验证数据展示
经过测试的应用
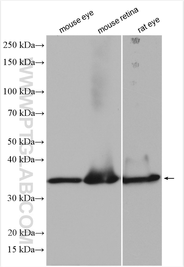
| Positive WB detected in | mouse eye tissue, HepG2 cells, mouse retina tissue, rat eye tissue |
| Positive IP detected in | mouse eye tissue |
| Positive IHC detected in | mouse eye tissue, human eye tissue Note: suggested antigen retrieval with TE buffer pH 9.0; (*) Alternatively, antigen retrieval may be performed with citrate buffer pH 6.0 |
| Positive IF-P detected in | mouse eye tissue, Retinal organoids |
| Positive IF/ICC detected in | HeLa cells, Y79 cells |
推荐稀释比
| 应用 | 推荐稀释比 |
|---|---|
| Western Blot (WB) | WB : 1:1000-1:4000 |
| Immunoprecipitation (IP) | IP : 0.5-4.0 ug for 1.0-3.0 mg of total protein lysate |
| Immunohistochemistry (IHC) | IHC : 1:50-1:500 |
| Immunofluorescence (IF)-P | IF-P : 1:200-1:800 |
| Immunofluorescence (IF)/ICC | IF/ICC : 1:50-1:500 |
| It is recommended that this reagent should be titrated in each testing system to obtain optimal results. | |
| Sample-dependent, Check data in validation data gallery. | |
产品信息
15356-1-AP targets RLBP1 in WB, IHC, IF/ICC, IF-P, IP, ELISA applications and shows reactivity with human, mouse, rat samples.
| 经测试应用 | WB, IHC, IF/ICC, IF-P, IP, ELISA Application Description |
| 文献引用应用 | WB, IHC, IF |
| 经测试反应性 | human, mouse, rat |
| 文献引用反应性 | human, mouse, rat, zebrafish |
| 免疫原 |
CatNo: Ag7602 Product name: Recombinant human RLBP1 protein Source: e coli.-derived, PGEX-4T Tag: GST Domain: 1-317 aa of BC004199 Sequence: MSEGVGTFRMVPEEEQELRAQLEQLTTKDHGPVFGPCSQLPRHTLQKAKDELNEREETREEAVRELQEMVQAQAASGEELAVAVAERVQEKDSGFFLRFIRARKFNVGRAYELLRGYVNFRLQYPELFDSLSPEAVRCTIEAGYPGVLSSRDKYGRVVMLFNIENWQSQEITFDEILQAYCFILEKLLENEETQINGFCIIENFKGFTMQQAASLRTSDLRKMVDMLQDSFPARFKAIHFIHQPWYFTTTYNVVKPFLKSKLLERVFVHGDDLSGFYQEIDENILPSDFGGTLPKYDGKAVAEQLFGPQAQAENTAF 种属同源性预测 |
| 宿主/亚型 | Rabbit / IgG |
| 抗体类别 | Polyclonal |
| 产品类型 | Antibody |
| 全称 | retinaldehyde binding protein 1 |
| 别名 | Cellular retinaldehyde-binding protein, CRALBP, Retinaldehyde-binding protein 1 |
| 计算分子量 | 36 kDa |
| 观测分子量 | 36 kDa |
| GenBank蛋白编号 | BC004199 |
| 基因名称 | RLBP1 |
| Gene ID (NCBI) | 6017 |
| RRID | AB_2178530 |
| 偶联类型 | Unconjugated |
| 形式 | Liquid |
| 纯化方式 | Antigen affinity purification |
| UNIPROT ID | P12271 |
| 储存缓冲液 | PBS with 0.02% sodium azide and 50% glycerol, pH 7.3. |
| 储存条件 | Store at -20°C. Stable for one year after shipment. Aliquoting is unnecessary for -20oC storage. |
背景介绍
RLBP1 (Retinaldehyde-binding protein 1) is also named as cellular retinaldehyde-binding protein (CRALBP). CRALBP, a 36-kDa aqueous soluble carrier, is expressed in abundance by both retinal pigment epithelial (RPE) and Muller cells of retina and is important for rod- and cone-driven vision (PMID: 32188692). Retinal RLBP1 expression was decreased in diabetes, and its overexpression in Müller glia mitigated DR-associated neurovascular degeneration (PMID: 33674409).
实验方案
| Product Specific Protocols | |
|---|---|
| IF protocol for RLBP1 antibody 15356-1-AP | Download protocol |
| IHC protocol for RLBP1 antibody 15356-1-AP | Download protocol |
| IP protocol for RLBP1 antibody 15356-1-AP | Download protocol |
| WB protocol for RLBP1 antibody 15356-1-AP | Download protocol |
| Standard Protocols | |
|---|---|
| Click here to view our Standard Protocols |
发表文章
| Species | Application | Title |
|---|---|---|
Adv Sci (Weinh) PHOSPHO1 Suppresses Ferroptosis in Retinal Pigment Epithelial Cells by Reducing the Levels of Phosphatidylethanolamine Molecular Species | ||
Aging Cell Müller Glia maintain their regenerative potential despite degeneration in the aged zebrafish retina. | ||
Mol Vis Morphological, biochemical, and transcriptomic characterization of iPSC-derived human RPE cells from normal and Smith-Lemli-Opitz syndrome patients | ||
Diabetes CD40 in Retinal Müller Cells Induces P2X7-Dependent Cytokine Expression in Macrophages/Microglia in Diabetic Mice and Development of Early Experimental Diabetic Retinopathy. | ||
FASEB J A cell-penetrating CD40-TRAF2,3 blocking peptide diminishes inflammation and neuronal loss after ischemia/reperfusion. | ||
iScience Induced retinal pigment epithelial cells with anti-epithelial-to-mesenchymal transition ability delay retinal degeneration |












