验证数据展示
经过测试的应用
| Positive WB detected in | human lung tissue, A549 cells |
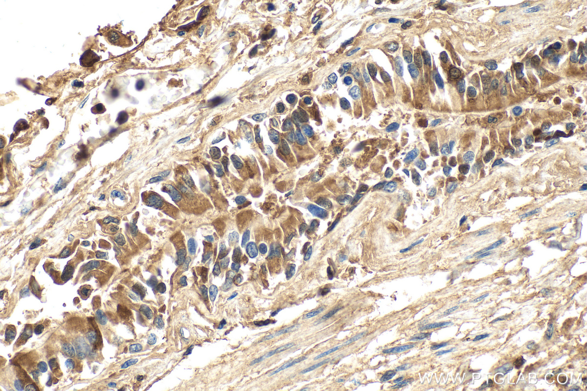
| Positive IHC detected in | human lung cancer tissue, human lung tissue Note: suggested antigen retrieval with TE buffer pH 9.0; (*) Alternatively, antigen retrieval may be performed with citrate buffer pH 6.0 |
推荐稀释比
| 应用 | 推荐稀释比 |
|---|---|
| Western Blot (WB) | WB : 1:500-1:2000 |
| Immunohistochemistry (IHC) | IHC : 1:200-1:800 |
| It is recommended that this reagent should be titrated in each testing system to obtain optimal results. | |
| Sample-dependent, Check data in validation data gallery. | |
产品信息
13664-1-AP targets SFTPB in WB, IHC, IF, ELISA applications and shows reactivity with human samples.
| 经测试应用 | WB, IHC, ELISA Application Description |
| 文献引用应用 | WB, IHC, IF |
| 经测试反应性 | human |
| 文献引用反应性 | human, mouse |
| 免疫原 |
CatNo: Ag4576 Product name: Recombinant human SFTPB protein Source: e coli.-derived, PGEX-4T Tag: GST Domain: 1-381 aa of BC032785 Sequence: MAESHLLQWLLLLLPTLCGPGTAAWTTSSLACAQGPEFWCQSLEQALQCRALGHCLQEVWGHVGADDLCQECEDIVHILNKMAKEAIFQDTMRKFLEQECNVLPLKLLMPQCNQVLDDYFPLVIDYFQNQTDSNGICMHLGLCKSRQPEPEQEPGMSDPLPKPLRDPLPDPLLDKLVLPVLPGALQARPGPHTQDLSEQQFPIPLPYCWLCRALIKRIQAMIPKGALAVAVAQVCRVVPLVAGGICQCLAERYSVILLDTLLGRMLPQLVCRLVLRCSMDDSAGPRSPTGEWLPRDSECHLCMSVTTQAGNSSEQAIPQAMLQACVGSWLDREKCKQFVEQHTPQLLTLVPRGWDAHTTCQALGVCGTMSSPLQCIHSPDL 种属同源性预测 |
| 宿主/亚型 | Rabbit / IgG |
| 抗体类别 | Polyclonal |
| 产品类型 | Antibody |
| 全称 | surfactant protein B |
| 别名 | SP-B, Pulmonary surfactant-associated proteolipid SPL(Phe), Pulmonary surfactant-associated protein B, 6 kDa protein, 18 kDa pulmonary-surfactant protein |
| 计算分子量 | 381 aa, 42 kDa |
| 观测分子量 | 43 kDa |
| GenBank蛋白编号 | BC032785 |
| 基因名称 | SFTPB |
| Gene ID (NCBI) | 6439 |
| RRID | AB_2185487 |
| 偶联类型 | Unconjugated |
| 形式 | Liquid |
| 纯化方式 | Antigen affinity purification |
| UNIPROT ID | P07988 |
| 储存缓冲液 | PBS with 0.02% sodium azide and 50% glycerol, pH 7.3. |
| 储存条件 | Store at -20°C. Stable for one year after shipment. Aliquoting is unnecessary for -20oC storage. |
背景介绍
Pulmonary surfactant-associated protein B(SFTPB) also named SFTP3, is a hydrophobic peptide that facilitates the formation and maintenance of a phospholipid-rich film at the alveolar air-liquid interface. SP-B is necessary for postnatal lung function. SFTPB as a risk biomarker for lung cancer. (PMID:36460583).
实验方案
| Product Specific Protocols | |
|---|---|
| IHC protocol for SFTPB antibody 13664-1-AP | Download protocol |
| WB protocol for SFTPB antibody 13664-1-AP | Download protocol |
| Standard Protocols | |
|---|---|
| Click here to view our Standard Protocols |
发表文章
| Species | Application | Title |
|---|---|---|
Exp Hematol Oncol Downregulation of pro-surfactant protein B contributes to the recurrence of early-stage non-small cell lung cancer by activating PGK1-mediated Akt signaling
| ||
Int J Mol Sci Kub3 Deficiency Causes Aberrant Late Embryonic Lung Development in Mice by the FGF Signaling Pathway. | ||
Lab Invest Liquid Biopsy in Lung Cancer: Nano-Flow Cytometry Detection of Non-Small Cell Lung Cancer in Blood | ||
Environ Toxicol Silica nanoparticle exposure inhibits surfactant protein A and B in A549 cells through ROS-mediated JNK/c-Jun signaling pathway. | ||
Heliyon Therapeutic and prognostic effect of disulfidptosis-related genes in lung adenocarcinoma | ||
Int Immunopharmacol The impact of POSTN on tumor cell behavior and the tumor microenvironment in lung adenocarcinoma |





