
VGLUT2, also known as SLC17A6, belongs to the major facilitator superfamily. VGLUT2 is a multifunctional transporter that transports phosphate at the plasma membrane and glutamate in synaptic vesicles (PMID:33440152, 11432869). VGLUT2 is involved in neurotransmitter loading into synaptic vesicles (PMID: 11698620). VGLUT2 is predominantly expressed in adult and fetal brain, with highest expression in the medulla, substantia nigra, subthalamic nucleus, and thalamus, and low levels in the cerebellum and hippocampus (PMID:10820226).
实验方案
| Product Specific Protocols | |
|---|---|
| IF protocol for VGLUT2 antibody 84083-2-RR | Download protocol |
| IHC protocol for VGLUT2 antibody 84083-2-RR | Download protocol |
| WB protocol for VGLUT2 antibody 84083-2-RR | Download protocol |
| Standard Protocols | |
|---|---|
| Click here to view our Standard Protocols |






