验证数据展示
经过测试的应用
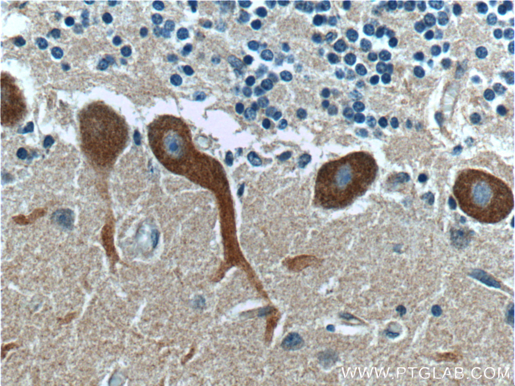
| Positive IHC detected in | mouse brain tissue, human cerebellum tissue, human skeletal muscle tissue Note: suggested antigen retrieval with TE buffer pH 9.0; (*) Alternatively, antigen retrieval may be performed with citrate buffer pH 6.0 |
| Positive IF-P detected in | mouse cerebellum tissue, mouse brain tissue |
推荐稀释比
| 应用 | 推荐稀释比 |
|---|---|
| Immunohistochemistry (IHC) | IHC : 1:50-1:500 |
| Immunofluorescence (IF)-P | IF-P : 1:50-1:500 |
| It is recommended that this reagent should be titrated in each testing system to obtain optimal results. | |
| Sample-dependent, Check data in validation data gallery. | |
发表文章中的应用
| WB | See 2 publications below |
| IF | See 2 publications below |
产品信息
26968-1-AP targets RYR1 in WB, IHC, IF-P, ELISA applications and shows reactivity with human, mouse samples.
| 经测试应用 | IHC, IF-P, ELISA Application Description |
| 文献引用应用 | WB, IF |
| 经测试反应性 | human, mouse |
| 文献引用反应性 | mouse, rat, chicken |
| 免疫原 |
CatNo: Ag25120 Product name: Recombinant human RYR1 protein Source: e coli.-derived, PGEX-4T Tag: GST Domain: 4942-5038 aa of NM_000540 Sequence: GELRDQQEQVKEDMETKCFICGIGSDYFDTTPHGFETHTLEEHNLANYMFFLMYLINKDETEHTGQESYVWKMYQERCWDFFPAGDCFRKQYEDQLS 种属同源性预测 |
| 宿主/亚型 | Rabbit / IgG |
| 抗体类别 | Polyclonal |
| 产品类型 | Antibody |
| 全称 | ryanodine receptor 1 (skeletal) |
| 别名 | CCO, MHS, MHS1, Ryanodine receptor 1, RYDR, RYR, RYR 1, RYR1, RYR1/2/3, SKRR |
| 计算分子量 | 565 kDa |
| GenBank蛋白编号 | NM_000540 |
| 基因名称 | RYR1 |
| Gene ID (NCBI) | 6261 |
| RRID | AB_2880703 |
| 偶联类型 | Unconjugated |
| 形式 | Liquid |
| 纯化方式 | Antigen affinity purification |
| UNIPROT ID | P21817 |
| 储存缓冲液 | PBS with 0.02% sodium azide and 50% glycerol, pH 7.3. |
| 储存条件 | Store at -20°C. Stable for one year after shipment. Aliquoting is unnecessary for -20oC storage. |
背景介绍
Ryanodine receptor isoform-1 (RyR1) is a major calcium channel in skeletal muscle important for excitation-contraction coupling. The transmembrane region of RyR1 is comprised of two domains including the pseudo voltage sensor domain and the pore-forming domain (PMID: 27855725). Dominant RyR1 mutations are the leading cause of MH. Studies on the Ca2+ conducting properties of RyR1 channels containing Malignant hyperthermia mutations expressed in myotubes.
实验方案
| Product Specific Protocols | |
|---|---|
| IF protocol for RYR1 antibody 26968-1-AP | Download protocol |
| IHC protocol for RYR1 antibody 26968-1-AP | Download protocol |
| Standard Protocols | |
|---|---|
| Click here to view our Standard Protocols |
发表文章
| Species | Application | Title |
|---|---|---|
JCI Insight Muscle specific ER-associated degradation maintains postnatal muscle hypertrophy and systemic energy metabolism | ||
Toxicol Res (Camb) Modulating intracellular calcium dynamics with alkaloids: A novel strategy against oxidative neurodegeneration | ||
Animals (Basel) Estradiol Alleviates Elevated Temperature-Induced Damage in Yak Oviductal Epithelial Cells by Maintaining Endoplasmic Reticulum Calcium Homeostasis | ||
Poult Sci Effects of chronic heat stress on Ca2+ homeostasis, apoptosis, and protein carbonylation profiles in the breast muscle of broilers |







