验证数据展示
经过测试的应用
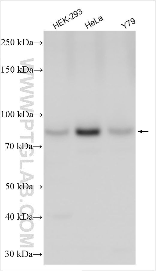
| Positive WB detected in | HEK-293 cells, Y79 cells, HeLa cells |
| Positive IP detected in | HEK-293 cells |
| Positive IF/ICC detected in | A431 cells |
推荐稀释比
| 应用 | 推荐稀释比 |
|---|---|
| Western Blot (WB) | WB : 1:500-1:2000 |
| Immunoprecipitation (IP) | IP : 0.5-4.0 ug for 1.0-3.0 mg of total protein lysate |
| Immunofluorescence (IF)/ICC | IF/ICC : 1:200-1:800 |
| It is recommended that this reagent should be titrated in each testing system to obtain optimal results. | |
| Sample-dependent, Check data in validation data gallery. | |
发表文章中的应用
| KD/KO | See 1 publications below |
| WB | See 2 publications below |
产品信息
25541-1-AP targets SEC14L1 in WB, IF/ICC, IP, ELISA applications and shows reactivity with human samples.
| 经测试应用 | WB, IF/ICC, IP, ELISA Application Description |
| 文献引用应用 | WB |
| 经测试反应性 | human |
| 文献引用反应性 | human |
| 免疫原 |
CatNo: Ag22233 Product name: Recombinant human SEC14L1 protein Source: e coli.-derived, PGEX-4T Tag: GST Domain: 149-233 aa of BC142979 Sequence: MKQYTSNIKKGKEIIEYYLRQLEEEGITFVPRWSPPSITPSSETSSSSSKKQAASMAVVIPEAALKEGLSGDALSSPSAPEPVVG 种属同源性预测 |
| 宿主/亚型 | Rabbit / IgG |
| 抗体类别 | Polyclonal |
| 产品类型 | Antibody |
| 全称 | SEC14-like 1 (S. cerevisiae) |
| 别名 | SEC14-like protein 1, SEC14L |
| 计算分子量 | 719 aa, 82 kDa |
| 观测分子量 | 81 kDa, 77 kDa |
| GenBank蛋白编号 | BC142979 |
| 基因名称 | SEC14L1 |
| Gene ID (NCBI) | 6397 |
| RRID | AB_2880125 |
| 偶联类型 | Unconjugated |
| 形式 | Liquid |
| 纯化方式 | Antigen affinity purification |
| UNIPROT ID | Q92503 |
| 储存缓冲液 | PBS with 0.02% sodium azide and 50% glycerol, pH 7.3. |
| 储存条件 | Store at -20°C. Stable for one year after shipment. Aliquoting is unnecessary for -20oC storage. |
背景介绍
SEC14L1 (SEC14-like protein 1) is a member of SEC14 family in mammals with the potential to control local phospholipid content in membranes. SEC14L1 may act as a phospholipid transfer protein. It has also been reported that SEC14L1 functions as a novel negative regulator of RIG-I-mediated antiviral signaling and is involved in innate immunity (PMID: 17092608; 23843640). SEC14L1 has three isoforms with the molecular mass of 81.2kDa, 81.8kDa and 77.1kDa.
实验方案
| Product Specific Protocols | |
|---|---|
| IF protocol for SEC14L1 antibody 25541-1-AP | Download protocol |
| IP protocol for SEC14L1 antibody 25541-1-AP | Download protocol |
| WB protocol for SEC14L1 antibody 25541-1-AP | Download protocol |
| Standard Protocols | |
|---|---|
| Click here to view our Standard Protocols |
发表文章
| Species | Application | Title |
|---|---|---|
Mol Cell mTORC1-CTLH E3 ligase regulates the degradation of HMG-CoA synthase 1 through the Pro/N-degron pathway |




