验证数据展示
经过测试的应用
| Positive WB detected in | HeLa cells, HuH-7 cells |
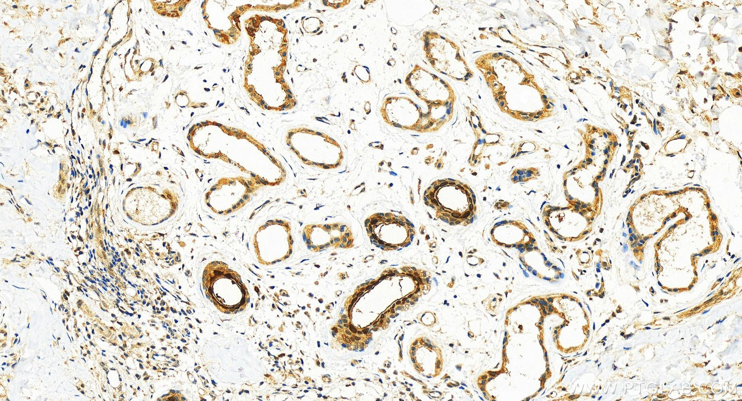
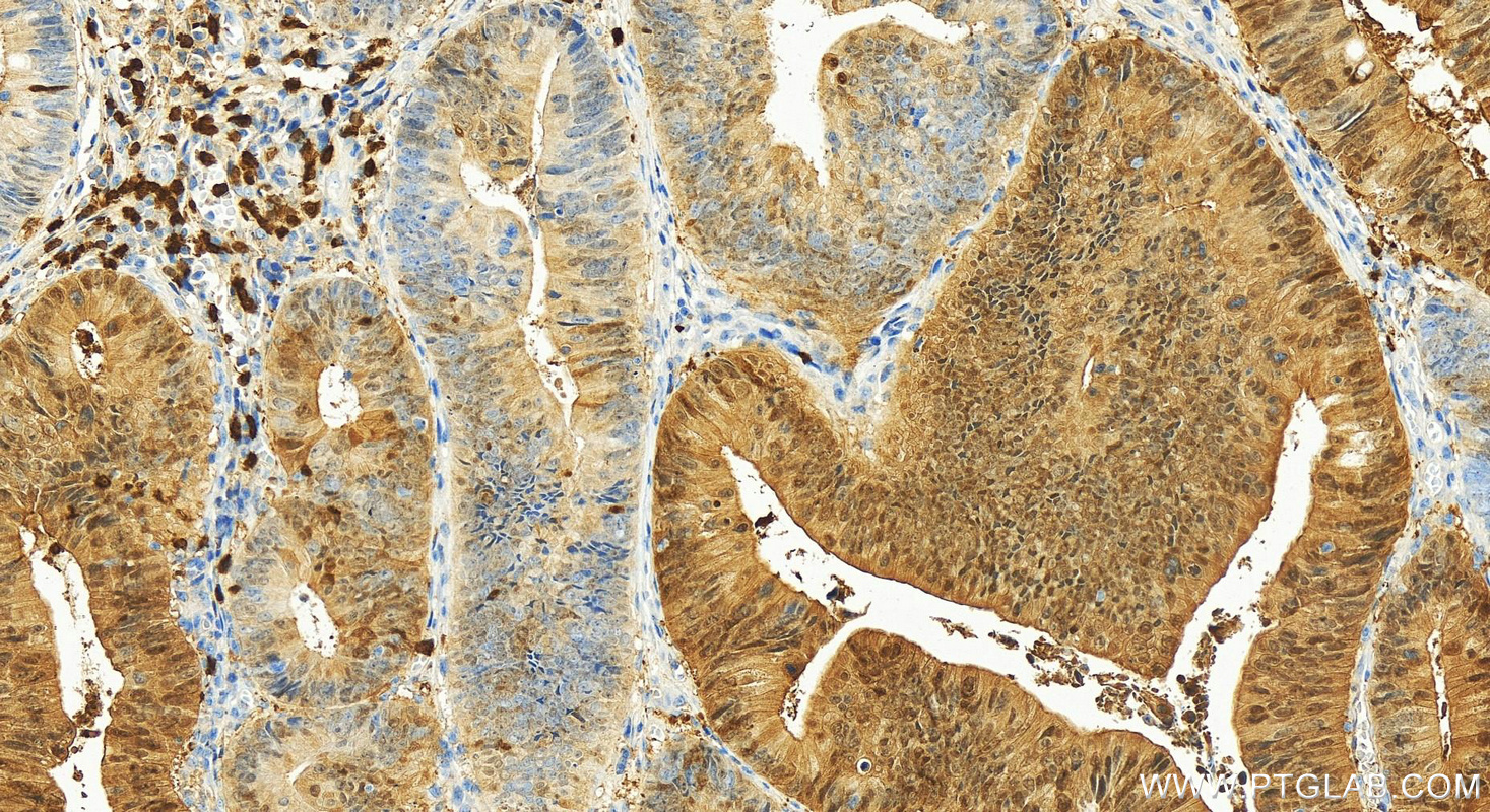
| Positive IHC detected in | human pancreas cancer tissue, human bowen disease tissue, human colon cancer tissue, human urothelial carcinoma tissue Note: suggested antigen retrieval with TE buffer pH 9.0; (*) Alternatively, antigen retrieval may be performed with citrate buffer pH 6.0 |
| Positive IF/ICC detected in | HeLa cells |
推荐稀释比
| 应用 | 推荐稀释比 |
|---|---|
| Western Blot (WB) | WB : 1:500-1:2000 |
| Immunohistochemistry (IHC) | IHC : 1:200-1:6000 |
| Immunofluorescence (IF)/ICC | IF/ICC : 1:200-1:800 |
| It is recommended that this reagent should be titrated in each testing system to obtain optimal results. | |
| Sample-dependent, Check data in validation data gallery. | |
发表文章中的应用
| WB | See 4 publications below |
| IHC | See 7 publications below |
产品信息
11803-1-AP targets S100P in WB, IHC, IF/ICC, ELISA applications and shows reactivity with human samples.
