验证数据展示
经过测试的应用
| Positive WB detected in | COLO 320 cells, HeLa cells, PC-3 cells, HeLa cells |
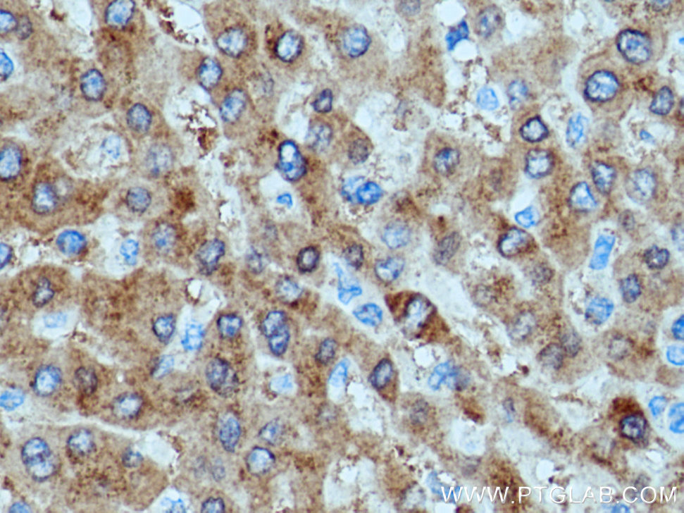
| Positive IHC detected in | human liver cancer tissue, human colon cancer tissue Note: suggested antigen retrieval with TE buffer pH 9.0; (*) Alternatively, antigen retrieval may be performed with citrate buffer pH 6.0 |
推荐稀释比
| 应用 | 推荐稀释比 |
|---|---|
| Western Blot (WB) | WB : 1:500-1:2000 |
| Immunohistochemistry (IHC) | IHC : 1:50-1:500 |
| It is recommended that this reagent should be titrated in each testing system to obtain optimal results. | |
| Sample-dependent, Check data in validation data gallery. | |
产品信息
25857-1-AP targets SAC3D1 in WB, IHC, IF, ELISA applications and shows reactivity with human samples.
| 经测试应用 | WB, IHC, ELISA Application Description |
| 文献引用应用 | WB, IHC, IF |
| 经测试反应性 | human |
| 文献引用反应性 | human, mouse |
| 免疫原 |
CatNo: Ag23026 Product name: Recombinant human SAC3D1 protein Source: e coli.-derived, PGEX-4T Tag: GST Domain: 97-404 aa of BC007448 Sequence: VKEYSRPAAGKPRPPPSQLRPPSVLLATVRYLAGEVAESADIARAEVASFVADRLRAVRLDLALQGAGDAEAAVVLEAALATLLAVVARLGPDAARGPADPVLLQAQVQEGFGSLRRCYARGAGPHPRQPAFQGLFLLYNLGSVEALHEVLQLPAALRACPPLRKALAVDAAFREGNAARLFRLLQTLPYLPSCAVQCHVGHARREALARFARAFSTPKGQTLPLGFMVNLLALDGLREARDLCQAHGLPLDGEERVVFLRGRYVEEGLPPASTCKVLVESKLRGRTLEEVVMAEEEDEGTDRPGSPA 种属同源性预测 |
| 宿主/亚型 | Rabbit / IgG |
| 抗体类别 | Polyclonal |
| 产品类型 | Antibody |
| 全称 | SAC3 domain containing 1 |
| 别名 | SHD1, SAC3 domain containing 1 |
| 计算分子量 | 404 aa, 44 kDa |
| 观测分子量 | 44, 31 kDa |
| GenBank蛋白编号 | BC007448 |
| 基因名称 | SAC3D1 |
| Gene ID (NCBI) | 29901 |
| RRID | AB_2918096 |
| 偶联类型 | Unconjugated |
| 形式 | Liquid |
| 纯化方式 | Antigen affinity purification |
| UNIPROT ID | F8WC89 |
| 储存缓冲液 | PBS with 0.02% sodium azide and 50% glycerol, pH 7.3. |
| 储存条件 | Store at -20°C. Stable for one year after shipment. Aliquoting is unnecessary for -20oC storage. |
背景介绍
SAC3D1, also named as SHD1 and HSU79266. SAC3D1 is widely found in the cytoplasm, cytoskeleton, microtubule, tissue center, centrosome and spindle, involved in centrosome duplication and mitotic progression. SAC3D1 is abnormally expressed in multiple types of cancer, such as colon cancer and hepatocellular carcinoma and gastric cancer. SAC3D1 may serve as a prognostic biomarker in hepatocellular carcinoma (PMID: 30353105, 32319600). SAC3D1 has 2 isoforms with the molecular mass of 44 and 31 kDa.
实验方案
| Product Specific Protocols | |
|---|---|
| IHC protocol for SAC3D1 antibody 25857-1-AP | Download protocol |
| WB protocol for SAC3D1 antibody 25857-1-AP | Download protocol |
| Standard Protocols | |
|---|---|
| Click here to view our Standard Protocols |
发表文章
| Species | Application | Title |
|---|---|---|
Front Genet Conduction and validation of a novel mitotic spindle assembly related signature in hepatocellular carcinoma: prognostic prediction, tumor immune microenvironment and drug susceptibility
| ||
Sci Rep Identification and validation of SAC3D1 as a prognostic biomarker promoting the development of osteosarcoma |




