验证数据展示
经过测试的应用
| Positive WB detected in | mouse skeletal muscle tissue, mouse heart tissue | 
| Positive IP detected in | mouse skeletal muscle tissue | 
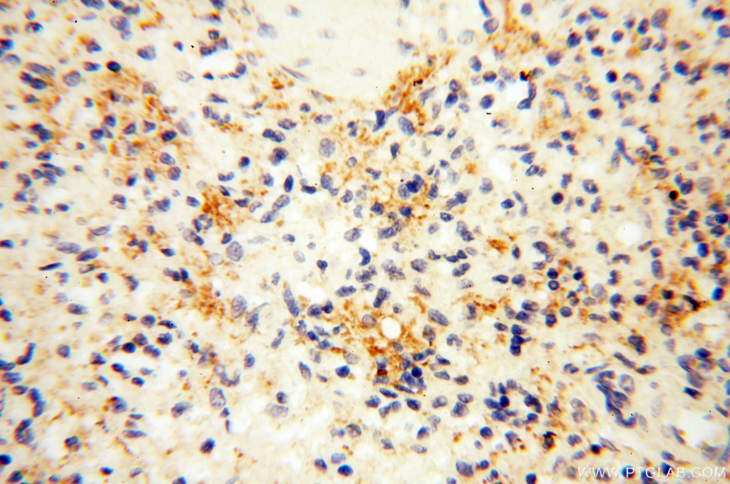
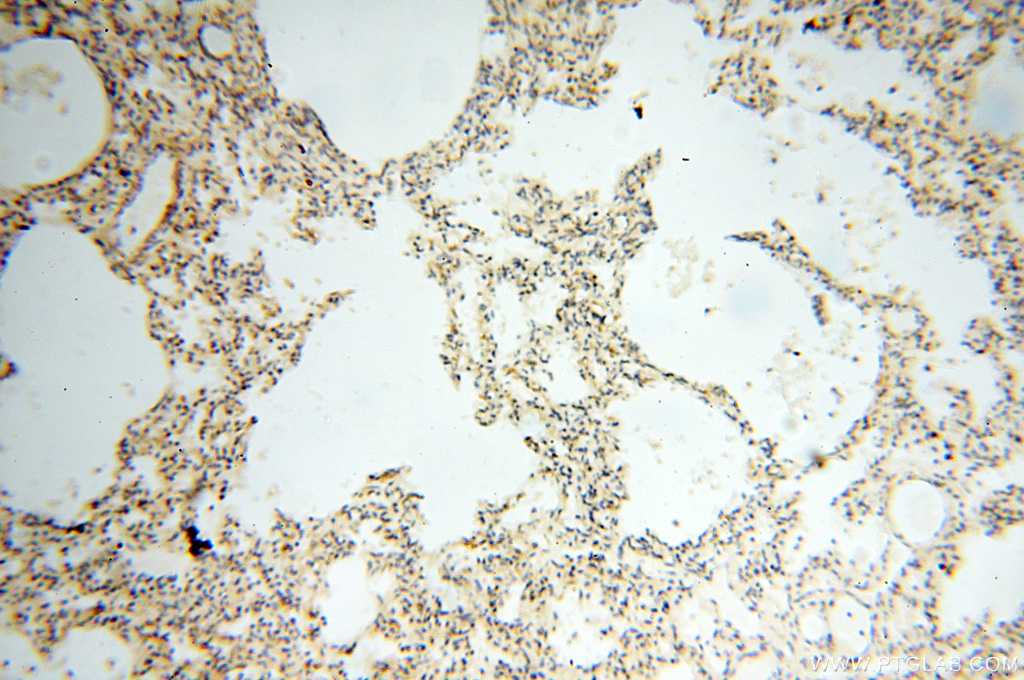
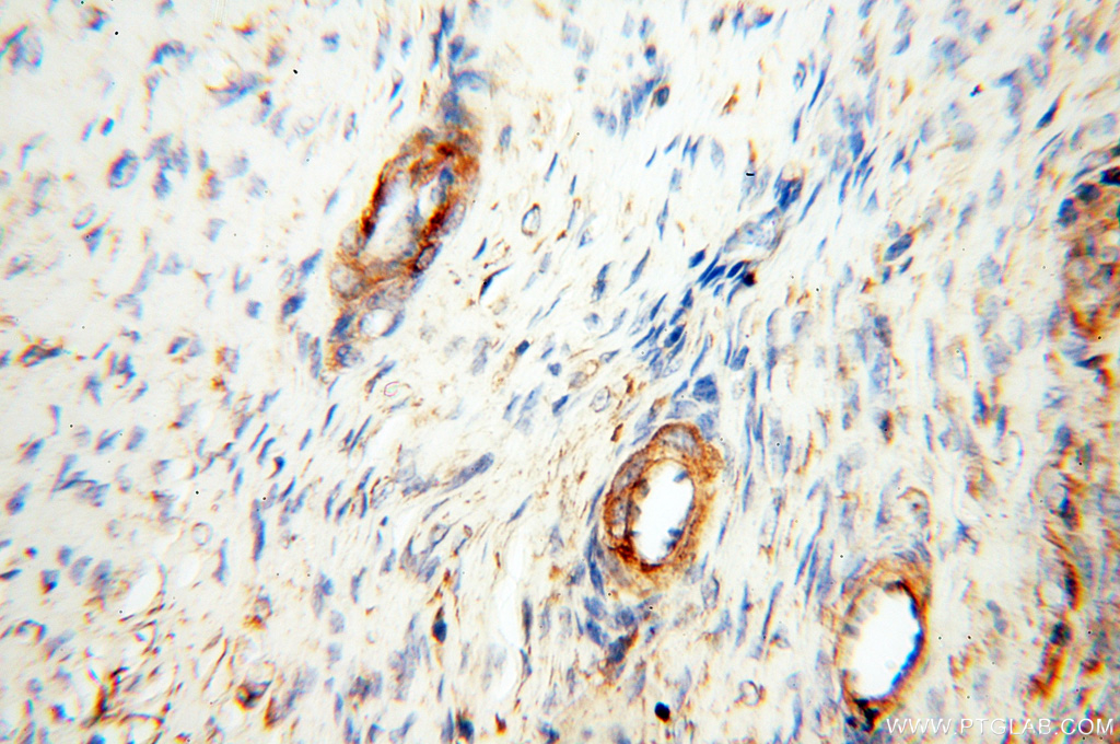
| Positive IHC detected in | human spleen tissue,  human kidney tissue,  human lung tissue,  human ovary tissue,  human testis tissue Note: suggested antigen retrieval with TE buffer pH 9.0; (*) Alternatively, antigen retrieval may be performed with citrate buffer pH 6.0 | 
推荐稀释比
| 应用 | 推荐稀释比 | 
|---|---|
| Western Blot (WB) | WB : 1:500-1:1000 | 
| Immunoprecipitation (IP) | IP : 0.5-4.0 ug for 1.0-3.0 mg of total protein lysate | 
| Immunohistochemistry (IHC) | IHC : 1:20-1:200 | 
| It is recommended that this reagent should be titrated in each testing system to obtain optimal results. | |
| Sample-dependent, Check data in validation data gallery. | |
产品信息
17387-1-AP targets SAMD4A in WB, IHC, IP, RIP, ELISA applications and shows reactivity with human, mouse, rat samples.
| 经测试应用 | WB, IP, IHC, ELISA Application Description | 
| 文献引用应用 | WB, IHC, RIP | 
| 经测试反应性 | human, mouse, rat | 
| 文献引用反应性 | human, mouse | 
| 免疫原 | CatNo: Ag11273 Product name: Recombinant human SAMD4A protein Source: e coli.-derived, PGEX-4T Tag: GST Domain: 1-383 aa of BC021726 Sequence: LLNPYQAAAWDSICPIHWRLTDIIEGGSLRIPLQELHQMILTPIKAYSSPSTTPEARRREPQAPRQPSLMGPESQSPDCKDGAAATGATATPSAGASGGLQPHQLSSCDGELAVAPLPEGDLPGQFTRVMGKVCTQLLVSRPDEENISSYLQLIDKCLIHEAFTETQKKRLLSWKQQVQKLFRSFPRKTLLDISGYRQQRNRGFGQSNSLPTAGSVGGGMGRRNPRQYQIPSRNVPSARLGLLGTSGFVSSNQRNTTATPTIMKQGRQNLWFANPGGSNSMPSRTHSSVQRTRSLPVHTSPQNMLMFQQPGSQVHSGLCLTDLRGWLSLSGAPSMPALTVPKSSQGEFQLPVTEPDINNRLESLCLSMTEHALGDGVDRTSTI种属同源性预测 | 
