验证数据展示
经过测试的应用
| Positive WB detected in | NCI-H1299 cells, mouse pancreas tissue, mouse adipose tissue, rat liver tissue |
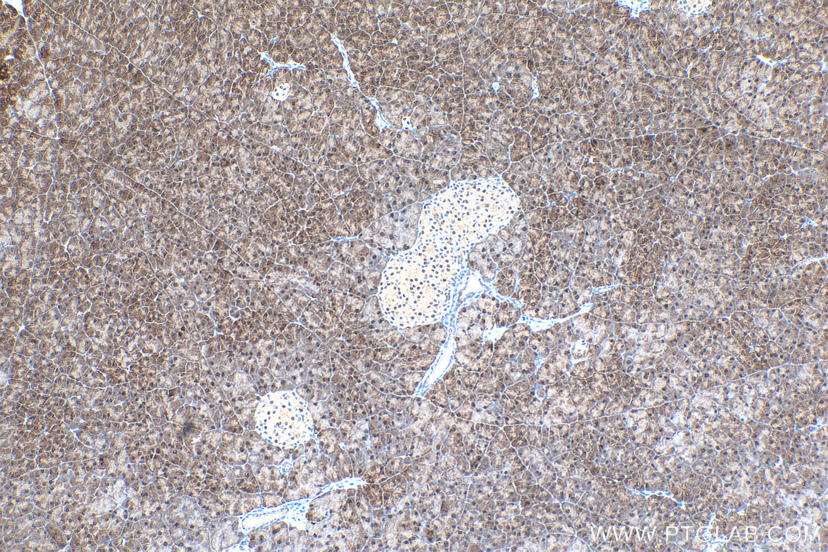
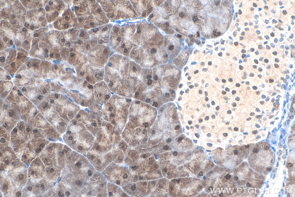
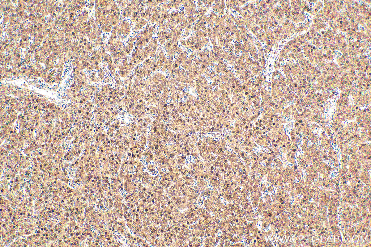
| Positive IHC detected in | mouse pancreas tissue, human breast cancer tissue, human liver cancer tissue Note: suggested antigen retrieval with TE buffer pH 9.0; (*) Alternatively, antigen retrieval may be performed with citrate buffer pH 6.0 |
推荐稀释比
| 应用 | 推荐稀释比 |
|---|---|
| Western Blot (WB) | WB : 1:1000-1:4000 |
| Immunohistochemistry (IHC) | IHC : 1:750-1:3000 |
| It is recommended that this reagent should be titrated in each testing system to obtain optimal results. | |
| Sample-dependent, Check data in validation data gallery. | |
发表文章中的应用
| KD/KO | See 1 publications below |
| WB | See 7 publications below |
| IHC | See 1 publications below |
产品信息
14109-1-AP targets SEPHS2 in WB, IHC, ELISA applications and shows reactivity with human, mouse, rat samples.
| 经测试应用 | WB, IHC, ELISA Application Description |
| 文献引用应用 | WB, IHC |
| 经测试反应性 | human, mouse, rat |
| 文献引用反应性 | human, mouse |
| 免疫原 |
CatNo: Ag5255 Product name: Recombinant human SEPHS2 protein Source: e coli.-derived, PGEX-4T Tag: GST Domain: 118-448 aa of BC016643 Sequence: GMDSCVIPLRHGGLSLVQTTDFFYPLVEDPYMMGRIACANVLSDLYAMGITECDNMLMLLSVSQSMSEEEREKVTPLMVKGFRDAAEEGGTAVTGGQTVVNPWIIIGGVATVVCQPNEFIMPDSAVVGDVLVLTKPLGTQVAVNAHQWLDNPERWNKVKMVVSREEVELAYQEAMFNMATLNRTAAGLMHTFNAHAATDITGFGILGHSQNLAKQQRNEVSFVIHNLPIIAKMAAVSKASGRFGLLQGTSAETSGGLLICLPREQAARFCSEIKSSKYGEGHQAWIVGIVEKGNRTARIIDKPRVIEVLPRGATAAVLAPDSSNASSEPSS 种属同源性预测 |
| 宿主/亚型 | Rabbit / IgG |
| 抗体类别 | Polyclonal |
| 产品类型 | Antibody |
| 全称 | selenophosphate synthetase 2 |
| 别名 | EC:2.7.9.3, Selenide, water dikinase 2, Selenium donor protein 2, Selenophosphate synthase 2, selenophosphate synthetase 2 |
| 计算分子量 | 47 kDa |
| 观测分子量 | 47-50 kDa |
| GenBank蛋白编号 | BC016643 |
| 基因名称 | SEPHS2 |
| Gene ID (NCBI) | 22928 |
| RRID | AB_2878014 |
| 偶联类型 | Unconjugated |
| 形式 | Liquid |
| 纯化方式 | Antigen affinity purification |
| UNIPROT ID | Q99611 |
| 储存缓冲液 | PBS with 0.02% sodium azide and 50% glycerol, pH 7.3. |
| 储存条件 | Store at -20°C. Stable for one year after shipment. Aliquoting is unnecessary for -20oC storage. |
背景介绍
SEPHS2 (Selenophosphate synthetase 2), a selenophosphate synthetase, catalyzes the conversion of selenite and adenosine triphosphate (ATP) into selenophosphate. SEPHS2 is the rate-limiting enzyme that converts selenite to selenocysteine, a key substance in the synthesis of many selenium proteins such as glutathione peroxidase, thioredoxin reductase, and formate dehydrogenase (PMID: 40750759, 31695102).
实验方案
| Product Specific Protocols | |
|---|---|
| IHC protocol for SEPHS2 antibody 14109-1-AP | Download protocol |
| WB protocol for SEPHS2 antibody 14109-1-AP | Download protocol |
| Standard Protocols | |
|---|---|
| Click here to view our Standard Protocols |
发表文章
| Species | Application | Title |
|---|---|---|
Mol Cell PRDX6 dictates ferroptosis sensitivity by directing cellular selenium utilization | ||
Biomaterials H2Se-evolving bio-heterojunctions promote cutaneous regeneration in infected wounds by inhibiting excessive cellular senescence | ||
Redox Biol Macrophages and macrophage extracellular vesicles confer cancer ferroptosis resistance via PRDX6-mediated mitophagy inhibition | ||
EMBO Mol Med Breast cancer secretes anti-ferroptotic MUFAs and depends on selenoprotein synthesis for metastasis | ||
Front Med (Lausanne) A glycometabolic gene signature associating with immune infiltration and chemosensitivity and predicting the prognosis of patients with osteosarcoma | ||
Nat Struct Mol Biol PRDX6 augments selenium utilization to limit iron toxicity and ferroptosis |







