验证数据展示
经过测试的应用
| Positive WB detected in | HEK-293 cells, HT-29 cells, HepG2 cells, THP-1 cells, U-87 MG cells, U2OS cells |
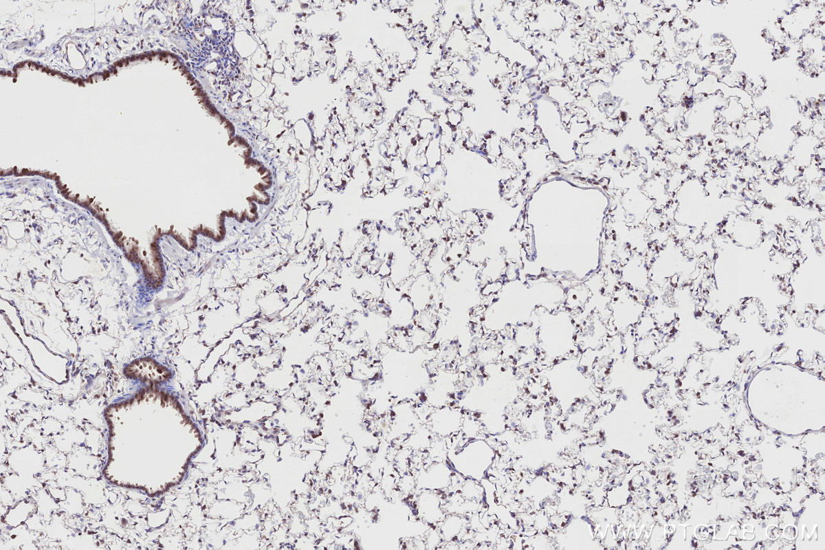
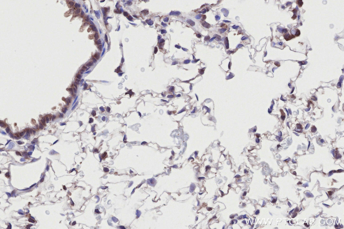
| Positive IHC detected in | rat lung tissue Note: suggested antigen retrieval with TE buffer pH 9.0; (*) Alternatively, antigen retrieval may be performed with citrate buffer pH 6.0 |
推荐稀释比
| 应用 | 推荐稀释比 |
|---|---|
| Western Blot (WB) | WB : 1:1000-1:4000 |
| Immunohistochemistry (IHC) | IHC : 1:1000-1:4000 |
| It is recommended that this reagent should be titrated in each testing system to obtain optimal results. | |
| Sample-dependent, Check data in validation data gallery. | |
产品信息
28261-1-AP targets RNF139 in WB, IHC, ELISA applications and shows reactivity with human, mouse, rat samples.
| 经测试应用 | WB, IHC, ELISA Application Description |
| 经测试反应性 | human, mouse, rat |
| 免疫原 |
CatNo: Ag27147 Product name: Recombinant human RNF139 protein Source: e coli.-derived, PGEX-4T Tag: GST Domain: 511-664 aa of BC064636 Sequence: QAKNGWKTFMNRRTAVKKINSLPEIKGSRLQEINDVCAICYHEFTTSARITPCNHYFHALCLRKWLYIQDTCPMCHQKVYIEDDIKDNSNVSNNNGFIPPNETPEEAVREAAAESDRELNEDDSTDCDDDVQRERNGVIQHTGAAAEEFNDDTD 种属同源性预测 |
| 宿主/亚型 | Rabbit / IgG |
| 抗体类别 | Polyclonal |
| 产品类型 | Antibody |
| 全称 | ring finger protein 139 |
| 别名 | E3 ubiquitin-protein ligase RNF139, EC:2.3.2.27, HRCA1, RCA1, RING finger protein 139 |
| 计算分子量 | 664 aa, 76 kDa |
| 观测分子量 | 70 kDa |
| GenBank蛋白编号 | BC064636 |
| 基因名称 | RNF139 |
| Gene ID (NCBI) | 11236 |
| RRID | AB_3086042 |
| 偶联类型 | Unconjugated |
| 形式 | Liquid |
| 纯化方式 | Antigen affinity purification |
| UNIPROT ID | Q8WU17 |
| 储存缓冲液 | PBS with 0.02% sodium azide and 50% glycerol, pH 7.3. |
| 储存条件 | Store at -20°C. Stable for one year after shipment. Aliquoting is unnecessary for -20oC storage. |
背景介绍
The RNF139 gene (ring-finger protein 139), also known as TRC8 (translocation in renal carcinoma from chromosome 8), was first identified from a family with 3;8 chromosomal translocation and hereditary renal cell carcinoma and thyroid cancer (PMID:22689053). RNF139 encodes an endoplasmic reticulum (ER) protein with 10 transmembrane segments that contain a sterol-sensing domain and a RING finger motif encoding an E3 ubiquitin ligase (PMID: 19706601). Northern blot and dot blot show that RNF139 is highly expressed in the testis, placenta, and adrenal gland and is expressed at lower levels in the heart, brain, liver, skeletal muscle, and pancreas (PMID: 9689122). It is reported that TRC8 suppresses tumorigenesis by targeting heme oxygenase-1 (HO-1), an antioxidant enzyme highly expressed in various cancers, for ubiquitination and degradation (PMID:22689053). TRC8 is also involved in cholesterol and fatty acid biosynthesis that are transcriptionally regulated by the sterol response element binding proteins (SREBPs) (PMID:17016439). Acetylation, phosphorylation, and autoubiquitination are common post-translational modifications of FNF139 protein.
实验方案
| Product Specific Protocols | |
|---|---|
| IHC protocol for RNF139 antibody 28261-1-AP | Download protocol |
| WB protocol for RNF139 antibody 28261-1-AP | Download protocol |
| Standard Protocols | |
|---|---|
| Click here to view our Standard Protocols |