| 宿主/亚型 | Rabbit / IgG | 
| 抗体类别 | Polyclonal | 
| 产品类型 | Antibody | 
| 全称 | sterile alpha motif domain containing 4A | 
| 别名 | hSmaug1, KIAA1053, Protein Smaug homolog 1, SAMD4, SAMD4A, Smaug, Smaug 1, Smaug1, SMG, SMGA | 
| 计算分子量 | 529 aa, 59 kDa | 
| 观测分子量 | 70 kDa | 
| GenBank蛋白编号 | BC021726 | 
| 基因名称 | SAMD4A | 
| Gene ID (NCBI) | 23034 | 
| RRID | AB_2301339 | 
| 偶联类型 | Unconjugated | 
| 形式 | Liquid | 
| 纯化方式 | Antigen affinity purification | 
| UNIPROT ID | Q9UPU9 | 
| 储存缓冲液 | PBS with 0.02% sodium azide and 50% glycerol, pH 7.3. | 
| 储存条件 | Store at -20°C. Stable for one year after shipment. Aliquoting is unnecessary for -20oC storage. | 
实验方案
| Product Specific Protocols | |
|---|---|
| IHC protocol for SAMD4A antibody 17387-1-AP | Download protocol | 
| IP protocol for SAMD4A antibody 17387-1-AP | Download protocol | 
| WB protocol for SAMD4A antibody 17387-1-AP | Download protocol | 
| Standard Protocols | |
|---|---|
| Click here to view our Standard Protocols | 
发表文章
| Species | Application | Title | 
|---|---|---|
| Cell Mol Immunol SAMD4 family members suppress human hepatitis B virus by directly binding to the Smaug recognition region of viral RNA.
 | ||
| J Neuroinflammation Smad7 in the hippocampus contributes to memory impairment in aged mice after anesthesia and surgery | ||
| Tissue Cell SAMD4A serves as a negative prognostic marker for gastric cancer patients
 | ||
| Cell Host Microbe MX2 forms nucleoporin-comprising cytoplasmic biomolecular condensates that lure viral capsids | ||
| Sci Rep GNG2 inhibits brain metastases from colorectal cancer via PI3K/AKT/mTOR signaling pathway | 













