验证数据展示
经过测试的应用
| Positive WB detected in | mouse kidney tissue, U-251 cells, U-87 MG cells |
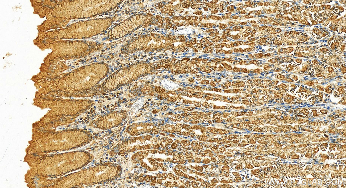
| Positive IHC detected in | human kidney tissue, human stomach tissue Note: suggested antigen retrieval with TE buffer pH 9.0; (*) Alternatively, antigen retrieval may be performed with citrate buffer pH 6.0 |
| Positive IF/ICC detected in | PC-12 cells, HEK-293 cells |
推荐稀释比
| 应用 | 推荐稀释比 |
|---|---|
| Western Blot (WB) | WB : 1:500-1:1000 |
| Immunohistochemistry (IHC) | IHC : 1:200-1:1000 |
| Immunofluorescence (IF)/ICC | IF/ICC : 1:200-1:800 |
| It is recommended that this reagent should be titrated in each testing system to obtain optimal results. | |
| Sample-dependent, Check data in validation data gallery. | |
发表文章中的应用
| WB | See 4 publications below |
| IHC | See 2 publications below |
产品信息
25061-1-AP targets RNF135 in WB, IHC, IF/ICC, ELISA applications and shows reactivity with human, mouse, rat samples.
| 经测试应用 | WB, IHC, IF/ICC, ELISA Application Description |
| 文献引用应用 | WB, IHC |
| 经测试反应性 | human, mouse, rat |
| 文献引用反应性 | human |
| 免疫原 |
CatNo: Ag18821 Product name: Recombinant human RNF135 protein Source: e coli.-derived, PET28a Tag: 6*His Domain: 1-210 aa of BC005084 Sequence: MAGLGLGSAVPVWLAEDDLGCIICQGLLDWPATLPCGHSFCRHCLEALWGARDARRWACPTCRQGAAQQPHLRKNTLLQDLADKYRRAAREIQAGSDPAHCPCPGSSSLSSAAARPRRRPELQRVAVEKSITEVAQELTELVEHLVDIVRSLQNQRPLSESGPDNELSILGKENSWKPRLPPHAHCLTRATLHSGELLGLLSGPSIQPLT 种属同源性预测 |
| 宿主/亚型 | Rabbit / IgG |
| 抗体类别 | Polyclonal |
| 产品类型 | Antibody |
| 全称 | ring finger protein 135 |
| 别名 | E3 ubiquitin-protein ligase RNF135, EC:2.3.2.27, L13, REUL, RIG I E3 ubiquitin ligase |
| 计算分子量 | 432 aa, 48 kDa |
| 观测分子量 | 48 kDa |
| GenBank蛋白编号 | BC005084 |
| 基因名称 | RNF135 |
| Gene ID (NCBI) | 84282 |
| RRID | AB_2879879 |
| 偶联类型 | Unconjugated |
| 形式 | Liquid |
| 纯化方式 | Antigen affinity purification |
| UNIPROT ID | Q8IUD6 |
| 储存缓冲液 | PBS with 0.02% sodium azide and 50% glycerol, pH 7.3. |
| 储存条件 | Store at -20°C. Stable for one year after shipment. Aliquoting is unnecessary for -20oC storage. |
背景介绍
Ring finger protein 135 (RNF135), located on chromosome 17q11.2, is a RING finger domain-containing E3 ubiquitin ligase that was identified as a bio-marker and therapy target of glioblastoma (PMID: 26856755). RNF135 facilitates RIG-I C-terminal ubiquitination to up-regulate RIG-I-mediated IFN signaling and suppress viral replication. This antibody can detect a band at 48 kDa as predicted.
实验方案
| Product Specific Protocols | |
|---|---|
| IF protocol for RNF135 antibody 25061-1-AP | Download protocol |
| IHC protocol for RNF135 antibody 25061-1-AP | Download protocol |
| WB protocol for RNF135 antibody 25061-1-AP | Download protocol |
| Standard Protocols | |
|---|---|
| Click here to view our Standard Protocols |
发表文章
| Species | Application | Title |
|---|---|---|
J Biol Chem A RIG-I-like receptor directs antiviral responses to a bunyavirus and is antagonized by virus-induced blockade of TRIM25-mediated ubiquitination. | ||
Oncol Lett Ubiquitination of p21 by E3 ligase RNF135 promotes the proliferation of human glioblastoma cells | ||
Cancer Rep (Hoboken) RNF135 Promotes Human Osteosarcoma Cell Growth and Inhibits Apoptosis by Upregulating the PI3K/AKT Pathway | ||
Environ Toxicol Epigenetic Regulation of RNF135 by LSD1 Promotes Stemness Maintenance and Brain Metastasis in Lung Adenocarcinoma |









