验证数据展示
经过测试的应用
| Positive WB detected in | HeLa cells, A431 cells, NIH/3T3 cells, rat liver tissue, HEEK-293 cells, Jurkat cells, HSC-T6 cells, RAW 264.7 cells, HEK-293 cells |
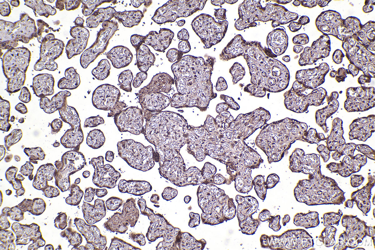
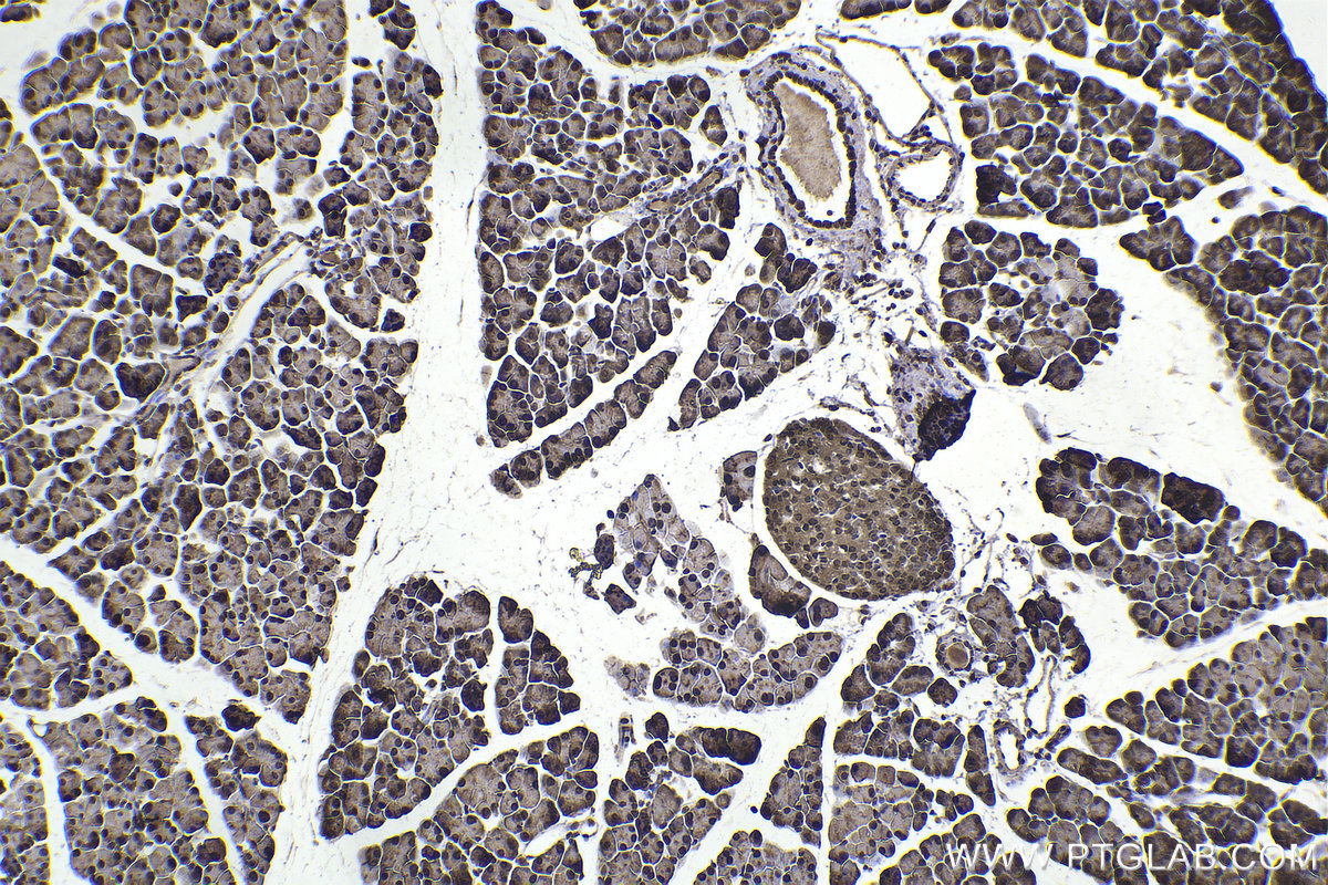
| Positive IHC detected in | human placenta tissue, mouse pancreas tissue, rat stomach tissue Note: suggested antigen retrieval with TE buffer pH 9.0; (*) Alternatively, antigen retrieval may be performed with citrate buffer pH 6.0 |
| Positive IF/ICC detected in | HepG2 cells |
| Positive FC (Intra) detected in | HepG2 cells |
推荐稀释比
| 应用 | 推荐稀释比 |
|---|---|
| Western Blot (WB) | WB : 1:5000-1:50000 |
| Immunohistochemistry (IHC) | IHC : 1:500-1:2000 |
| Immunofluorescence (IF)/ICC | IF/ICC : 1:200-1:800 |
| Flow Cytometry (FC) (INTRA) | FC (INTRA) : 0.40 ug per 10^6 cells in a 100 µl suspension |
| It is recommended that this reagent should be titrated in each testing system to obtain optimal results. | |
| Sample-dependent, Check data in validation data gallery. | |
产品信息
66886-1-Ig targets S6 Ribosomal protein in WB, IHC, IF/ICC, FC (Intra), ELISA applications and shows reactivity with human, mouse, rat samples.
