验证数据展示
经过测试的应用
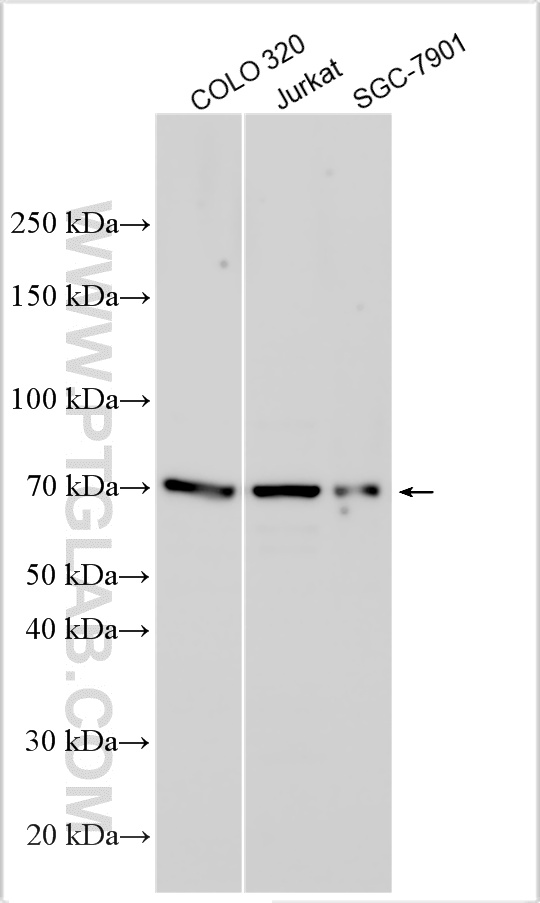
| Positive WB detected in | COLO 320 cells, Jurkat cells, SGC-7901 cells |
推荐稀释比
| 应用 | 推荐稀释比 |
|---|---|
| Western Blot (WB) | WB : 1:1000-1:8000 |
| It is recommended that this reagent should be titrated in each testing system to obtain optimal results. | |
| Sample-dependent, Check data in validation data gallery. | |
产品信息
30610-1-AP targets SIX6OS1 in WB, ELISA applications and shows reactivity with human samples.
| 经测试应用 | WB, ELISA Application Description |
| 经测试反应性 | human |
| 免疫原 |
CatNo: Ag33548 Product name: Recombinant human C14orf39 protein Source: e coli.-derived, PGEX-4T Tag: GST Domain: 200-420 aa of BC125070 Sequence: SNLTKSSSELKKEVDEMEIEINYLNQQISRHNETKALSETLEEKNKNTENRKELKERIFGKDEHVLTLNKTQSSQLFLPYESQKLVRPIKMHSSEPRVADIKEESSAKQSKLANIDFRQKENDTQIFNDSAVDNHSKCSHITTITSSQKFMQVRLLTPQKQSNSNQWSEKGDKDAEYGDKGTVRQVRESKCTSQAIYTEHFGKSIENDSDEVEERAENFPR 种属同源性预测 |
| 宿主/亚型 | Rabbit / IgG |
| 抗体类别 | Polyclonal |
| 产品类型 | Antibody |
| 全称 | chromosome 14 open reading frame 39 |
| 别名 | C14orf39, Protein SIX6OS1, Six6 opposite strand transcript 1 |
| 计算分子量 | 587 aa, 68 kDa |
| 观测分子量 | 70 kDa |
| GenBank蛋白编号 | BC125070 |
| 基因名称 | C14orf39 |
| Gene ID (NCBI) | 317761 |
| 偶联类型 | Unconjugated |
| 形式 | Liquid |
| 纯化方式 | Antigen affinity purification |
| UNIPROT ID | Q8N1H7 |
| 储存缓冲液 | PBS with 0.02% sodium azide and 50% glycerol, pH 7.3. |
| 储存条件 | Store at -20°C. Stable for one year after shipment. Aliquoting is unnecessary for -20oC storage. |
背景介绍
SIX6OS1 (SIX6 Opposite Strand 1) is a nuclear protein that plays a core role in the process of meiosis. It is a key scaffold protein that constitutes the central element of the synaptonemal complex, directly interacting with proteins such as SYCE1 to ensure the proper pairing, synapsis, and genetic recombination of homologous chromosomes. Its function is crucial for the formation of stable chiasmata, which are the basis for genetic diversity and the accurate segregation of chromosomes. Mutations in the SIX6OS1 gene can disrupt this process, leading to errors in chromosome separation and are one of the important genetic factors causing primary ovarian insufficiency in humans and non-obstructive azoospermia in males, directly associated with reproductive disorders.
实验方案
| Product Specific Protocols | |
|---|---|
| WB protocol for SIX6OS1 antibody 30610-1-AP | Download protocol |
| Standard Protocols | |
|---|---|
| Click here to view our Standard Protocols |
