验证数据展示
经过测试的应用
| Positive WB detected in | HEK-293T cells, PC-3 cells, HeLa cells, HUVEC cells, MOLT-4 cells, NCI-H1299 cells |
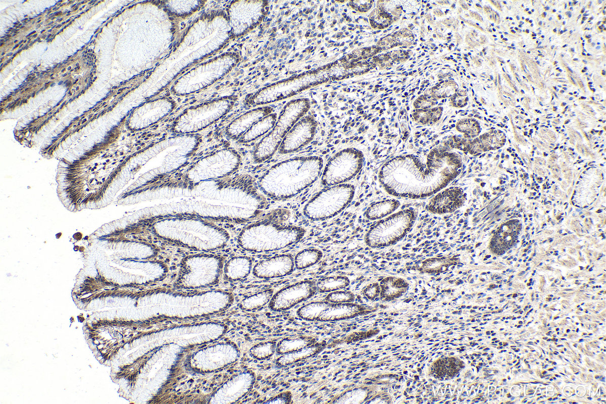
| Positive IHC detected in | human colon cancer tissue, human ovary tumor tissue, human stomach cancer tissue, mouse testis tissue, rat colon tissue, rat testis tissue Note: suggested antigen retrieval with TE buffer pH 9.0; (*) Alternatively, antigen retrieval may be performed with citrate buffer pH 6.0 |
推荐稀释比
| 应用 | 推荐稀释比 |
|---|---|
| Western Blot (WB) | WB : 1:1000-1:4000 |
| Immunohistochemistry (IHC) | IHC : 1:250-1:1000 |
| It is recommended that this reagent should be titrated in each testing system to obtain optimal results. | |
| Sample-dependent, Check data in validation data gallery. | |
发表文章中的应用
| WB | See 1 publications below |
产品信息
16755-1-AP targets RCC2 in WB, IHC, ELISA applications and shows reactivity with human, mouse, rat samples.
| 经测试应用 | WB, IHC, ELISA Application Description |
| 文献引用应用 | WB |
| 经测试反应性 | human, mouse, rat |
| 文献引用反应性 | human |
| 免疫原 |
CatNo: Ag10271 Product name: Recombinant human RCC2 protein Source: e coli.-derived, PGEX-4T Tag: GST Domain: 168-522 aa of BC042141 Sequence: EGKLWSWGRNEKGQLGHGDTKRVEAPRLIEGLSHEVIVSAACGRNHTLALTETGSVFAFGENKMGQLGLGNQTDAVPSPAQIMYNGQPITKMACGAEFSMIMDCKGNLYSFGCPEYGQLGHNSDGKFIARAQRIEYDCELVPRRVAIFIEKTKDGQILPVPNVVVRDVACGANHTLVLDSQKRVFSWGFGGYGRLGHAEQKDEMVPRLVKLFDFPGRGASQIYAGYTCSFAVSEVGGLFFWGATNTSRESTMYPKAVQDLCGWRIRSLACGKSSIIVAADESTISWGPSPTFGELGYGDHKPKSSTAAQEVKTLDGIFSEQVAMGYSHSLVIARDESETEKEKIKKLPEYNPRTL 种属同源性预测 |
| 宿主/亚型 | Rabbit / IgG |
| 抗体类别 | Polyclonal |
| 产品类型 | Antibody |
| 全称 | regulator of chromosome condensation 2 |
| 别名 | KIAA1470, Protein RCC2, RCC1 like protein TD 60, RCC2, TD 60, TD60 |
| 计算分子量 | 522 aa, 56 kDa |
| 观测分子量 | 56 kDa |
| GenBank蛋白编号 | BC042141 |
| 基因名称 | RCC2 |
| Gene ID (NCBI) | 55920 |
| RRID | AB_2878311 |
| 偶联类型 | Unconjugated |
| 形式 | Liquid |
| 纯化方式 | Antigen affinity purification |
| UNIPROT ID | Q9P258 |
| 储存缓冲液 | PBS with 0.02% sodium azide and 50% glycerol, pH 7.3. |
| 储存条件 | Store at -20°C. Stable for one year after shipment. Aliquoting is unnecessary for -20oC storage. |
背景介绍
RCC2 (also known as TD60) is a guanine exchange factor that is active on RalA, a small GTPase. RCC2 and RalA are both essential for proper kinetochore-microtubule function in early mitosis. RCC2 has been shown to be a biomarker for colorectal cancer.
实验方案
| Product Specific Protocols | |
|---|---|
| IHC protocol for RCC2 antibody 16755-1-AP | Download protocol |
| WB protocol for RCC2 antibody 16755-1-AP | Download protocol |
| Standard Protocols | |
|---|---|
| Click here to view our Standard Protocols |