| 经测试应用 | WB, IHC, IF/ICC, FC (Intra), ELISA Application Description |
| 文献引用应用 | WB, IHC, IF |
| 经测试反应性 | human, mouse, rat |
| 文献引用反应性 | human, mouse, rat, hamster |
| 免疫原 |
CatNo: Ag6599 Product name: Recombinant human RPS6 protein Source: e coli.-derived, PET28a Tag: 6*His Domain: 1-249 aa of BC000524 Sequence: MKLNISFPATGCQKLIEVDDERKLRTFYEKRMATEVAADALGEEWKGYVVRISGGNDKQGFPMKQGVLTHGRVRLLLSKGHSCYRPRRTGERKRKSVRGCIVDANLSVLNLVIVKKGEKDIPGLTDTTVPRRLGPKRASRIRKLFNLSKEDDVRQYVVRKPLNKEGKKPRTKAPKIQRLVTPRVLQHKRRRIALKKQRTKKNKEEAAEYAKLLAKRMKEAKEKRQEQIAKRRRLSSLRASTSKSESSQK 种属同源性预测 |
| 宿主/亚型 | Mouse / IgG2a |
| 抗体类别 | Monoclonal |
| 产品类型 | Antibody |
| 全称 | ribosomal protein S6 |
| 别名 | RPS6, S6, 1C3E10, 40S ribosomal protein S6, OK/SW-cl.2 |
| 计算分子量 | 29 kDa |
| 观测分子量 | 29-32 kDa |
| GenBank蛋白编号 | BC000524 |
| 基因名称 | RPS6 |
| Gene ID (NCBI) | 6194 |
| RRID | AB_2882218 |
| 偶联类型 | Unconjugated |
| 形式 | Liquid |
| 纯化方式 | Protein A purification |
| UNIPROT ID | P62753 |
| 储存缓冲液 | PBS with 0.02% sodium azide and 50% glycerol, pH 7.3. |
| 储存条件 | Store at -20°C. Stable for one year after shipment. Aliquoting is unnecessary for -20oC storage. |
背景介绍
Ribosomal protein S6 (RPS6),Phosphoprotein NP33.It may play an important role in controlling cell growth and proliferation through the selective translation of particular classes of mRNA.Ribosomal protein S6 is the major substrate of protein kinases in eukaryote ribosomes. The phosphorylation is stimulated by growth factors, tumor promoting agents, and mitogens. It is dephosphorylated at growth arrest. Phosphorylated at Ser-235 and Ser-236 by RPS6KA1 and RPS6KA3; phosphorylation at these sites facilitates the assembly of the preinitiation complex.
实验方案
| Product Specific Protocols | |
|---|---|
| FC protocol for S6 Ribosomal protein antibody 66886-1-Ig | Download protocol |
| IF protocol for S6 Ribosomal protein antibody 66886-1-Ig | Download protocol |
| IHC protocol for S6 Ribosomal protein antibody 66886-1-Ig | Download protocol |
| WB protocol for S6 Ribosomal protein antibody 66886-1-Ig | Download protocol |
| Standard Protocols | |
|---|---|
| Click here to view our Standard Protocols |
发表文章
| Species | Application | Title |
|---|---|---|
Genome Biol A post-transcriptional program of chemoresistance by AU-rich elements and TTP in quiescent leukemic cells. | ||
Transl Res Ribosomal proteins as distinct "passengers" of microvesicles: new semantics in myeloma and mesenchymal stem cells' communication. | ||
Cell Mol Life Sci Phosphocholine inhibits proliferation and reduces stemness of endometrial cancer cells by downregulating mTOR-c-Myc signaling | ||
Microbiol Spectr Structural Basis and Function of the N Terminus of SARS-CoV-2 Nonstructural Protein 1. | ||
Ecotoxicol Environ Saf Exposure to DEHP induces testis toxicity and injury through the ROS/mTOR/NLRP3 signaling pathway in immature rats. | ||
Sci Rep YB1 associates with oncogenetic roles and poor prognosis in nasopharyngeal carcinoma. |









