验证数据展示
经过测试的应用
| Positive WB detected in | HL-60 cells, MCF-7 cells, SK-BR-3 cells |
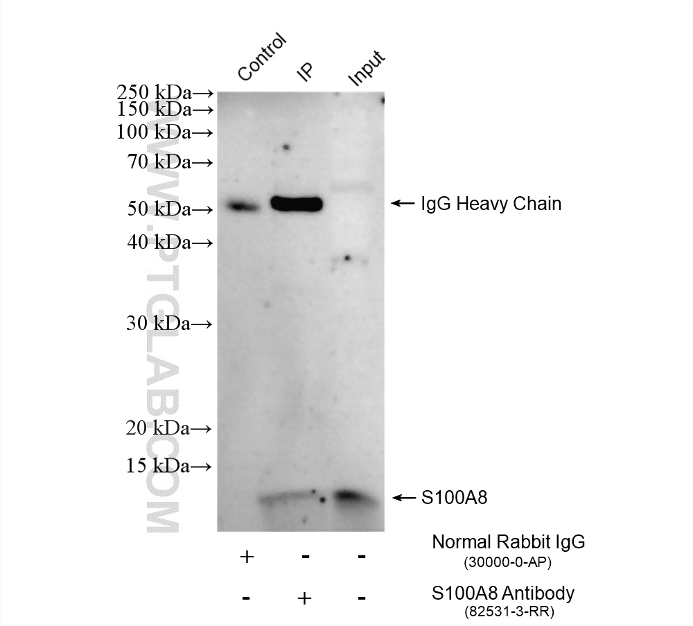
| Positive IP detected in | MCF-7 cells, HL-60 cells |
| Positive IF/ICC detected in | THP-1 cells |
推荐稀释比
| 应用 | 推荐稀释比 |
|---|---|
| Western Blot (WB) | WB : 1:1000-1:4000 |
| Immunoprecipitation (IP) | IP : 0.5-4.0 ug for 1.0-3.0 mg of total protein lysate |
| Immunofluorescence (IF)/ICC | IF/ICC : 1:50-1:500 |
| It is recommended that this reagent should be titrated in each testing system to obtain optimal results. | |
| Sample-dependent, Check data in validation data gallery. | |
产品信息
82531-3-RR targets S100A8 in WB, IF/ICC, IP, ELISA applications and shows reactivity with human samples.
| 经测试应用 | WB, IF/ICC, IP, ELISA Application Description |
| 经测试反应性 | human |
| 免疫原 |
CatNo: Eg3752 Product name: Recombinant Human S100A8 protein (rFc Tag) Source: mammalian cells-derived, pHZ-KIsec-C-rFc Tag: C-rFc Domain: 1-93 aa of BC005928 Sequence: MLTELEKALNSIIDVYHKYSLIKGNFHAVYRDDLKKLLETECPQYIRKKGADVWFKELDINTDGAVNFQEFLILVIKMGVAAHKKSHEESHKE 种属同源性预测 |
| 宿主/亚型 | Rabbit / IgG |
| 抗体类别 | Recombinant |
| 产品类型 | Antibody |
| 全称 | S100 calcium binding protein A8 |
| 别名 | CAGA, Calgranulin A, Calgranulin-A, Calprotectin L1L subunit, CFAG |
| 计算分子量 | 93 aa, 11 kDa |
| 观测分子量 | 11 kDa |
| GenBank蛋白编号 | BC005928 |
| 基因名称 | S100A8 |
| Gene ID (NCBI) | 6279 |
| 偶联类型 | Unconjugated |
| 形式 | Liquid |
| 纯化方式 | Protein A purification |
| UNIPROT ID | P05109 |
| 储存缓冲液 | PBS with 0.02% sodium azide and 50% glycerol, pH 7.3. |
| 储存条件 | Store at -20°C. Stable for one year after shipment. Aliquoting is unnecessary for -20oC storage. |
背景介绍
S100A8 is a member of the S100 family of proteins containing 2 EF-hand calcium-binding motifs. S100 proteins are localized in the cytoplasm and/or nucleus of a wide range of cells, and involved in the regulation of a number of cellular processes such as cell cycle progression and differentiation. S100 genes include at least 13 members which are located as a cluster on chromosome 1q21. This protein may function in the inhibition of casein kinase and as a cytokine.
实验方案
| Product Specific Protocols | |
|---|---|
| IF protocol for S100A8 antibody 82531-3-RR | Download protocol |
| IP protocol for S100A8 antibody 82531-3-RR | Download protocol |
| WB protocol for S100A8 antibody 82531-3-RR | Download protocol |
| Standard Protocols | |
|---|---|
| Click here to view our Standard Protocols |