| 经测试应用 | WB, IHC, IF/ICC, ELISA Application Description |
| 文献引用应用 | WB, IHC |
| 经测试反应性 | human |
| 文献引用反应性 | human, mouse |
| 免疫原 |
CatNo: Ag2379 Product name: Recombinant human S100P protein Source: e coli.-derived, PGEX-4T Tag: GST Domain: 1-95 aa of BC006819 Sequence: MTELETAMGMIIDVFSRYSGSEGSTQTLTKGELKVLMEKELPGFLQSGKDKDAVDKLLKDLDANGDAQVDFSEFIVFVAAITSACHKYFEKAGLK 种属同源性预测 |
| 宿主/亚型 | Rabbit / IgG |
| 抗体类别 | Polyclonal |
| 产品类型 | Antibody |
| 全称 | S100 calcium binding protein P |
| 别名 | Migration-inducing gene 9 protein, Protein S100 P, Protein S100-E, Protein S100-P, S100 calcium binding protein P |
| 计算分子量 | 95 aa, 11 kDa |
| 观测分子量 | 10 kDa |
| GenBank蛋白编号 | BC006819 |
| 基因名称 | S100P |
| Gene ID (NCBI) | 6286 |
| RRID | AB_2184577 |
| 偶联类型 | Unconjugated |
| 形式 | Liquid |
| 纯化方式 | Antigen affinity purification |
| UNIPROT ID | P25815 |
| 储存缓冲液 | PBS with 0.02% sodium azide and 50% glycerol, pH 7.3. |
| 储存条件 | Store at -20°C. Stable for one year after shipment. Aliquoting is unnecessary for -20oC storage. |
背景介绍
S100P protein is a relatively small (95 amino acid) isoform of the S100 protein family that was first isolated from human placenta. Overexpression of S100P has been detected in several cancers such as breast, colon, prostate, pancreatic and lung carcinomas, and the protein has been functionally implicated in carcinogenic processes. S100P protein is widely expressed in both normal and neoplastic tissues. It clearly shows ectopic expression in some cancers. Based on the high expression in certain tumors, S100P could represent a potential target for novel diagnostic and therapeutic applications.
实验方案
| Product Specific Protocols | |
|---|---|
| IF protocol for S100P antibody 11803-1-AP | Download protocol |
| IHC protocol for S100P antibody 11803-1-AP | Download protocol |
| WB protocol for S100P antibody 11803-1-AP | Download protocol |
| Standard Protocols | |
|---|---|
| Click here to view our Standard Protocols |
发表文章
| Species | Application | Title |
|---|---|---|
Adv Sci (Weinh) RBMS1 Coordinates with the m6 A Reader YTHDF1 to Promote NSCLC Metastasis through Stimulating S100P Translation | ||
Cancer Lett Liver metastasis or peritoneal metastasis: single-cell RNA sequencing reveals the organotropism in colorectal cancer is driven by distinct partial-EMT processes | ||
Am J Cancer Res High expression of S100P is associated with unfavorable prognosis and tumor progression in patients with epithelial ovarian cancer. | ||
Proteomics Clin Appl Identification of distinctive protein expression patterns in colorectal adenoma. | ||
Diagn Pathol Basal cell adenocarcinoma of the salivary gland: a morphological and immunohistochemical comparison with basal cell adenoma with and without capsular invasion. | ||
Exp Ther Med Proof-of-concept study investigating the role of S100P-RAGE in nasopharyngeal carcinoma. |










