验证数据展示
经过测试的应用
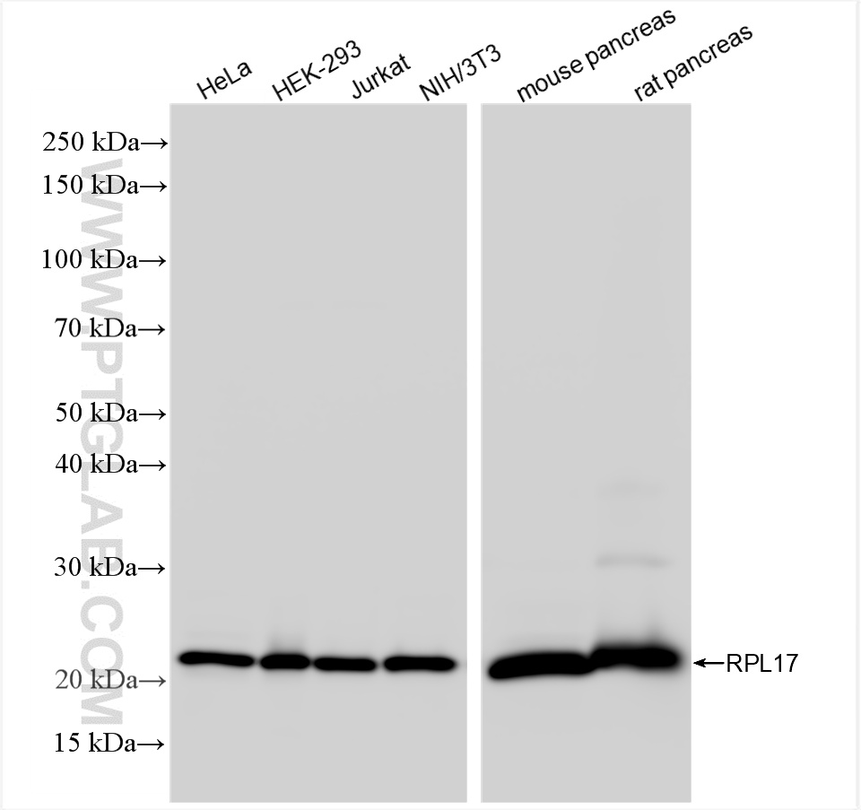
| Positive WB detected in | HeLa cells, HEK-293 cells, Jurkat cells, NIH-3T3 cells, mouse pancreas tissue, rat pancreas tissue |
| Positive IF/ICC detected in | Jurkat cells |
推荐稀释比
| 应用 | 推荐稀释比 |
|---|---|
| Western Blot (WB) | WB : 1:5000-1:50000 |
| Immunofluorescence (IF)/ICC | IF/ICC : 1:50-1:500 |
| It is recommended that this reagent should be titrated in each testing system to obtain optimal results. | |
| Sample-dependent, Check data in validation data gallery. | |
产品信息
86348-3-RR targets RPL17 in WB, IF/ICC, ELISA applications and shows reactivity with human, mouse samples.
| 经测试应用 | WB, IF/ICC, ELISA Application Description |
| 经测试反应性 | human, mouse |
| 免疫原 |
CatNo: Ag5270 Product name: Recombinant human RPL17 protein Source: e coli.-derived, PGEX-4T Tag: GST Domain: 1-184 aa of BC066323 Sequence: MVRYSLDPENPTKSCKSRGSNLRVHFKNTRETAQAIKGMHIRKATKYLKDVTLQKQCVPFRRYNGGVGRCAQAKQWGWTQGRWPKKSAEFLLHMLKNAESNAELKGLDVDSLVIEHIQVNKAPKMRRRTYRAHGRINPYMSSPCHIEMILTEKEQIVPKPEEEVAQKKKISQKKLKKQKLMARE 种属同源性预测 |
| 宿主/亚型 | Rabbit / IgG |
| 抗体类别 | Recombinant |
| 产品类型 | Antibody |
| 全称 | ribosomal protein L17 |
| 别名 | Large ribosomal subunit protein uL22, PD-1, uL22 |
| 计算分子量 | 21 kDa |
| 观测分子量 | 23 kDa |
| GenBank蛋白编号 | BC066323 |
| 基因名称 | RPL17 |
| Gene ID (NCBI) | 6139 |
| 偶联类型 | Unconjugated |
| 形式 | Liquid |
| 纯化方式 | Protein A purification |
| UNIPROT ID | P18621 |
| 储存缓冲液 | PBS with 0.02% sodium azide and 50% glycerol, pH 7.3. |
| 储存条件 | Store at -20°C. Stable for one year after shipment. Aliquoting is unnecessary for -20oC storage. |
背景介绍
Ribosomes, the organelles that catalyze protein synthesis, consist of a small 40S subunit and a large 60S subunit. Together these subunits are composed of 4 RNA species and approximately 80 structurally distinct proteins. RPL17 gene encodes a ribosomal protein that is a component of the 60S subunit belonging to the L22P family of ribosomal proteins. It is located in the cytoplasm. This gene has been referred to as rpL23 because the encoded protein shares amino acid identity with ribosomal protein L23 from Halobacterium marismortui; however, its official symbol is RPL17.
实验方案
| Product Specific Protocols | |
|---|---|
| IF protocol for RPL17 antibody 86348-3-RR | Download protocol |
| WB protocol for RPL17 antibody 86348-3-RR | Download protocol |
| Standard Protocols | |
|---|---|
| Click here to view our Standard Protocols |


