验证数据展示
经过测试的应用
| Positive WB detected in | C6 cells |
| Positive IP detected in | HeLa cells |
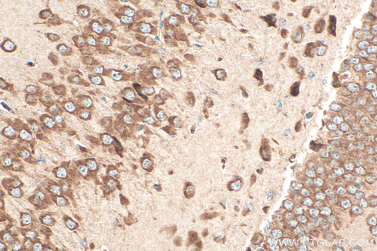
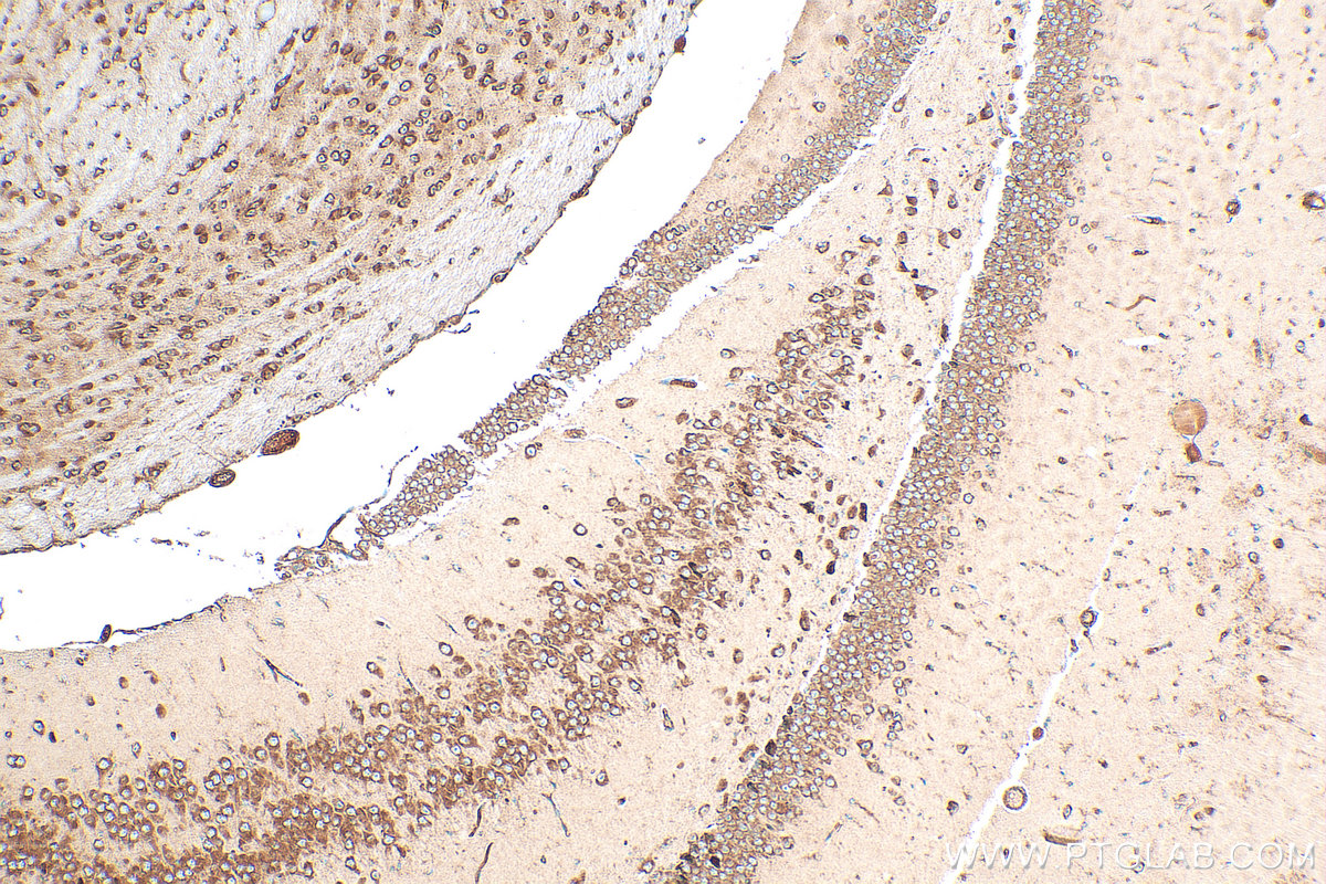
| Positive IHC detected in | mouse brain tissue Note: suggested antigen retrieval with TE buffer pH 9.0; (*) Alternatively, antigen retrieval may be performed with citrate buffer pH 6.0 |
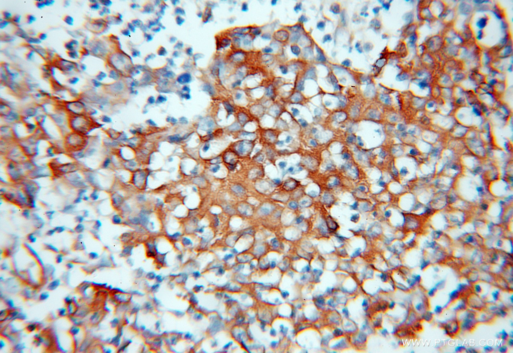
| Positive IF/ICC detected in | HeLa cells |
推荐稀释比
| 应用 | 推荐稀释比 |
|---|---|
| Western Blot (WB) | WB : 1:500-1:3000 |
| Immunoprecipitation (IP) | IP : 0.5-4.0 ug for 1.0-3.0 mg of total protein lysate |
| Immunohistochemistry (IHC) | IHC : 1:250-1:1000 |
| Immunofluorescence (IF)/ICC | IF/ICC : 1:50-1:500 |
| It is recommended that this reagent should be titrated in each testing system to obtain optimal results. | |
| Sample-dependent, Check data in validation data gallery. | |
产品信息
11290-2-AP targets RPLP0 in WB, IHC, IF/ICC, IP, RIP, ELISA applications and shows reactivity with human, mouse, rat samples.
