验证数据展示
经过测试的应用
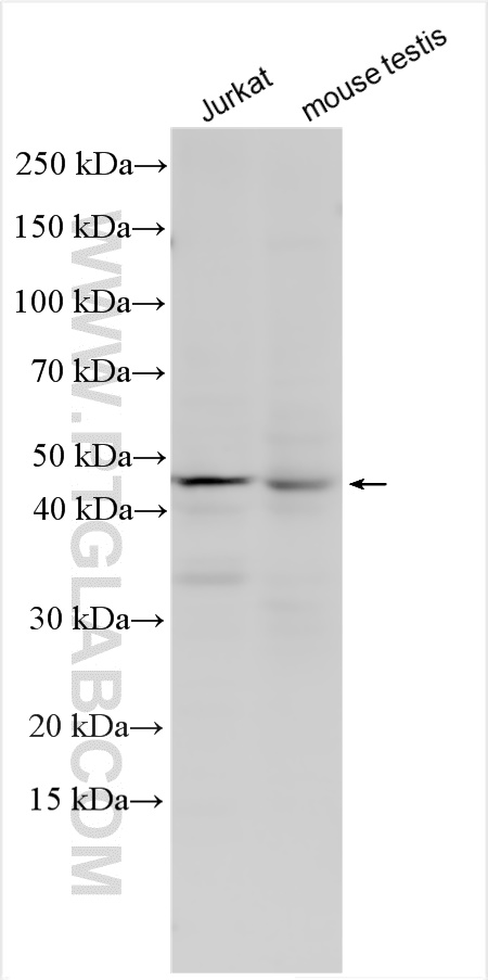
| Positive WB detected in | Jurkat cells, mouse testis tissue |
推荐稀释比
| 应用 | 推荐稀释比 |
|---|---|
| Western Blot (WB) | WB : 1:500-1:1000 |
| It is recommended that this reagent should be titrated in each testing system to obtain optimal results. | |
| Sample-dependent, Check data in validation data gallery. | |
产品信息
17829-1-AP targets SLC35E2B in WB, ELISA applications and shows reactivity with human, mouse samples.
| 经测试应用 | WB, ELISA Application Description |
| 经测试反应性 | human, mouse |
| 免疫原 |
CatNo: Ag12211 Product name: Recombinant human RP11-345P4.4 protein Source: e coli.-derived, PET28a Tag: 6*His Domain: 1-82 aa of BC092507 Sequence: MSSSVKTPALEELVPGSEEKPKGRSPLSWGSLFGHRSEKIVFAKSDGGTDENVLTVTITETTVIESDLGVWSSRALLYLTLW 种属同源性预测 |
| 宿主/亚型 | Rabbit / IgG |
| 抗体类别 | Polyclonal |
| 产品类型 | Antibody |
| 全称 | similar to solute carrier family 35, member E2 |
| 别名 | KIAA0447, LOC728661, RP11 345P4.4, RP11-345P4.4, SLC35E2, SLC35E2B |
| 计算分子量 | 236 aa, 43 kDa |
| 观测分子量 | 44 kDa |
| GenBank蛋白编号 | BC092507 |
| 基因名称 | SLC35E2B |
| Gene ID (NCBI) | 728661 |
| RRID | AB_3085542 |
| 偶联类型 | Unconjugated |
| 形式 | Liquid |
| 纯化方式 | Antigen affinity purification |
| UNIPROT ID | P0CK96 |
| 储存缓冲液 | PBS with 0.02% sodium azide and 50% glycerol, pH 7.3. |
| 储存条件 | Store at -20°C. Stable for one year after shipment. Aliquoting is unnecessary for -20oC storage. |
背景介绍
SLC35E2B, also known as SLC35E2, encodes solute carrier family 35 member E2B, functioning as a putative transporter. SLC35E2B is expressed in the heart, retina, skin, testis, and kidney (PMID:33711669).
实验方案
| Product Specific Protocols | |
|---|---|
| WB protocol for SLC35E2B antibody 17829-1-AP | Download protocol |
| Standard Protocols | |
|---|---|
| Click here to view our Standard Protocols |
