验证数据展示
经过测试的应用
| Positive WB detected in | mouse eye tissue, HeLa cells, rat eye tissue |
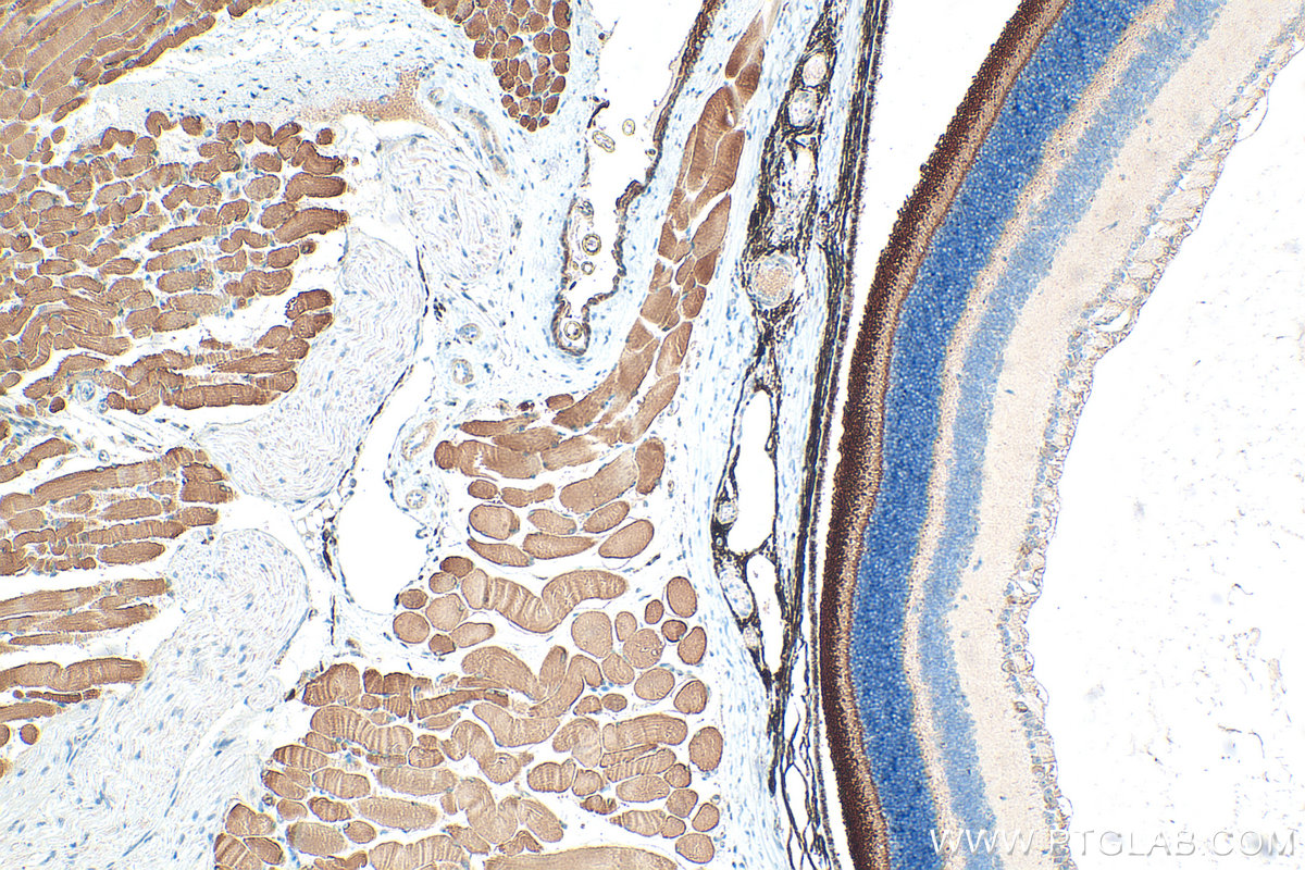
| Positive IHC detected in | mouse eye tissue Note: suggested antigen retrieval with TE buffer pH 9.0; (*) Alternatively, antigen retrieval may be performed with citrate buffer pH 6.0 |
| Positive IF/ICC detected in | HeLa cells |
推荐稀释比
| 应用 | 推荐稀释比 |
|---|---|
| Western Blot (WB) | WB : 1:500-1:3000 |
| Immunohistochemistry (IHC) | IHC : 1:200-1:800 |
| Immunofluorescence (IF)/ICC | IF/ICC : 1:20-1:200 |
| It is recommended that this reagent should be titrated in each testing system to obtain optimal results. | |
| Sample-dependent, Check data in validation data gallery. | |
产品信息
21984-1-AP targets ROM1 in WB, IHC, IF/ICC, ELISA applications and shows reactivity with human, mouse, rat samples.
