验证数据展示
经过测试的应用
| Positive WB detected in | HeLa cells, HEK-293 cells, L02 cells, LNCaP cells, K-562 cells |
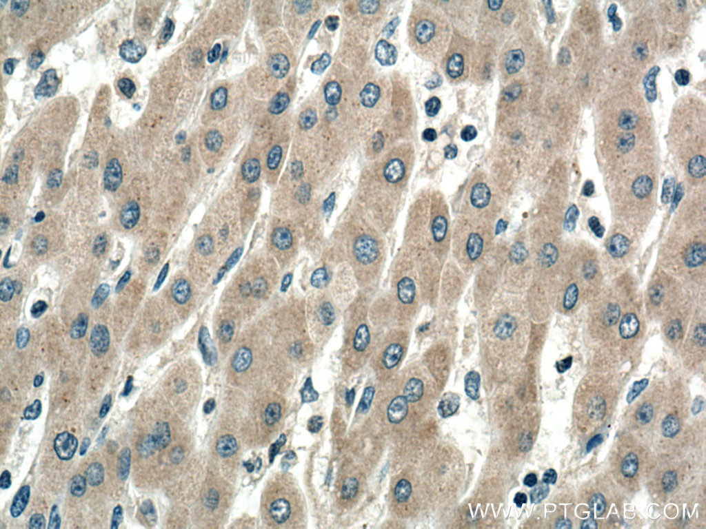
| Positive IHC detected in | human liver cancer tissue, human heart tissue Note: suggested antigen retrieval with TE buffer pH 9.0; (*) Alternatively, antigen retrieval may be performed with citrate buffer pH 6.0 |
推荐稀释比
| 应用 | 推荐稀释比 |
|---|---|
| Western Blot (WB) | WB : 1:2000-1:10000 |
| Immunohistochemistry (IHC) | IHC : 1:250-1:1000 |
| It is recommended that this reagent should be titrated in each testing system to obtain optimal results. | |
| Sample-dependent, Check data in validation data gallery. | |
产品信息
67257-1-Ig targets SIRT5 in WB, IHC, IF, IP, ELISA applications and shows reactivity with human samples.
| 经测试应用 | WB, IHC, ELISA Application Description |
| 文献引用应用 | WB, IF, IP |
| 经测试反应性 | human |
| 文献引用反应性 | human, bovine |
| 免疫原 |
CatNo: Ag7743 Product name: Recombinant human SIRT5 protein Source: e coli.-derived, PET28a Tag: 6*His Domain: 1-310 aa of BC000126 Sequence: MRPLQIVPSRLISQLYCGLKPPASTRNQICLKMARPSSSMADFRKFFAKAKHIVIISGAGVSAESGVPTFRGAGGYWRKWQAQDLATPLAFAHNPSRVWEFYHYRREVMGSKEPNAGHRAIAECETRLGKQGRRVVVITQNIDELHRKAGTKNLLEIHGSLFKTRCTSCGVVAENYKSPICPALSGKGAPEPGTQDASIPVEKLPRCEEAGCGGLLRPHVVWFGENLDPAILEEVDRELAHCDLCLVVGTSSVVYPAAMFAPQVAARGVPVAEFNTETTPATNRFRFHFQGPCGTTLPEALACHENETVS 种属同源性预测 |
| 宿主/亚型 | Mouse / IgG2b |
| 抗体类别 | Monoclonal |
| 产品类型 | Antibody |
| 全称 | sirtuin (silent mating type information regulation 2 homolog) 5 (S. cerevisiae) |
| 别名 | 1F2B2, EC:2.3.1.-, NAD-dependent protein deacylase sirtuin-5, mitochondrial, Regulatory protein SIR2 homolog 5, SIR2L5 |
| 计算分子量 | 34 kDa |
| 观测分子量 | 33 kDa |
| GenBank蛋白编号 | BC000126 |
| 基因名称 | SIRT5 |
| Gene ID (NCBI) | 23408 |
| RRID | AB_2882530 |
| 偶联类型 | Unconjugated |
| 形式 | Liquid |
| 纯化方式 | Protein A purification |
| UNIPROT ID | Q9NXA8 |
| 储存缓冲液 | PBS with 0.02% sodium azide and 50% glycerol, pH 7.3. |
| 储存条件 | Store at -20°C. Stable for one year after shipment. Aliquoting is unnecessary for -20oC storage. |
背景介绍
SIRT5, a member fo sirtuin family that is a mitochondrial matrix NAD(+)-dependent deacetylase and mono-ADP-ribosyltransferases. Sirtuins play important role in various cellular processed, such as aging, gene silencing and metabolism. SIRT5 mainly locates in . It is an efficient protein lysine desuccinylase and demalonylase. During prolonged fasting, it can activate CPS1, the committed and regulated enzyme of the urea cycle, and contribute to the regulation of blood ammonia levels.
实验方案
| Product Specific Protocols | |
|---|---|
| IHC protocol for SIRT5 antibody 67257-1-Ig | Download protocol |
| WB protocol for SIRT5 antibody 67257-1-Ig | Download protocol |
| Standard Protocols | |
|---|---|
| Click here to view our Standard Protocols |
发表文章
| Species | Application | Title |
|---|---|---|
Adv Sci (Weinh) SUCLG2 Regulates Mitochondrial Dysfunction through Succinylation in Lung Adenocarcinoma | ||
EMBO J TFAM loss induces nuclear actin assembly upon mDia2 malonylation to promote liver cancer metastasis. | ||
Inflammation Moxibustion Alleviates Inflammation via SIRT5-mediated Post-translational Modification and Macrophage Polarization | ||
Cell Signal SIRT5-mediated GLS and GDH desuccinylation attenuates the autophagy of bovine mammary epithelial cells induced by ammonia
| ||
Gynecol Endocrinol SIRT5 regulates granulosa cell proliferation and apoptosis in polycystic ovarian syndrome via desuccinylation of GLI1 | ||
Genes Dis SIRT5 promotes the osteo-inductive potential of BMP9 by stabilizing the HIF-1α protein in mouse embryonic fibroblasts |








