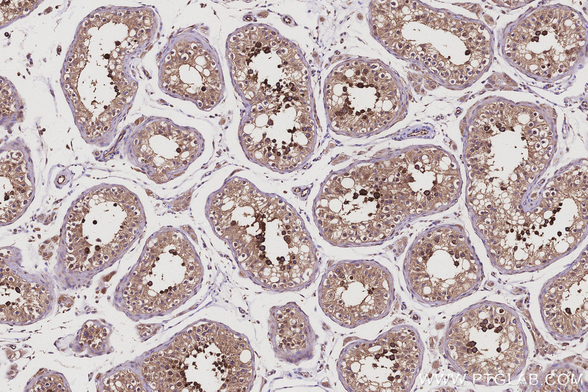
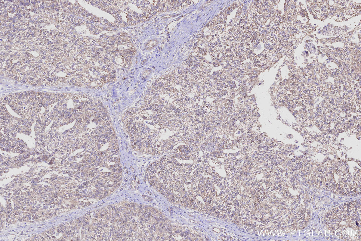
IHCeasy® SAC3D1 Ready-To-Use IHC Kit
SAC3D1 Ready-to-use reagent kit for IHC.
Reactivity
Human
Sample Type
FFPE tissue
Cat no : KHC3097
Synonyms
SAC3 domain containing 1, SHD1
Validation Data Gallery
Product Information
KHC3097 is a ready-to-use IHC kit for staining of SAC3D1. The kit provides all reagents, from antigen retrieval to cover slip mounting, that require little to no diluting or handling prior to use. Simply apply the reagents to your sample slide according to the protocol and you're steps away from obtaining high-quality IHC data.
| Product name | IHCeasy® SAC3D1 Ready-To-Use IHC Kit |
| Sample type | FFPE tissue |
| Assay type | Immunohistochemistry |
| Primary antibody type | Rabbit Polyclonal |
| Secondary antibody type | Polymer-HRP-Goat anti-Rabbit |
| Reactivity | Human |
Kit components
| Component | Size | Concentration |
|---|---|---|
| Antigen Retrieval Buffer | 100 mL | 50× |
| Washing Buffer | 100 mL ×2 | 20× |
| Blocking Buffer | 5 mL | RTU |
| Primary Antibody | 5 mL | RTU |
| Secondary Antibody | 5 mL | RTU |
| Chromogen Component A | 0.2 mL | RTU |
| Chromogen Component B | 4 mL | RTU |
| Signal Enhancer | 5 mL | RTU |
| Counter Staining Reagent | 5 mL | RTU |
| Mounting Media | 5 mL | RTU |
| Datasheet | 1 Copy | |
| Manual | 1 Copy |
Background Information
SAC3D1, also named as SHD1 and HSU79266. SAC3D1 is widely found in the cytoplasm, cytoskeleton, microtubule, tissue center, centrosome and spindle, involved in centrosome duplication and mitotic progression. SAC3D1 is abnormally expressed in multiple types of cancer, such as colon cancer and hepatocellular carcinoma and gastric cancer. SAC3D1 may serve as a prognostic biomarker in hepatocellular carcinoma.
Properties
| Storage Instructions | All the reagents are stored at 2-8°C. The kit is stable for 6 months from the date of receipt. |
| Synonyms | SAC3 domain containing 1, SHD1 |