| 经测试应用 | WB, IHC, IF/ICC, IP, ELISA Application Description |
| 文献引用应用 | WB, IHC, IF, RIP, ELISA |
| 经测试反应性 | human, mouse, rat |
| 文献引用反应性 | human, mouse, rat |
| 免疫原 |
CatNo: Ag1829 Product name: Recombinant human RPLP0 protein Source: e coli.-derived, PGEX-4T Tag: GST Domain: 1-317 aa of BC009867 Sequence: MPREDRATWKSNYFLKIIQLLDDYPKCFIVGADNVGSKQMQQIRMSLRGKAVVLMGKNTMMRKAIRGHLENNPALEKLLPHIRGNVGFVFTKEDLTEIRDMLLANKVPAAARAGAIAPCEVTVPAQNTGLGPEKTSFFQALGITTKISRGTIEILSDVQLIKTGDKVGASEATLLNMLNISPFSFGLVIQQVFDNGSIYNPEVLDITEETLHSRFLEGVRNVASVCLQIGYPTVASVPHSIINGYKRVLALSVETDYTFPLAEKVKAFLADPSAFVAAAPVAAATTAAPAAAAAPAKVEAKEESEESDEDMGFGLFD 种属同源性预测 |
| 宿主/亚型 | Rabbit / IgG |
| 抗体类别 | Polyclonal |
| 产品类型 | Antibody |
| 全称 | ribosomal protein, large, P0 |
| 别名 | 60S ribosomal protein L10E, L10E, Large ribosomal subunit protein uL10, P0, PRLP0 |
| 计算分子量 | 34 kDa |
| 观测分子量 | 34 kDa |
| GenBank蛋白编号 | BC009867 |
| 基因名称 | RPLP0 |
| Gene ID (NCBI) | 6175 |
| RRID | AB_2254064 |
| 偶联类型 | Unconjugated |
| 形式 | Liquid |
| 纯化方式 | Antigen affinity purification |
| UNIPROT ID | P05388 |
| 储存缓冲液 | PBS with 0.02% sodium azide and 50% glycerol, pH 7.3. |
| 储存条件 | Store at -20°C. Stable for one year after shipment. Aliquoting is unnecessary for -20oC storage. |
背景介绍
RPLP0 is first identified as a cytosolic protein which takes a part in the ribosomal stalk and interacts with RPLP1 and RPLP2. It also has potential roles in molecular transport from outside into the cells. It generally presents in multiple copies on the ribosome and have isoelectric points in the range of pH 3 to 5, in contrast to most ribosomal proteins, which are single copy and basic
实验方案
| Product Specific Protocols | |
|---|---|
| IF protocol for RPLP0 antibody 11290-2-AP | Download protocol |
| IHC protocol for RPLP0 antibody 11290-2-AP | Download protocol |
| IP protocol for RPLP0 antibody 11290-2-AP | Download protocol |
| WB protocol for RPLP0 antibody 11290-2-AP | Download protocol |
| Standard Protocols | |
|---|---|
| Click here to view our Standard Protocols |
发表文章
| Species | Application | Title |
|---|---|---|
Cell Metab miR-378(∗) mediates metabolic shift in breast cancer cells via the PGC-1β/ERRγ transcriptional pathway. | ||
Genes Dev The homeobox protein Prox1 is a negative modulator of ERR{alpha}/PGC-1{alpha} bioenergetic functions. | ||
J Cell Biol Nucleolar protein B23/nucleophosmin regulates the vertebrate SUMO pathway through SENP3 and SENP5 proteases. | ||
EMBO J Decreased synthesis of ribosomal proteins in tauopathy revealed by non-canonical amino acid labelling. | ||
PLoS Genet Genomic convergence among ERRα, PROX1, and BMAL1 in the control of metabolic clock outputs. |





