验证数据展示
经过测试的应用
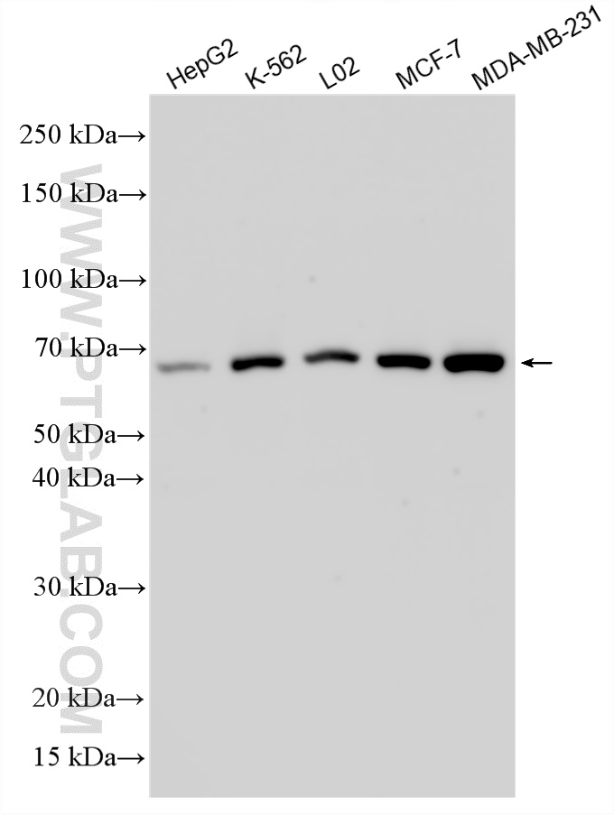
| Positive WB detected in | K-562 cells, MCF-7 cells |
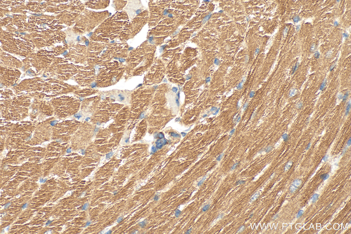
| Positive IHC detected in | mouse heart tissue Note: suggested antigen retrieval with TE buffer pH 9.0; (*) Alternatively, antigen retrieval may be performed with citrate buffer pH 6.0 |
推荐稀释比
| 应用 | 推荐稀释比 |
|---|---|
| Western Blot (WB) | WB : 1:1000-1:8000 |
| Immunohistochemistry (IHC) | IHC : 1:200-1:800 |
| It is recommended that this reagent should be titrated in each testing system to obtain optimal results. | |
| Sample-dependent, Check data in validation data gallery. | |
发表文章中的应用
| WB | See 5 publications below |
产品信息
29932-1-AP targets RIPK1 in WB, IHC, ELISA applications and shows reactivity with human samples.
| 经测试应用 | WB, IHC, ELISA Application Description |
| 文献引用应用 | WB |
| 经测试反应性 | human |
| 文献引用反应性 | human, pig |
| 免疫原 |
CatNo: Ag31950 Product name: Recombinant human RIPK1 protein Source: e coli.-derived, PGEX-4T Tag: GST Domain: 465-671 aa of NM_003804 Sequence: NNGLYSSHGFGTRPLDPGTAGPRVWYRPIPSHMPSLHNIPVPETNYLGNTPTMPFSSLPPTDESIKYTIYNSTGIQIGAYNYMEIGGTSSSLLDSTNTNFKEEPAAKYQAIFDNTTSLTDKHLDPIRENLGKHWKNCARKLGFTQSQIDEIDHDYERDGLKEKVYQMLQKWVMREGIKGATVGKLAQALHQCSRIDLLSSLIYVSQN 种属同源性预测 |
| 宿主/亚型 | Rabbit / IgG |
| 抗体类别 | Polyclonal |
| 产品类型 | Antibody |
| 全称 | receptor (TNFRSF)-interacting serine-threonine kinase 1 |
| 别名 | EC:2.7.11.1, Receptor interacting serine/threonine protein kinase 1, Receptor-interacting protein 1, Receptor-interacting serine/threonine-protein kinase 1, RIP |
| 计算分子量 | 76KD |
| 观测分子量 | 70-80 kDa |
| GenBank蛋白编号 | NM_003804 |
| 基因名称 | RIPK1 |
| Gene ID (NCBI) | 8737 |
| RRID | AB_3086193 |
| 偶联类型 | Unconjugated |
| 形式 | Liquid |
| 纯化方式 | Antigen affinity purification |
| UNIPROT ID | Q13546 |
| 储存缓冲液 | PBS with 0.02% sodium azide and 50% glycerol, pH 7.3. |
| 储存条件 | Store at -20°C. Stable for one year after shipment. Aliquoting is unnecessary for -20oC storage. |
背景介绍
RIPK1(Receptor-interacting serine/threonine-protein kinase 1) is primarily involved in mediating TNF-R1-induced cell activation, apoptosis, and necroptosis and belongs to a novel class of kinases that function in cell survival and cell death mechanisms(PMID:22685397 ). It has 2 isoforms produced by alternative splicing. It also can exist as a protein with a lower molecular weight of about 25 kDa and 45 kDa in HAEC and HUVEC(PMID:22685397).
实验方案
| Product Specific Protocols | |
|---|---|
| WB protocol for RIPK1 antibody 29932-1-AP | Download protocol |
| Standard Protocols | |
|---|---|
| Click here to view our Standard Protocols |
发表文章
| Species | Application | Title |
|---|---|---|
J Ethnopharmacol The protective role of Cordyceps cicadae and its active ingredient Myriocin against sodium iodate-induced age-related macular degeneration via an anti-necroptotic TNF-RIPK1/3 pathway | ||
Biomaterials Radiation-triggerable bioreactors enable bioenergetic reprograming of cancer stem cell plasticity via targeted arginine metabolism disruption for augmented radio-immunotherapy | ||
Microbiome Faecalibacterium prausnitzii-derived outer membrane vesicles reprogram gut microbiota metabolism to alleviate Porcine Epidemic Diarrhea Virus infection | ||
Pathogens Hydrogen Sulfide (H2S) Mitigates Sepsis-Induced Adrenal Dysfunction via Inhibition of TNFα-Mediated Necroptosis | ||
Heliyon Identification of colon adenocarcinoma necroptosis subtypes and tumor antigens for the development of mRNA vaccines |

