验证数据展示
经过测试的应用
| Positive WB detected in | mouse kidney tissue, A549 cells, 37°C incubated mouse kidney, rat kidney tissue |
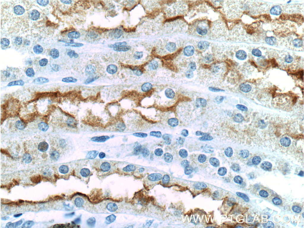
| Positive IHC detected in | human kidney tissue, rat kidney tissue Note: suggested antigen retrieval with TE buffer pH 9.0; (*) Alternatively, antigen retrieval may be performed with citrate buffer pH 6.0 |
| Positive IF-P detected in | mouse kidney tissue |
推荐稀释比
| 应用 | 推荐稀释比 |
|---|---|
| Western Blot (WB) | WB : 1:500-1:3000 |
| Immunohistochemistry (IHC) | IHC : 1:200-1:800 |
| Immunofluorescence (IF)-P | IF-P : 1:50-1:500 |
| It is recommended that this reagent should be titrated in each testing system to obtain optimal results. | |
| Sample-dependent, Check data in validation data gallery. | |
产品信息
24654-1-AP targets SGLT2 in WB, IHC, IF-P, IP, CoIP, ELISA applications and shows reactivity with human, mouse, rat samples.
| 经测试应用 | WB, IHC, IF-P, ELISA Application Description |
| 文献引用应用 | WB, IHC, IF, IP, CoIP |
| 经测试反应性 | human, mouse, rat |
| 文献引用反应性 | human, mouse, rat |
| 免疫原 |
CatNo: Ag19163 Product name: Recombinant human SLC5A2 protein Source: e coli.-derived, PGEX-4T Tag: GST Domain: 180-311 aa of BC131542 Sequence: ALLGITMIYTVTGGLAALMYTDTVQTFVILGGACILMGYAFHEVGGYSGLFDKYLGAATSLTVSEDPAVGNISSFCYRPRPDSYHLLRHPVTGDLPWPALLLGLTIVSGWYWCSDQVIVQRCLAGKSLTHIK 种属同源性预测 |
| 宿主/亚型 | Rabbit / IgG |
| 抗体类别 | Polyclonal |
| 产品类型 | Antibody |
| 全称 | solute carrier family 5 (sodium/glucose cotransporter), member 2 |
| 别名 | SLC5A2, Na(+)/glucose cotransporter 2, Low affinity sodium-glucose cotransporter |
| 计算分子量 | 672 aa, 73 kDa |
| 观测分子量 | 69-70 kDa |
| GenBank蛋白编号 | BC131542 |
| 基因名称 | SGLT2 |
| Gene ID (NCBI) | 6524 |
| RRID | AB_2750601 |
| 偶联类型 | Unconjugated |
| 形式 | Liquid |
| 纯化方式 | Antigen affinity purification |
| UNIPROT ID | P31639 |
| 储存缓冲液 | PBS with 0.02% sodium azide and 50% glycerol, pH 7.3. |
| 储存条件 | Store at -20°C. Stable for one year after shipment. Aliquoting is unnecessary for -20oC storage. |
背景介绍
Sodium-glucose cotransporter 2 (SGLT2), encoded by SLC5A2, utilizes the electrochemical sodium gradient to transport glucose against the cell's internal concentration gradient. Mainly expressed on brush border membrane (BBM) of epithelial cells in the early segment of the proximal tubule, SGLT2 mediates most of the glucose reabsorption by the kidney overall. Inhibition of SGLT2 could improve glucose homeostasis of diabetic patients, which has been considered as a novel strategy for diabetes treatment.
实验方案
| Product Specific Protocols | |
|---|---|
| IF protocol for SGLT2 antibody 24654-1-AP | Download protocol |
| IHC protocol for SGLT2 antibody 24654-1-AP | Download protocol |
| WB protocol for SGLT2 antibody 24654-1-AP | Download protocol |
| Standard Protocols | |
|---|---|
| Click here to view our Standard Protocols |
发表文章
| Species | Application | Title |
|---|---|---|
Circulation Sodium Glucose Cotransporter-2 Inhibitor Empagliflozin Reduces Infarct Size Independently of Sodium Glucose Cotransporter-2 | ||
Cancer Lett SGLT2 promotes pancreatic cancer progression by activating the Hippo signaling pathway via the hnRNPK-YAP1 axis. | ||
Mol Metab Sodium-glucose co-transporter2 expression and inflammatory activity in diabetic atherosclerotic plaques: Effects of sodium-glucose co-transporter2 inhibitor treatment.
| ||
Int J Mol Sci Redefining the Role of ADAM17 in Renal Proximal Tubular Cells and Its Implications in an Obese Mouse Model of Pre-Diabetes. | ||
Metabolism Sodium-glucose cotransporter 2 inhibition attenuates protein overload in renal proximal tubule via suppression of megalin O-GlcNacylation in progressive diabetic nephropathy. | ||
Front Pharmacol Empagliflozin Alleviates Hepatic Steatosis by Activating the AMPK-TET2-Autophagy Pathway in vivo and in vitro. |










