验证数据展示
经过测试的应用
| Positive WB detected in | K-562 cells, A549 cells, HEK-293T cells |
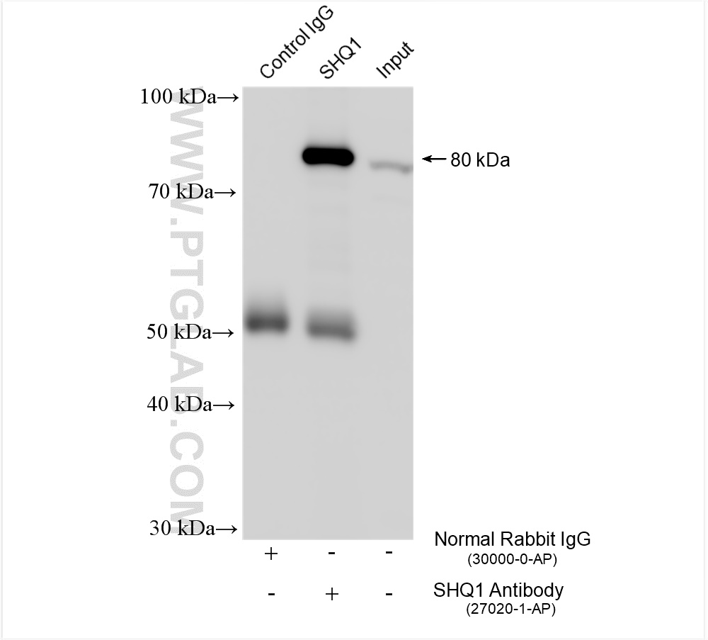
| Positive IP detected in | K-562 cells |
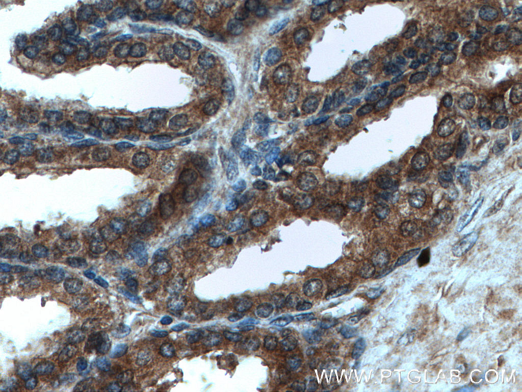
| Positive IHC detected in | human colon cancer tissue, human prostate hyperplasia tissue Note: suggested antigen retrieval with TE buffer pH 9.0; (*) Alternatively, antigen retrieval may be performed with citrate buffer pH 6.0 |
| Positive IF/ICC detected in | A431 cells |
推荐稀释比
| 应用 | 推荐稀释比 |
|---|---|
| Western Blot (WB) | WB : 1:1000-1:4000 |
| Immunoprecipitation (IP) | IP : 0.5-4.0 ug for 1.0-3.0 mg of total protein lysate |
| Immunohistochemistry (IHC) | IHC : 1:50-1:500 |
| Immunofluorescence (IF)/ICC | IF/ICC : 1:50-1:500 |
| It is recommended that this reagent should be titrated in each testing system to obtain optimal results. | |
| Sample-dependent, Check data in validation data gallery. | |
产品信息
27020-1-AP targets SHQ1 in WB, IHC, IF/ICC, IP, CoIP, ELISA applications and shows reactivity with human samples.
| 经测试应用 | WB, IHC, IF/ICC, IP, ELISA Application Description |
| 文献引用应用 | WB, IP, CoIP |
| 经测试反应性 | human |
| 文献引用反应性 | human, mouse |
| 免疫原 |
CatNo: Ag25559 Product name: Recombinant human SHQ1 protein Source: e coli.-derived, PET28a Tag: 6*His Domain: 1-214 aa of BC017274 Sequence: MLTPAFDLSQDPDFLTIAIRVPYARVSEFDVYFEGSDFKFYAKPYFLRLTLPGRIVENGSEQGSYDADKGIFTIRLPKETPGQHFEGLNMLTALLAPRKSRTAKPLVEEIGASEIPEEVVDDEEFDWEIEQTPCEEVSESALNPQCHYGFGNLRSGVLQRLQDELSDVIDIKDPDFTPAAERRQKRLAAELAKFDPDHYLADFFEDEAIEQILK 种属同源性预测 |
| 宿主/亚型 | Rabbit / IgG |
| 抗体类别 | Polyclonal |
| 产品类型 | Antibody |
| 全称 | SHQ1 homolog (S. cerevisiae) |
| 别名 | Protein SHQ1 homolog, SHQ1, SHQ1 homolog (S. cerevisiae) |
| 计算分子量 | 593 aa, 67 kDa |
| 观测分子量 | 70 kDa~80 kDa |
| GenBank蛋白编号 | BC017274 |
| 基因名称 | SHQ1 |
| Gene ID (NCBI) | 55164 |
| RRID | AB_2880725 |
| 偶联类型 | Unconjugated |
| 形式 | Liquid |
| 纯化方式 | Antigen affinity purification |
| UNIPROT ID | Q6PI26 |
| 储存缓冲液 | PBS with 0.02% sodium azide and 50% glycerol, pH 7.3. |
| 储存条件 | Store at -20°C. Stable for one year after shipment. Aliquoting is unnecessary for -20oC storage. |
实验方案
| Product Specific Protocols | |
|---|---|
| WB protocol for SHQ1 antibody 27020-1-AP | Download protocol |
| IHC protocol for SHQ1 antibody 27020-1-AP | Download protocol |
| IF protocol for SHQ1 antibody 27020-1-AP | Download protocol |
| IP protocol for SHQ1 antibody 27020-1-AP | Download protocol |
| Standard Protocols | |
|---|---|
| Click here to view our Standard Protocols |
发表文章
| Species | Application | Title |
|---|---|---|
Hum Mol Genet The C-terminal extension of dyskerin is a dyskeratosis congenita mutational hotspot that modulates interaction with telomerase RNA and subcellular localization | ||
Exp Neurol Pathogenic SHQ1 variants result in disruptions to neuronal development and the dopaminergic pathway
|






