验证数据展示
产品信息
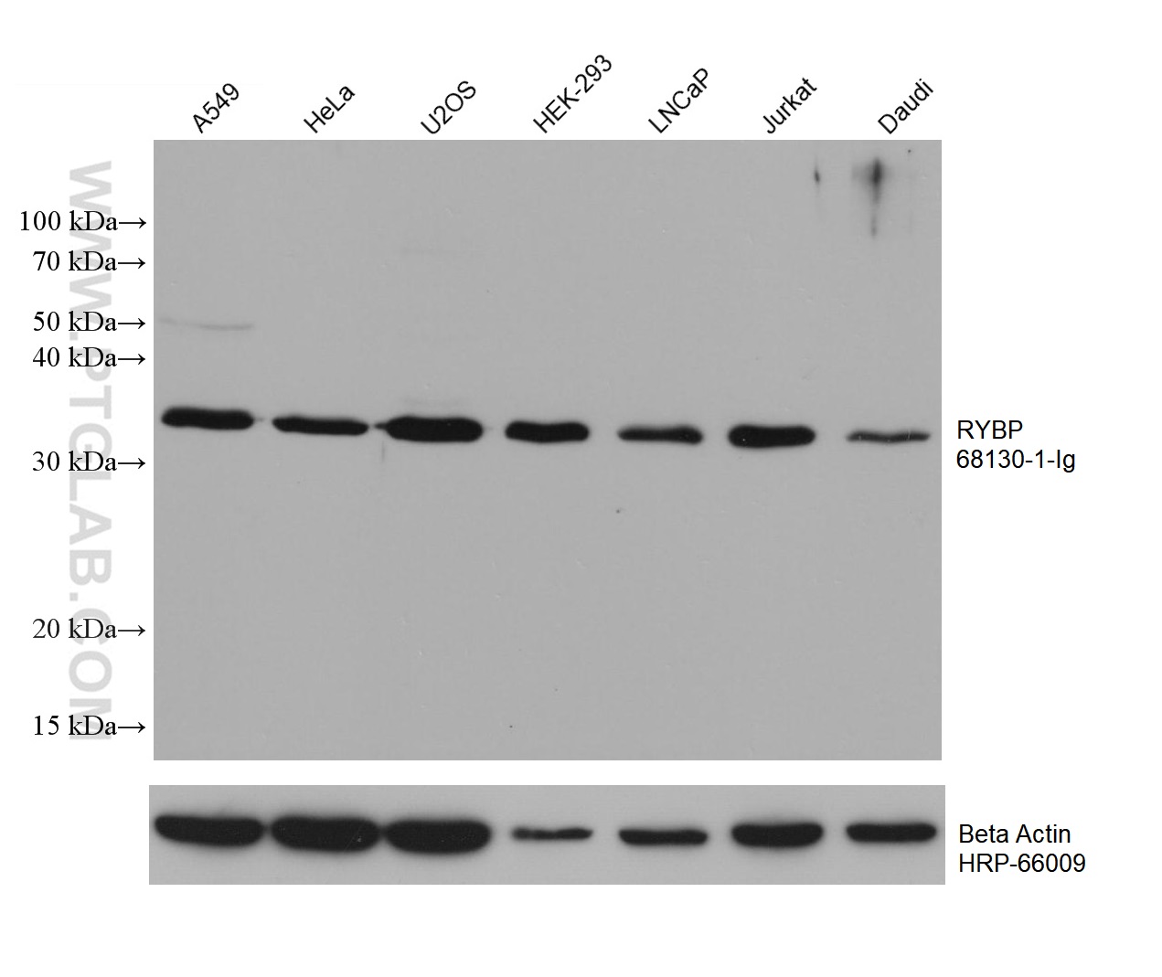
68130-1-PBS targets RYBP in WB, Indirect ELISA applications and shows reactivity with Human, mouse samples.
| 经测试应用 | WB, Indirect ELISA Application Description |
| 经测试反应性 | Human, mouse |
| 免疫原 |
CatNo: Ag31715 Product name: Recombinant human RYBP protein Source: e coli.-derived, PET28a Tag: 6*His Domain: 1-228 aa of BC014959 Sequence: MTMGDKKSPTRPKRQAKPAADEGFWDCSVCTFRNSAEAFKCSICDVRKGTSTRKPRINSQLVAQQVAQQYATPPPPKKEKKEKVEKQDKEKPEKDKEISPSVTKKNTNKKTKPKSDILKDPPSEANSIQSANATTKTSETNHTSRPRLKNVDRSTAQQLAVTVGNVTVIITDFKEKTRSSSTSSSTVTSSAGSEQQNQSSSGSESTDKGSSRSSTPKGDMSAVNDESF 种属同源性预测 |
| 宿主/亚型 | Mouse / IgG1 |
| 抗体类别 | Monoclonal |
| 产品类型 | Antibody |
| 全称 | RING1 and YY1 binding protein |
| 别名 | AAP1, APAP 1, Apoptin associating protein 1, DED associated factor, DEDAF, RING1 and YY1 binding protein, RYBP, YEAF1 |
| 计算分子量 | 228 aa, 25 kDa |
| 观测分子量 | 32 kDa |
| GenBank蛋白编号 | BC014959 |
| 基因名称 | RYBP |
| Gene ID (NCBI) | 23429 |
| 偶联类型 | Unconjugated |
| 形式 | Liquid |
| 纯化方式 | Protein G purification |
| UNIPROT ID | Q8N488 |
| 储存缓冲液 | PBS only, pH 7.3. |
| 储存条件 | Store at -80°C. The product is shipped with ice packs. Upon receipt, store it immediately at -80°C |
背景介绍
Polycomb repressive complexes (PRCs) are important chromatin regulators of embryonic stem (ES) cell function [PMID:22269950]. RYBP binds Polycomb H2A monoubiquitin ligases Ring1A and Ring1B and has been suggested to assist PRC localization to their targets. RYBP, firstly identified as a direct interactor with Ring1A, acts as transcriptional repressor in reporter assays, both in tissue culture cells and in the fly [PMID:16125914]