| 经测试应用 | WB, IHC, IF/ICC, ELISA Application Description |
| 文献引用应用 | WB, IHC, IF |
| 经测试反应性 | human, mouse, rat |
| 文献引用反应性 | human, mouse |
| 免疫原 |
CatNo: Ag17049 Product name: Recombinant human ROM1 protein Source: e coli.-derived, PGEX-4T Tag: GST Domain: 121-270 aa of BC008100 Sequence: LALALPGSLDEALEEGLVTALAHYKDTEVPGHCQAKRLVDELQLRYHCCGRHGYKDWFGVQWVSSRYLDPGDRDVADRIQSNVEGLYLTDGVPFSCCNPHSPRPCLQNRLSDSYAHPLFDPRQPNQNLWAQGCHEVLLEHLQDLAGTLGS 种属同源性预测 |
| 宿主/亚型 | Rabbit / IgG |
| 抗体类别 | Polyclonal |
| 产品类型 | Antibody |
| 全称 | retinal outer segment membrane protein 1 |
| 别名 | Rod outer segment membrane protein 1, ROM, ROSP1, Tetraspanin 23, Tetraspanin-23 |
| 计算分子量 | 351 aa, 37 kDa |
| 观测分子量 | 37-45 kDa |
| GenBank蛋白编号 | BC008100 |
| 基因名称 | ROM1 |
| Gene ID (NCBI) | 6094 |
| RRID | AB_2878961 |
| 偶联类型 | Unconjugated |
| 形式 | Liquid |
| 纯化方式 | Antigen affinity purification |
| UNIPROT ID | Q03395 |
| 储存缓冲液 | PBS with 0.02% sodium azide and 50% glycerol, pH 7.3. |
| 储存条件 | Store at -20°C. Stable for one year after shipment. Aliquoting is unnecessary for -20oC storage. |
背景介绍
ROM1 (also known as TSPAN23) is a transmembrane protein present in photoreceptor outer segment disc membranes. ROM1 belongs to the tetraspanin superfamily, which are characterized by the presence of four conserved transmembrane regions. Tetraspanins have been involved in diverse processes such as cell activation and proliferation, adhesion and motility, differentiation, and cancer. ROM1 is required for rod photoreceptor viability and the regulation of disk morphogenesis (PMID: 10802659). It may function as an adhesion molecule involved in stabilization and compaction of outer segment disks.
实验方案
| Product Specific Protocols | |
|---|---|
| IF protocol for ROM1 antibody 21984-1-AP | Download protocol |
| IHC protocol for ROM1 antibody 21984-1-AP | Download protocol |
| WB protocol for ROM1 antibody 21984-1-AP | Download protocol |
| Standard Protocols | |
|---|---|
| Click here to view our Standard Protocols |
发表文章
| Species | Application | Title |
|---|---|---|
Proc Natl Acad Sci U S A Accumulation of non-outer segment proteins in the outer segment underlies photoreceptor degeneration in Bardet-Biedl syndrome. | ||
Elife Merging organoid and organ-on-a-chip technology to generate complex multi-layer tissue models in a human retina-on-a-chip platform. | ||
Cell Mol Life Sci A look into retinal organoids: methods, analytical techniques, and applications. | ||
J Biol Chem The myosin-tail homology domain of centrosomal protein 290 is essential for protein confinement between the inner and outer segments in photoreceptors. | ||
PLoS One Differential requirement of NPHP1 for compartmentalized protein localization during photoreceptor outer segment development and maintenance. |




