验证数据展示
经过测试的应用
| Positive WB detected in | Daudi cells, HEK-293 cells, Neuro-2a cells, Raji cells, human testis tissue, SH-SY5Y cells, mouse brain tissue, rat brain tissue |
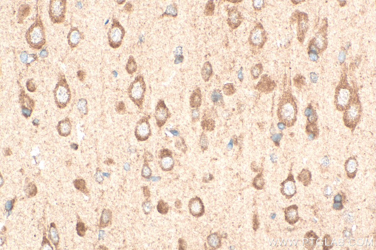
| Positive IHC detected in | rat brain tissue Note: suggested antigen retrieval with TE buffer pH 9.0; (*) Alternatively, antigen retrieval may be performed with citrate buffer pH 6.0 |
| Positive IF/ICC detected in | SH-SY5Y cells |
| Positive FC (Intra) detected in | SH-SY5Y cells |
推荐稀释比
| 应用 | 推荐稀释比 |
|---|---|
| Western Blot (WB) | WB : 1:500-1:3000 |
| Immunohistochemistry (IHC) | IHC : 1:200-1:800 |
| Immunofluorescence (IF)/ICC | IF/ICC : 1:200-1:800 |
| Flow Cytometry (FC) (INTRA) | FC (INTRA) : 0.25 ug per 10^6 cells in a 100 µl suspension |
| It is recommended that this reagent should be titrated in each testing system to obtain optimal results. | |
| Sample-dependent, Check data in validation data gallery. | |
发表文章中的应用
| WB | See 2 publications below |
| IF | See 1 publications below |
产品信息
28625-1-AP targets SARM1 in WB, IHC, IF/ICC, FC (Intra), ELISA applications and shows reactivity with human, mouse, rat samples.
| 经测试应用 | WB, IHC, IF/ICC, FC (Intra), ELISA Application Description |
| 文献引用应用 | WB, IF |
| 经测试反应性 | human, mouse, rat |
| 文献引用反应性 | mouse |
| 免疫原 |
CatNo: Ag29531 Product name: Recombinant human SARM1 protein Source: e coli.-derived, PGEX-4T Tag: GST Domain: 352-573 aa of NM_015077 Sequence: EAAIKSLQGKTKVFSDIGAIQSLKRLVSYSTNGTKSALAKRALRLLGEEVPRPILPSVPSWKEAEVQTWLQQIGFSKYCESFREQQVDGDLLLRLTEEELQTDLGMKSGITRKRFFRELTELKTFANYSTCDRSNLADWLGSLDPRFRQYTYGLVSCGLDRSLLHRVSEQQLLEDCGIHLGVHRARILTAAREMLHSPLPCTGGKPSGDTPDVFISYRRNSG 种属同源性预测 |
| 宿主/亚型 | Rabbit / IgG |
| 抗体类别 | Polyclonal |
| 产品类型 | Antibody |
| 全称 | sterile alpha and TIR motif containing 1 |
| 别名 | EC:3.2.2.-, EC:3.2.2.6, FLJ36296, hSARM1, HsTIR |
| 计算分子量 | 79 kDa |
| 观测分子量 | 70-80 kDa |
| GenBank蛋白编号 | NM_015077 |
| 基因名称 | SARM1 |
| Gene ID (NCBI) | 23098 |
| RRID | AB_3086070 |
| 偶联类型 | Unconjugated |
| 形式 | Liquid |
| 纯化方式 | Antigen affinity purification |
| UNIPROT ID | Q6SZW1 |
| 储存缓冲液 | PBS with 0.02% sodium azide and 50% glycerol, pH 7.3. |
| 储存条件 | Store at -20°C. Stable for one year after shipment. Aliquoting is unnecessary for -20oC storage. |
背景介绍
SARM1 (sterile alpha and Toll/interleukin-1 receptor motif-containing 1) is also named as KIAA0524, SAMD2 and SARM. SARM1 is the major pro-degenerative protein in axons (PMID: 32152523). SARM1 is the central executioner of pathological axon degeneration and is an inducible NAD+-cleavage enzyme that is activated by the loss of the NAD+ biosynthetic enzyme NMNAT2 (PMID: 33657413). SARM1 is involved in innate immune response: inhibits both TICAM1/TRIF- and MYD88-dependent activation of JUN/AP-1, TRIF-dependent activation of NF-kappa-B and IRF3, and the phosphorylation of MAPK14/p38 (PMID: 16964262).
实验方案
| Product Specific Protocols | |
|---|---|
| IF protocol for SARM1 antibody 28625-1-AP | Download protocol |
| IHC protocol for SARM1 antibody 28625-1-AP | Download protocol |
| WB protocol for SARM1 antibody 28625-1-AP | Download protocol |
| Standard Protocols | |
|---|---|
| Click here to view our Standard Protocols |
发表文章
| Species | Application | Title |
|---|---|---|
Neurosci Res SARM1 is essential for NMDA receptor-dependent endocytosis of AMPA receptors in hippocampal neurons | ||
J Ethnopharmacol Combined analysis of network pharmacology and transcriptomics deciphers the pharmacological mechanism of Huangqi Guizhi Wuwu decoction attenuates Oxaliplatin-induced peripheral neuropathy via regulating Sirt1 | ||






