验证数据展示
产品信息
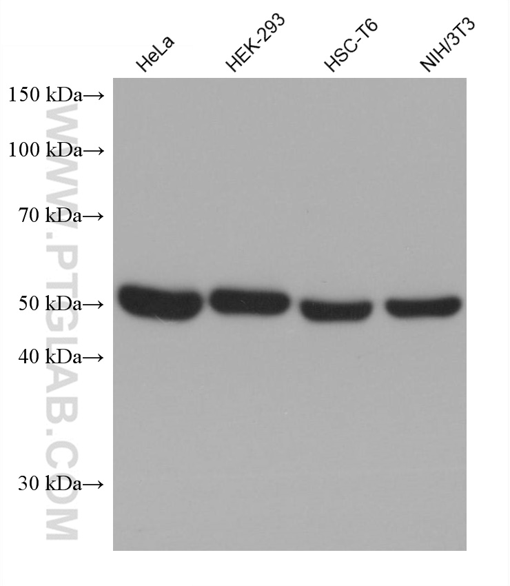
67851-1-PBS targets RUVBL2 in WB, IHC, IF/ICC, Indirect ELISA applications and shows reactivity with human, mouse, rat samples.
| 经测试应用 | WB, IHC, IF/ICC, Indirect ELISA Application Description |
| 经测试反应性 | human, mouse, rat |
| 免疫原 |
CatNo: Ag0253 Product name: Recombinant human RUVBL2 protein Source: e coli.-derived, PGEX-4T Tag: GST Domain: 220-463 aa of BC000428 Sequence: SQTKFVQCPDGELQKRKEVVHTVSLHEIDVINSRTQGFLALFSGDTGEIKSEVREQINAKVAEWREEGKAEIIPGVLFIDEVHMLDIESFSFLNRALESDMAPVLIMATNRGITRIRGTSYQSPHGIPIDLLDRLLIVSTTPYSEKDTKQILRIRCEEEDVEMSEDAYTVLTRIGLETSLRYAIQLITAASLVCRKRKGTEVQVDDIKRVYSLFLDESRSTQYMKEYQDAFLFNELKGETMDTS 种属同源性预测 |
| 宿主/亚型 | Mouse / IgG2b |
| 抗体类别 | Monoclonal |
| 产品类型 | Antibody |
| 全称 | RuvB-like 2 (E. coli) |
| 别名 | RUVB2, 1A1A4, 48 kDa TATA box-binding protein-interacting protein, 48 kDa TBP-interacting protein, CGI-46 |
| 计算分子量 | 51 kDa |
| 观测分子量 | 51 kDa |
| GenBank蛋白编号 | BC000428 |
| 基因名称 | RUVBL2 |
| Gene ID (NCBI) | 10856 |
| RRID | AB_2918610 |
| 偶联类型 | Unconjugated |
| 形式 | Liquid |
| 纯化方式 | Protein A purification |
| UNIPROT ID | Q9Y230 |
| 储存缓冲液 | PBS only, pH 7.3. |
| 储存条件 | Store at -80°C. The product is shipped with ice packs. Upon receipt, store it immediately at -80°C |
背景介绍
RUVBL2 belongs to the conserved ATPases associated with various cellular activities (AAA+) protein subfamily, which is characterized by the presence of conserved Walker A and B motifs that are involved in ATP binding and hydrolysis. The AAA+ (ATPases associated with diverse cellular activities) ATPases, RUVBL1 and RUVBL2, were originally isolated as components of transcriptional complexes and shown to function in a number of different cellular processes, including transcriptional regulation, chromatin remodelling and DNA damage responses. (PMID: 31572066, PMID: 31138842)



