验证数据展示
经过测试的应用
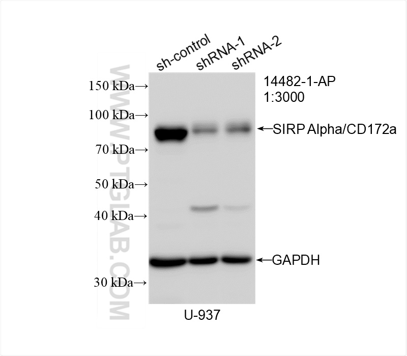
| Positive WB detected in | THP-1 cells, HL-60 cells, mouse brain tissue, PC-12 cells, U-937 cells, mouse cerebellum tissue |
| Positive IHC detected in | human tonsillitis tissue Note: suggested antigen retrieval with TE buffer pH 9.0; (*) Alternatively, antigen retrieval may be performed with citrate buffer pH 6.0 |
| Positive IF/ICC detected in | THP-1 cells |
推荐稀释比
| 应用 | 推荐稀释比 |
|---|---|
| Western Blot (WB) | WB : 1:1000-1:4000 |
| Immunohistochemistry (IHC) | IHC : 1:50-1:500 |
| Immunofluorescence (IF)/ICC | IF/ICC : 1:50-1:500 |
| It is recommended that this reagent should be titrated in each testing system to obtain optimal results. | |
| Sample-dependent, Check data in validation data gallery. | |
发表文章中的应用
| WB | See 5 publications below |
产品信息
14482-1-AP targets SIRP Alpha/CD172a in WB, IHC, IF/ICC, ELISA applications and shows reactivity with human, mouse, rat samples.
| 经测试应用 | WB, IHC, IF/ICC, ELISA Application Description |
| 文献引用应用 | WB |
| 经测试反应性 | human, mouse, rat |
| 文献引用反应性 | human, mouse |
| 免疫原 |
CatNo: Ag5865 Product name: Recombinant human SIRPA protein Source: e coli.-derived, PGEX-4T Tag: GST Domain: 158-508 aa of BC033092 Sequence: ARATPQHTVSFTCESHGFSPRDITLKWFKNGNELSDFQTNVDPVGESVSYSIHSTAKVVLTREDVHSQVICEVAHVTLQGDPLRGTANLSETIRVPPTLEVTQQPVRAENQVNVTCQVRKFYPQRLQLTWLENGNVSRTETASTVTENKDGTYNWMSWLLVNVSAHRDDVKLTCQVEHDGQPAVSKSHDLKVSAHPKEQGSNTAAENTGSNERNIYIVVGVVCTLLVALLMAALYLVRIRQKKAQGSTSSTRLHEPEKNAREITQVQSLDTNDITYADLNLPKGKKPAPQAAEPNNHTEYASIQTSPQPASEDTLTYADLDMVHLNRTPKQPAPKPEPSFSEYASVQVPRK 种属同源性预测 |
| 宿主/亚型 | Rabbit / IgG |
| 抗体类别 | Polyclonal |
| 产品类型 | Antibody |
| 全称 | signal-regulatory protein alpha |
| 别名 | SIRP Alpha, SIRPA, BIT, Brain Ig-like molecule with tyrosine-based activation motifs, CD172 antigen-like family member A |
| 计算分子量 | 55 kDa |
| 观测分子量 | 75-85 kDa |
| GenBank蛋白编号 | BC033092 |
| 基因名称 | SIRP Alpha |
| Gene ID (NCBI) | 140885 |
| RRID | AB_2188056 |
| 偶联类型 | Unconjugated |
| 形式 | Liquid |
| 纯化方式 | Antigen affinity purification |
| UNIPROT ID | P78324 |
| 储存缓冲液 | PBS with 0.02% sodium azide and 50% glycerol, pH 7.3. |
| 储存条件 | Store at -20°C. Stable for one year after shipment. Aliquoting is unnecessary for -20oC storage. |
背景介绍
SIRP Alpha, also known as CD172a, SHPS-1, and BIT, belongs to the SIRP family. SIRP Alpha is a transmembrane glycoprotein expressed explicitly on myeloid cells and provides a "do not eat me" signal after engaging with integrin-associated protein CD47 on tumor cells (PMID: 36419386). SIRP Alpha shows heterogeneity in molecular weight (~65-120 kDa) in various tissues due to differential glycosylation (PMID: 18051954). This antibody detects a 75-85 kDa band.
实验方案
| Product Specific Protocols | |
|---|---|
| IF protocol for SIRP Alpha/CD172a antibody 14482-1-AP | Download protocol |
| IHC protocol for SIRP Alpha/CD172a antibody 14482-1-AP | Download protocol |
| WB protocol for SIRP Alpha/CD172a antibody 14482-1-AP | Download protocol |
| Standard Protocols | |
|---|---|
| Click here to view our Standard Protocols |
发表文章
| Species | Application | Title |
|---|---|---|
Cell Prolif Mitochondrial DNA mediates immunoparalysis of dendritic cells in sepsis via STING signalling | ||
Acta Biochim Biophys Sin (Shanghai) Clostridium butyricum regulates visceral hypersensitivity of irritable bowel syndrome by inhibiting colonic mucous low grade inflammation through its action on NLRP6. | ||
J Obstet Gynaecol Res Eutopic endometrium from patients with endometriosis modulates the expression of CD36 and SIRP-α in peritoneal macrophages. | ||
Biomedicines Exosomes from the Uterine Cavity Mediate Immune Dysregulation via Inhibiting the JNK Signal Pathway in Endometriosis | ||
Alzheimers Dement Gut-derived bacterial vesicles carrying lipopolysaccharide promote microglia-mediated synaptic pruning |






